Клинические методы исследования неврологических больных
Любое обращение пациента к врачу должно начинаться с тщательного осмотра и сбора анамнеза. То же касается и невролога: с целью диагностирования заболевания и его причины доктор проводит клиническое обследование. Как правило, от этого начального этапа диагностики зависит 90% успешной постановки верного диагноза и последующего лечения.
Особенность клинических методов диагностики в неврологии
Задача невролога при клиническом обследовании больного – оценить функции систем мозга. Обязательно учитывается каждая жалоба пациента, что дает специалисту возможность предположить проблему в определенной анатомо-функциональной системе мозга.
Еще врач должен определить при помощи анализа совокупности симптомов патогенез и этиологию поражения, то есть выявить, какие нарушения нервной системы и какого характера вызывают определенную симптоматику.
На приеме врач может принять решение о необходимости проведения дополнительных обследований с применением инструментальных или лабораторных методов диагностики.
В своей практике невролог применяет следующие клинические методы диагностики:
- Изучение анамнеза больного и рассмотрение его жалоб.
- Общий осмотр пациента.
- Оценка неврологического статуса, при котором обследуют различные системы и функции организма.
Рассмотрим каждый из методов несколько подробнее.
Как проходит изучение анамнеза и жалоб неврологического больного?
При обращении пациента с жалобами неврологического характера врач для начала должен тщательно изучить анамнез больного, уточнить паспортные данные, профессию, наличие других заболеваний и т.д.
Невролог должен занимать активную позицию, расспрашивая своего пациента.
Рассматривая жалобы больного, врач при последующем обследовании неврологического статуса анализирует и систематизирует полученную информацию, делая вывод о возможном нарушении в работе определенных анатомо-физиологических систем мозга и нервной системы.
В зависимости от жалоб, невролог может уточнить наличие таких симптомов у пациента:
- Утрата сознания, обморочные состояния, эпилептические припадки.
- Периодическое потемнение в глазах, общая слабость, головокружение.
- Головная боль – ее локализация, характер, продолжительность, наиболее частое проявление в определенное время суток (ночные, утренние или дневные часы).
- Зрительные расстройства.
- Тошнота, рвота, кишечные расстройства (склонность к запорам).
- Пониженное давление и т.д.
При изучении симптоматики больного врач выясняет последовательность ее развития (хронологию).
Также рассматриваются возможные провоцирующие факторы, способствующие проявлению конкретных симптомов.
Дополнительно невролог уточняет некоторые важные подробности анамнеза:
- наличие родовых травм, перенесенных инфекций в перинатальный период;
- особенности половой сферы: у женщин – факты беременностей, родов, менструальный цикл; у мужчин – сексуальная функция;
- уточнение семейного анамнеза (при необходимости);
- наличие в прошлом неврологических заболеваний, как осуществлялось их лечение и какова его эффективность.
Невролог может по своему усмотрению уточнить еще некоторые детали анамнеза.
Что входит в общий осмотр неврологического больного?
Как правило, невролог при общем осмотре больного руководствуется стандартными инструкциями по неврологическому обследованию. Однако, некоторые нюансы осмотра могут быть изменены в индивидуальном порядке в зависимости от жалоб пациента.
Осмотр начинается с оценки деятельности различных систем организма: дыхательной, сердечно-сосудистой, эндокринной, мочевыделительной, пищеварительной, опорно-двигательной. Затем пациента просят раздеться до нижнего белья и производят обследование по такой схеме:
- Тип телосложения – нормастеник, гиперстеник, астеник, характер распределения подкожного жира.
- Состояние кожного покрова – температура, цвет, увлажненность, наличие пятен и неврусов, волосяной покров, следы от инъекций.
- Осмотр головы – размеры, форма, симметричность. Оценка состояния покровов черепа, височных артерий, глазных яблок и т.д.
- Обследование шеи – наклон и ротация головы, подвижность шеи, пальпация и аускультация (прослушивание) сонных артерий, лимфатических узлов, щитовидной железы, тонус затылочных мышц и т.п.
- Осмотр грудной клетки – пальпация сердечного толчка и аускультация в области сердца.
- Пальпация органов брюшной полости – печени, желудка, селезенки, кишечника.
- Обследование позвоночника – оценка подвижности поясничного отдела, наличие искривлений (сколиоз, кифоз, деформация грудной клетки), состояние волосяного покрова.
Еще оценивают состояние мышц спины и обращают внимание на болезненность определенных участков тела.
Почему важно определение статуса
Многие задаются вопросом: “Для чего же необходимо определение статуса?”. Сначала врач при диагностике должен обратить внимание на поведение человека, его реакцию и в целом на состояние психики. Особенно если пациент имеет травмы или другие сложные заболевания. Также необходимо обязательно выяснить состояние работоспособности головного мозга.
