1.Общие сведения
Выделяют особую, обширную, однако к настоящему времени недостаточно изученную группу расстройств высшей нервной деятельности, которые получили название диссоциативных. Последний термин означает утрату, разрыв взаимосвязей и продуктивного взаимодействия между отдельными нервно-психическими функциями (память, аутоидентификация, восприятие, двигательная активность и т.д.).
Диссоциативные конвульсии (диссоциативные судороги, эпилептиформный припадок, псевдоприпадок) является одним из многочисленных возможных проявлений подобного расстройства, – наряду с диссоциативным ступором, фугой, амнезией и многими другими феноменами такого рода. Очевидно, что терапевтический ответ и последующее лечение в случае псевдоприпадков должны быть принципиально другими, нежели при «истинных» эпилептических приступах. Однако дифференциальная диагностика зачастую сопряжена со значительными трудностями, требуя от врача (будь то врач общей практики или узкопрофильный специалист) значительного опыта, критического мышления и умения быстро анализировать все нюансы наблюдаемой клинической картины в ее происхождении и динамике.
Обязательно для ознакомления! Помощь в лечении и госпитализации!
Диагностика
Необходимо отличить эписиндром от истинной эпилепсии. Поэтому очень важно провести точную дифференциальную диагностику.
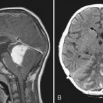
Пациентам назначают МРТ головного мозга. Это обследование помогает выявить этиологию эпилептиформного синдрома. Очаги глиоза на снимке указывают на повреждение нейронов вследствие травмы или инсульта. Глиозными изменениями врачи называют разрастание вспомогательных клеток головного мозга. Обычно это отмечается после гибели нейронов.
Важным методом дифференциальной диагностики является электроэнцефалограмма. При эписиндроме ЭЭГ может не показывать патологических изменений. Ведь очаги возбуждения в головном мозге появляются только перед приступом. При эпилепсии электрическая активность коры мозга повышена постоянно.
2.Причины
Как указано выше, диссоциативные расстройства сами по себе