Именно от этого зависит дальнейшее лечение и проведение терапии. Только после того, как будет исследован неврологический статус человека, доктор может начинать терапию: назначать лекарства и так далее. Как правило, медикаменты необходимы для улучшения функциональности головного мозга, что позволяет быстро добиться положительного эффекта.
Нужно отметить: реакция зрачков на свет не всегда является показателем плохой работы мозга. На данный момент имеется особенная схема диагностики, которая позволяет быстро и без проблем оценить состояние главного органа. Статус можно узнать, обратившись в специальные медицинские центры. Далее рассмотрим, как он устанавливается и на какие моменты врач должен обращать внимание.
Прежде всего, при общении с пациентом врач должен обратить внимание на его поведение, реакцию и общее психическое состояние. Особенно если пациент поступил с какой-либо травмой или неотложную помощь вызвали близкие. Врач определяет, в первую очередь, состояние головного мозга, так как от этого во многом зависит назначенная в дальнейшем терапия.
Реакции зрачков на свет не достаточно для установки неврологического статуса. В настоящее время разработана схема, которая оценивает работу мозга, исходя из некоторых неврологических симптомов. Установить статус можно, обратившись в специализированный центр диагностики. Рассмотрим далее, как устанавливают статус.
Как проходит прием у невролога?
- арахноидит;
- болезнь Альцгеймера;
- бессонницу в различном ее проявлении;
- ДЦП;
- инсульт;
- болезнь Паркинсона;
- сильные головные боли;
- ишиас;
- боли люмбаго;
- мигрени;
- миопатию;
- полиомиелит;
- туннельный синдром;
- гиперактивность;
- нарушение мозгового кровообращения;
- болезнь Виллиса;
- нейропатию.
К тому, что лечит невролог, можно добавить туберкулезный менингит, энцефалит и менингит. На самом деле эти инфекционные заболевания – специализация инфекциониста. Однако после этих болезней могут наступить серьезные последствия, влияющие на работу головного и спинного мозга. Все это отражается на координации движения, речи и памяти. Устранением таких последствий занимается данный специалист.
https://www.youtube.com/watch?v=ytpolicyandsafetyru
Это очень емкая наука. Неврология – это дисциплина, которая изучает связь между самочувствием пациента и состоянием его нервной системы. Здесь используются следующие методы лечения:
- медикаментозные – предполагают прием лекарственных средств;
- безмедикаментозные (иглоукалывание, диеты, рефлексотерапия, фитотерапия);
- физические (магнитотерапия, миостимуляция, лазеротерапия);
- хирургические.
В нашей стране различия между данными терминами нет. Еще недавно специалист, занимающийся этими патологиями, назывался невропатологом. Однако был пересмотрен перечень задач, возлагаемых на такого врача. Вместе с этим изменилось и название специализации. В странах Европы невролог и невропатолог – это два разных названия.
При первом визите доктор внимательно выслушает жалобы пациента. Это позволит собрать анамнез заболевания. Консультация невролога также предполагает тактильный и визуальный осмотр. Во время приема специалист проверит основные рефлексы. Для тестирования некоторых из них могут использоваться специальные инструменты. Для оценки отдельных рефлексов и состояния мышц доктор может попросить пациента снять частично одежду.
Пациенту важно знать, что будет происходить в кабинете доктора, чтобы подготовиться. Прием невролога предполагает проведение таких манипуляций:
- При помощи специального молоточка доктор проверит состояние глазного нерва. Пациенту нужно проследить за инструментом, не поворачивая при этом голову.
- Проверить некоторые рефлексы врач сможет по мимике. В этом случае нужно будет наморщить лоб, сказать «А» или показать язык.
- Для проверки чувствительности лица доктор использует иголку. Во время такой процедуры невролог интересуется у пациента, какие он испытывает ощущения.
- Чтобы сделать вывод о состоянии мышц и рефлексов, доктор попросит пациента согнуть руку в локте. По результатам увиденного врач ставит оценку от 1 до 5.
- Для определения состояние спинномозговых нервов и болевых точек используется рисование на коже спины.
- Чтобы проверить глубокие рефлексы ног и рук, врач постучит молоточком по сухожилиям.
- Координация движения тестируется позой Ромберга.
Диагнозы невролога
Чтобы правильно назначить лечение, доктор порекомендует пациенту пройти полное обследование. Благодаря такой процедуре врач может безошибочно поставить диагноз. Использоваться могут инструментальные и лабораторные исследования. Чаще диагноз невролога устанавливается после таких исследовательских процедур:
- электроэнцефалографии;
- рентгена;
- электронейромиографии;
- МРТ;
- допплерографии;
- КТ;
- лабораторных анализов.
Детский невролог рассматривает такие проблемы у ребенка как повышенная возбудимость, нарушение сна и поведения. Он лечит состояния повышенной судорожной готовности и черепно-мозговые травмы.
В компетенции детского невролога находится головной мозг ребенка, который должен нормально функционировать, иметь хорошее питание и кровоснабжение.
Консультируя, невролог действует по такой схеме:
- Осматривает малыша по заболеванию (сбор анамнеза жизни – это роды и беременность), а также (анамнез заболевания – это жалобы и начало заболевания).
- Осмотр ребенка и, если понадобится врач, назначает дополнительное обследование. Это осмотр глазного дна, ЭХО-ЭГ, УЗДГ, ЭЭГ УЗИ мозга, МРТ и др. Затем на основании исследований назначается действенное лечение и контроль протекания заболевания.
Невролог проводит профилактические осмотры ребенка с рождения до года, а дальше плановые консультации раз в год. Эти осмотры крайне важны, поскольку позволяют своевременно выявить всевозможные патологии центральной нервной системы и оказать лечебные мероприятия, в случае необходимости.
Перечень органов, которыми занимается детский невролог, включает:
- Головной и спинной мозг, позвоночник, таламус и нервы.
Врач данной специальности занимается неврологическими поражениями, среди которых:
- Наследственные (генетические).
- Инфекционные.
- Те, которые появляются вследствие токсических нарушений и травматических поражений.
- Большой процент поражения ЦНС – гипоксические.
- Посттравматическая или наследственная (эпилепсия).
- Специфические синдромы.
Заболевания, среди которых:
- Тики, заикание.
- Энурез и эпилепсия.
- ДЦП (детский церебральный паралич).
- Вегето-сосудистая дистония.
- Болезнь Альцгеймера, афазия.
- Болезнь Паркинсона, герпес опоясывающий.
- Гипергидроз, менингит.
- Травма мозга.
https://www.youtube.com/watch?v=ytadvertiseru
Возраст новорожденный (когда обращаться к врачу):
- Ребенок часто просыпается, тяжело и беспокойно спит, сон очень поверхностный.
- Если плачет или в спокойном состоянии много и часто срыгивает, если у ребенка при возбуждении трясутся ручки и подбородок.
- Если поджимаются пальчики при опоре на цыпочки.
- Если замечены подергивания или судороги при повышении температуры.
Возраст дошкольный и школьный:
- Когда ребенок жалуется на частую утомляемость и головные боли, а также, если он раздраженный и не хочет играть с игрушками и со сверстниками.
- В школе, раздражен, рассеян и отстает в учебе.
- Плохо спит, с нежеланием учится, падает в обмороки.
- Жалобы на головную боль, головокружение, шум в ушах и нервный тик.
Детский невропатолог умеет вовремя скорректировать нарушения, перечисленные выше. Многие проблемы решаются в положительную сторону. Иногда достаточно внедрения детского психолога, а иногда требуется помощь квалифицированного детского невролога, главное, — вовремя заметить и проконсультироваться со специалистом.
Анализы:
- Общий анализ крови и на инфекции TORCH, ИППП.
- Биохимические, онкологические и бактериологические исследования.
- Гормональный фон, анализ на сахарный диабет.
- Аллергологические и иммунологические исследования.
- Общеклинические, цитологические и гематологические исследования.
- Анализ на остеопороз.
- Токсикологические и кардиоревматологические исследования.
Диагностика:
- ЭЭГ, ЭХО-ЭГ, УЗДГ.
- УЗИ мозга, МРТ.
- КТ, рентген.
- МРС (магнитно-резонансная спектроскопия).
- ПЭТ (позитронная эмиссионная томография).
- ОФЭКТ (однофотонная эмиссионная компьютерная томография).
- Церебральная ангиография, миелография.
- Цистернография.
Следить за режимом дня. Спать не менее 8-10 часов, заниматься активно физическим спортом, уменьшать школьные нагрузки, сократить просмотр телевизора и компьютера.
Детям рекомендовано заниматься общеукрепляющими спортивными занятиями в группе здоровья, кататься на велосипеде, играть в настольный теннис и заниматься плаванием.
В меню ограничить употребление жирных сортов мяса, соли, мучного и сладкого. Увеличить поступление в организм магния и калия, которые содержатся в гречке, фасоли, горохе, абрикосах, изюме, моркови, луке, баклажанах и др. Ребенок должен употреблять продукты, содержащие полиненасыщенные жирные кислоты в виде кукурузного, подсолнечного и оливкового масла.
Необходимо проводить ребенку электрофорез, водные процедуры, электросон, лечебный массаж, которые стимулируют нервную систему. Очень полезно закаливание, которое тренирует весь организм.
К медикаментозным методам детские врачи неврологи прибегают в крайне запущенных случаях, когда дистония отравляет жизнь малыша или подростка. И она лечится совместно с такими врачами как кардиолог и гастроэнтеролог.
При выборе доктора важно учесть его квалификацию, опыт, узнать отзывы пациентов
Распространенные заболевания почек:
- ( в бобовидных органах);
- острая и ;
- — проблемы с метаболизмом, провоцирующие образование амилоида;
- токсические поражение естественных фильтров после употребления нефротоксичных лекарств, суррогатного алкоголя, ядов, зараженной воды и пищи;
- и гипертония, поражающая бобовидные органы;
- — поражение почечных клубочков. Патология имеет иммунно-аллергическую природу;
- — заболевание развивается при ;
- . Воспалительный процесс на фоне проникновения вредоносных микроорганизмов и условно-патогенной флоры протекает в паренхиме и чашечно-лоханочной системе;
- . В эту категорию входят патологии воспалительного характера;
- опухолевый процесс в почечной ткани. Образования имеют доброкачественный характер, у некоторых пациентов доктор выявляет злокачественное поражение тканей. Распространенная патология — . Оперативное вмешательство проводит хирург в урологическом стационаре, при выявлении онкозаболеваний больного наблюдает онкоуролог;
- . Опасное состояние с тяжелой симптоматикой. Основной признак — ярко-выраженный болевой синдром, развивающийся при , гломерулонефрите, инфекционных поражениях бобовидных органов. Боль распространяется в область живота, паха, ног, пациента тошнит, возможна рвота, поднимается давление, нередко развивается болевой шок, в моче появляются сгустки крови;
- . В результате резкого уменьшения жировой прослойки, при травмах, врожденных нарушениях бобовидные органы расположены неправильно: провоцирует проблемы с функционированием естественных фильтров. Нефролог выполняет диагностику, устранение проблемы проводится в урологическом стационаре другим врачом.
https://www.youtube.com/watch?v=ytdevru
Специалист наблюдает пациентов после трансплантации бобовидного органа, при выявлении .
Алгоритм работы врача-нефролога:
- опрос пациента, изучение жалоб и анамнеза;
- выяснение клинической картины патологии, оценка результатов анализов, с которыми больной пришел на прием;
- определение возможного перечня патологий естественных фильтров, направление на диагностику: сбор урины, анализ крови, инструментальные исследования;
- оценка данных диагностических исследований, определение вида и формы заболевания;
- подбор методов терапии, по необходимости — направление в урологический стационар для проведения консервативной терапии (тяжелые формы патологий) либо хирургического лечения;
- советы по питьевому режиму, изменению образа жизни, подбор диеты, указание ограничений в повседневной жизни и профессиональной деятельности для предупреждения осложнений либо рецидивов;
- рекомендации по профилактике почечных патологий, назначение дат контрольных приемов.
Детская нефрология
Что лечит детский невролог?
Нервная система — одна из самых сложных и многофункциональных структур в нашем организме и, к сожалению, количество заболеваний с ней связанных также весьма многообразно. Наиболее частыми причинами обращения к неврологу являются: мигрени, невралгии, нарушения сна, депрессии, остеохондроз позвоночника, внутричерепная гипертензия и вегето-сосудистая дистония.
Кроме того, невролог диагностирует и назначает лечение при заболеваниях характерных для пожилого возраста, таких как: болезнь Альцгеймера, болезнь Паркинсона, сенильная деменция (старческое слабоумие). Также к сфере деятельности невролога относится лечение столь серьезных заболеваний, как эпилепсия, рассеянный склероз, энцефалопатии.
Невролог (современный вариант названия более привычного невропатолога) – это специалист, который предупреждает, диагностирует и лечит заболевания, вызванные поражением центральной или периферической нервной системы.
Это особенно важно в детском возрасте, когда любые сбои в столь специфической сфере чреваты развитием состояний, способных оставить неизгладимый отпечаток на последующей жизни малыша. Детский специалист должен планово осматривать младенцев в первые недели после родов, в 3, 6, 9 и 12 месяцев.
После этого визиты к профильному врачу необходимо совершать каждый год.
Проблемы с функционированием нервной системы могут начаться еще в период внутриутробного развития плода, при этом для непрофессионала они не всегда очевидны. Вот почему детский невролог должен осмотреть новорожденного сразу после родов или в первые недели его жизни.
Поражения нервов, спинного и головного мозга нередко являются результатом гипоксии плода, отслойки плаценты, затяжных или стремительных родов, необходимостью подачи общего наркоза для родоразрешения. Не менее важно состояние матери в последний месяц беременности.
Токсикозы, необходимость приема ряда лекарств, курение, инфекционные заболевания – первостепенные факторы риска.
Только своевременное обращение к специалисту, разработка правильного плана лечения и его реализация способны не допустить угнетения работы одной из важнейших систем организма.
Также отказ от профильной терапии может привести к развитию синдрома дефицита внимания, неадекватности поведения, эмоциональной нестабильности и проблемах с развитием базовых социальных навыков.
Статистика безжалостно свидетельствует о том, что 50% случаев детской инвалидности связаны с патологиями нервной системы. Из них около 70% диагнозов оказываются результатом проблем во время беременности и период новорожденности (28 дней после родов). Практика показывает, что со значительной частью этих проблем детский невролог способен справиться, если вовремя будет поставлен диагноз.
Первые признаки патологии развития нервной системы могут появиться у ребенка сразу после рождения или через некоторое время. В случае с грудничками, детский невролог в обязательном порядке должен осматривать младенцев со следующими симптомами:
- При плаче или малейшем возбуждении у карапуза трясутся ручки и дрожит подбородок. Иногда данное явление встречается даже в спокойном состоянии.
- Малыш отличается неспокойным поверхностным сном, который легко нарушается под воздействием внешних факторов.
Совет: Если грудничка способен разбудить даже разговор родителей, не стоит пытаться создать для него максимально комфортные условия.
Затемненное помещение, закрытые двери и окна, хождение на цыпочках и разговоры шепотом не помогут, а только усугубят положение, отодвинут начало диагностики и лечения.
Какими бы дополнительными симптомами не сопровождалось данное состояние (даже, если ничего больше нет), обращение к специалисту необходимо.
- Грудничок часто и обильно срыгивает, даже если не съедает много пищи за один раз.
- Уже при незначительном повышении температуры тела у младенца отмечаются судороги, что вызывает необходимость применения жаропонижающих средств.
- Если малыша, поддерживая, «поставить» на стопу или цыпочки, у него сильно поджимаются пальчики.
Что касается деток более старшего и сознательного возраста, то к невропатологу нужно обращаться, когда у них наблюдаются следующие проявления:
- Частые или затяжные головные боли.
- Простреливающие или пронизывающие боли в спине.
- Проблемы с фокусированием внимания, памятью.
- На разных уровнях позвоночника отмечаются сбои в выполнении привычных функций.
- Развитие панических атак.
- Быстрая утомляемость, вялость, отсутствие заинтересованности в окружающих предметах.
- Поражение периферических нервов (невралгии, невропатии).
- Видимая задержка в темпах развития речи, письма, интеллекта.
Любой невролог скажет, что тяжелые поражения нервной системы обнаружить намного проще, чем легкие.
При этом затянувшееся и пропущенное развитие заболевания не менее опасно, чем его более серьезный аналог.
Только если родители будут вовремя обращаться к врачам со своими подозрениями, не дожидаясь планового осмотра, можно будет рассчитывать на эффективную профилактику распространенных патологий.
Помимо традиционного осмотра и сбора информации по существующим жалобам, невролог в обязательном порядке уточняет перечень всех заболеваний, перенесенных с момента рождения. Помимо этого, обращается внимание не следующие моменты:
- Анализируется протекание беременности, особенно на последних неделях, специфические моменты в родах. Специалист уточняет, не переносила ли мамочка каких-либо заболеваний в третьем триместре беременности.
- В случае обнаружения подозрительных или тревожных моментов детский невролог может направить ребенка на УЗИ, диагностику глазного дна, МРТ и другие дополнительные манипуляции.
После того, как результаты всех процедур будут получены, специалист сопоставляет данные, ставит диагноз и назначает комплекс терапевтических процедур. Стоит учесть, что хороший невролог не просто контролирует процесс предоставления малышу необходимых услуг, а и сам активно лечит его.
Благодаря стремительному развитию медицины, как науки, у современных врачей появилось немало инструментов, препаратов и приборов, значительно повышающих качество лечения неврологических болезней. Сегодня детский специалист лечит детей химическими компонентами только в случае крайней необходимости. Сначала в ход идут следующие процедуры и манипуляции:
- Мануальная терапия, направленная на восстановление нормального функционирования органов и восстановление их подвижности.
- Особая техника мягкой детской мануальной терапии, основанная на работе со связками и мышечными волокнами. Все действия проводятся в очень медленном темпе, что позволяет снять спазмы с напряженных участков.
- Краниосакральная техника. Направлена на выравнивание костей черепа, в результате чего восстанавливается нормальный кровоток, улучшается движение мозговой жидкости, понижается внутричерепное давление. Чаще всего невролог лечит подобным образом совсем маленьких детей, устраняя головные боли и улучшая работу мозга.
- Сегодня очень актуальны эмоциональные техники. Их используют при неврозах различной этиологии, расстройствах поведения.
- Терапия редко обходится без мышечной релаксации. Она включает несколько различных техник, каждая из которых приводит к расслаблению волокон, что положительно сказывается на состоянии костей, позвонков и внутренних органов.
Помимо перечисленных состояний, детский специалист выявляет и лечит инфекционные и травматические поражения нервной системы, последствия разрастания опухолей, ДЦП, судорожные состояния (в том числе и эпилепсию). Невролог выявляет связь наследственных, эндокринологических, психиатрических и ортопедических патологий с поражениями нервной системы.
На какие особенности развития нужно обратить внимание в поведении и развитии ребенка до 1 года и позже? Какие симптомы могут послужить сигналами к обращению к специалистам? А какие, напротив, не являются признаком патологии? На эти и другие вопросы отвечают специалисты нейрореабилитационного : невролог, нейрофизиолог Игорь Жданов и клинический психолог Наталья Морозова.
На что следует обращать пристальное внимание в жизни ребенка на первом году жизни?
Самое главное — это сон и аппетит ребенка. От того, как ребенок ест и спит, зависит его развитие. Во-вторых, следует обращать внимание на определенные вехи в развитии.
- В отношении двигательного развития: в 2 месяца вы должны наблюдать удержание головы в положении лежа, в 3 месяца – переворот на живот, к 5 месяцам – переворот с живота, в интервал с 6 до 8 месяцев – посадка, постановка на четвереньки, ползание на четвереньках, 8-10 месяцев – ребенок встает около опоры, в интервал от года до года и четырех месяцев – самостоятельная ходьба. Если вы наблюдаете те или иные задержки в опорно-двигательном развитии, ребенка стоит показать неврологу.
- Симптомы, указывающие на повышенное внутричерепное давление, могут быть следующими: плохой сон, постоянное беспокойство и крик, плаксивость, частые срыгивания, дрожание ручек, ножек и подбородка, выпячивание родничка, а также быстрое увеличение окружности головы в размерах.
- После рождения физиологический тонус держится обычно до 3−3,5 месяцев, затем постепенно приходит в норму. Дети с повышенным тонусом (гипертонусом) очень беспокойные, часто плачут, капризничают, их ручки и ножки как бы приведены к телу и не распрямляются.
Малыши с гипотонусом, напротив, редко плачут, много спят, часто пропускают кормления, мало двигают необычно гибкими конечностями.
Что касается психического развития, нужно обращать внимание на предречевой компонент: реакцию ребенка на игрушки, на близких, а также на звук в принципе. Нечасто встречающаяся патология, но влияющая на развитие – это нарушение слуха. Поэтому если у родителей создается впечатление, что ребенок не реагирует на звук, это сигнал к тому, что нужно проверить слух.
В более старшем возрасте (после 1-2 лет) какие симптомы могут стать поводом для обращения к неврологу или психологу?
Вкусовая чувствительность
Вкусовые раздражения воспринимаются вкусовыми луковицами, которые расположены в слизистой оболочке спинки языка, мягкого неба, передней поверхности надгортанника и голосовых связок, задней стенки глотки и верхней части пищевода. В слизистой оболочке полости рта вкусовые луковицы встречаются отдельными включениями.
Различают четыре вида основных вкусовых ощущений – сладкое, соленое, кислое и горькое. При длительном воздействии какого-либо вкусового вещества чувствительность к нему постепенно снижается вследствие вкусовой адаптации.
Различные участки слизистой оболочки языка неодинаково чувствительны к основным раздражителям. Ощущение сладкого и соленого сильнее выражено на кончике языка. К горькому наиболее чувствительны листовидные и валикообразные сосочки.
Для изучения нарушений вкусовой чувствительности больному предлагают полоскать рот в течение 3-5 секунд (промежутки для горького 3 минуты, а для остальных раздражителей 2 минуты) 10 мл определенного раствора (температура 20-250С). Для исследования использовуется 20% раствор сахара, 10% раствор поваренной соли, 0,2% раствор соляной кислоты и 0,1% раствор сульфата хинина.
Рецепторы
Для того чтобы совершить тщательное обследование, необходимо понять работоспособность глубоких и поверхностных рецепторов. Помимо этого врач оценивает вегетативные функции, проводя опрос пациента. Он полностью основывается на его жалобах. Для того чтобы совершить глубокий анализ нервной системы, доктор делает особые исследования. Человек находится в положении сидя, и ему искусственно снижают артериальное давление. После этого необходимо проверить частоту сердечных сокращений, провести тесты с глубоким дыханием. Далее врач, как правило, берет пробу на реакцию и давление в глазном яблоке. Необходимо также прощупать кожу, определить состояние потливости. Нужно узнать, можно ли использовать йод при терапии. Если имеются проблемы с мочеиспусканием, то необходимо дополнительно исследовать живот. И если есть в этом нужда, то следует приступить к лечению болезни.
2. Неадекватные методы лечения патологических процессов зубочелюстной системы:
- травматическое (сложное) удаление зубов;
- явления гальванизма при изготовлении протезов из разных металлов;
- неправильно изготовленные протезы, травмирующие слизистую оболочку полости рта и нарушающие высоту прикуса;
- явления гальванизма при использовании пломб из разных металлов.
Клиническая картина. Преобладают упорные боли с выраженным болевым синдромом и вегетативными нарушениями. Боли локализуются в зоне патологического очага, приступообразно усиливаются, длятся от нескольких часов до нескольких суток, постепенно снижая интенсивность.
Отличительной чертой одонтогенных невралгий является длительное течение, несмотря на устранение этиологического фактора заболевания.
Лечение.
1. Выявление и устранение этиологического фактора.
ацетилсалициловая кислота по 0,25-0,5 г 3-4 раза в день после еды;
кверсалин, по 1-3 таблетки 3-4 раза в день до еды;
б) производные пиразолона:
- антипирин по 0,25-0,5 г 3-4 раза в день;
- амидопирин по 0,3 г 3-4 раза в день (лицам с гипертонической болезнью предпочтительнее амазол по 1 таблетке 3 раза в день);
- анальгин по 0,5 г 2-3 раза в день (при очень сильных болях анальгин вводят внутримышечно или внутривенно по 1-2 мл 50% раствора 2-3 раза в день);
- бутадион по 0,1-0,15 г 4-6 раз во время или после еды;
в) производные анилина:
- фенацетин по 0,25-0,5 г. 2-3 раза в день;
- седалгин по 1 таблетке 3 раза в день;
г) производные индола:
- индометацин, начиная с 25 мг. 2-3 раза в день, доводя суточную дозу до 100-150 мг (можно одновременно с салицилатами); ибупрофен по 0,2г утром до еды, запивая чаем, и 3 раза в день после еды.
3. Антигистаминные препараты:
- димедрол по 0,03-0,05 г 2-3 раза в день;
- дипразин по 0,025 г 2-3 раза в день;
- супрастин по 0,025 г 2-3 раза в день;
- диазолин по 0,1 г 2 раза в день;
- тавегил по 1 мг утром и вечером.
Сбор анамнеза
На первом приеме врач знакомится с пациентом, его паспортными данными, родом деятельности и собирает анамнез. Активная позиция здесь отводится специалисту, а не больному.
Вначале невролог слушает жалобы пациента. Каждая предъявленная жалоба, является симптомом болезни. Анамнез играет большую роль при постановке диагноза. Очень важно внимательно выслушать пациента.
Врач задает вопросы о возникновении жалоб больного:
- когда появились первые симптомы болезни;
- прогрессирование заболевания;
- длительность патологии;
- период реабилитации;
- частота обострений.
Также специалист выясняет все хронические патологии у пациента, наличие наследственных факторов, то, какие он ранее перенес инфекционные заболевания. Опытный врач сразу оценивает при осмотре и сборе анамнеза походку пациента, движения, мимику лица. Все перечисленные показатели играют одну из ведущих ролей при постановке диагноза.
Стандартный оптимум неврологического обследования:
- исследование шеи и головы;
- пальпация органов брюшной полости;
- исследование мозговых функций;
- исследование на наличие сумеречного сознания.
Транквилизаторы:
- хлоридиазепоксид вначале по 5-10 мг в день. Постепенно дозу повышают до 100-120 мг в сутки, затем постепенно снижают;
- диазепам по 2,5-5 мг 2-3 раза в день;
- оксазепам по 0,01 г 2-4 раза в день.
5. Нейролептики:
- аминазин по 0,025 г на прием 3 раза в день после еды;
- тиоридазин по 0,05-0,15 г в день;
- галоперидол 0,0015 г 3 раза в день.
Осмотр. Оцениваются:
- конфигурация лица;
- цвет кожи лица (бледность, гиперемия, игра вазомоторов на лице и груди, мраморность, сальность, сухость, повышенная потливость);
- наличие элементов поражения;
- наличие гиперкинезов (характер, локализация, амплитуда, ритм, темп, постоянство, степень выраженности, разнообразие или стереотипность, исчезновение или усиление во время сна).
Дополнительные методы исследования: электроодонтометрия, электромиография, пробы с адреналином и гистамином, рентгенография черепа, челюстно-лицевой области и шейного отдела позвоночника, электроэнцефалография, ультразвуковая энцефалография, исследование кровотока лица.
Оценка движения и рефлексов
Конечно же, доктору нужно обязательно оценить работу мышц. Он должен осмотреть голень, плечевой пояс, определить их тонус и процесс сокращения. Это даст понять, насколько развита мускулатура. Как правило, для подобных тестов разработаны специальные и особенные задачи. Они позволяют совершить исследование неврологического статуса по максимуму.
Обязательно нужно уделить время координации пациента. Чтобы определить этот показатель, а также узнать работоспособность моторной функции, необходимо обратить внимание на походку больного. Помимо этого используется также популярная диагностика: следует дотронуться пальцем до кончика носа с закрытыми глазами.
Также должны быть оценены рефлексы. Они делятся на глубокие и регрессивные.
Обследование пациентов
Не во всех случаях удается поставить диагноз, опираясь на клинические данные. Возникает потребность в дополнительных исследованиях, которые дадут подробную информацию о состоянии пациента.
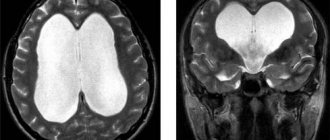
- Компьютерная томография. Выявляет участки кровоизлияний, пороки развития артерий или вен. Позволяет увидеть изменение тканей, их отеки, размягчение при инфаркте или травме.
- Магнитно-резонансная томография. Более современная диагностика, дает более подробные и точные данные, за счет большей разрешающей способности аппарата и не так пагубно влияет на пациента.
- Ангиография. Контрастное рентгенографическое исследование, которое выявляет патологии и изменения кровеносных сосудов в головном мозге.
- УЗИ. При помощи этого исследования получают детальное изображение крупных сосудов шеи.
- Люмбальная пункция или анализ цереброспинальной жидкости. Проводят исследование при менингите, кровоизлияниях, опухолях оболочек.
- Рентген. Используют контраст для выявления межпозвонковых грыж дисков, разрастания тел позвонков, опухолевых процессов. Исследование дает четкое представление о состоянии подпаутинного пространства всего спинного мозга.
- Электроэнцефалография. Основное исследование, которое назначают пациентам с подозрением на эпилепсию.
И еще довольно много методов и исследований, которые помогают в диагностике заболеваний: биопсия мышц, нервной ткани, генетические исследования, анализы крови.
Для успешного лечения требуется выяснить причину боли и поставить верный диагноз. А для этого необходимо обратиться к неврологу. Не стоит запускать болезнь, в зачатке победить ее намного проще!
Для проведения дифференциальной диагностики и верификации диагноза невролог назначает инструментальные и лабораторные исследования. Некоторые из них выполняют амбулаторно, а другие – в стационарных условиях.
При наличии заболеваний головного и спинного мозга, травм головы, позвоночника и других неврологических заболеваний применяют рентгенологические методы исследования. С помощью краниограммы (рентгенограммы череп) выявляют врождённые дефекты костей черепа, микроцефалию, гидроцефалию, микроцефалию, переломы или дистрофические изменения костей черепа.
На рентгенограммах видны изменения, характерные для новообразований головного мозга и повышения внутричерепного давления. Рентгенография позвоночника позволяет выявить пороки развития позвоночника, травматические повреждения и изменения тел позвонков при их туберкулёзном их поражении.
К рентгеноконтрастным методам исследования относится вентрикулография и контрастная миелография. Ценным методом обследования, позволяющим получить изображение сосудов головного мозга после введения рентгеноконтрастного вещества, является ангиография. С помощью этого диагностического метода уточняют локализацию патологического очага, выясняют его природу и характер. На рентгенограммах видны изображения вен, артерий, венозных синусов.
Компьютерная томография – метод исследования, который позволяет увидеть точные и детальные малейшие изменения плотности мозговой ткани. К методам нейровизуализации относится магнитно-резонансная томография.
Электроэнцефалография – метод регистрации биотоков мозга. Их регистрируют на бумаге или на экране электронно-лучевой трубки. Анализ электроэнцефалограммы позволяет неврологам выявить волны, которые различаются по частоте колебаний, форме, амплитуде, регулярности и выраженности на внешние раздражители. Во время ультразвукового исследования врач получает сведения об изменениях в сосудах головного мозга.
Неврологи Юсуповской больницы назначают пациентам клинические и биохимические анализы. Лаборанты для исследования используют наиболее точные реагенты. При наличии показаний проводят генетическое обследование.
Запишитесь на приём к неврологу по телефону. Врач проведёт обследование, назначит необходимые анализы и дополнительное обследование. Получив их результаты, после постановки окончательного диагноза назначит индивидуальное лечение.
Специализация врача
У взрослых пациентов основными органами обследования являются головной и спинной мозг. Важными элементам изучения становятся нервы и нервные сплетения.
При поражении или патологии мозга могут страдать другие важные органы и части тела человека, поэтому считается, что неврология тесно связана с эндокринной системой, деятельностью желудочно-кишечного тракта и органами чувств.
Врача стоит посетить, когда ощущаются боли в спине, шее и голове, в грудном отделе и животе. Помимо этого, к неврологу следует обратиться, если началась депрессия и появились неврозы, навязчивые состояния и тревога.
Неврологические заболевания могут проявляться в виде тремора конечностей и тиков, что также становится важным поводом для быстрого обращения к специалисту.
Обращаются к специалисту требуется при проявлении синдрома дефицита внимания, постоянном ощущении страха. Такие состояния способствуют сужению сосудов головного мозга и нарушению его нормальной деятельности.
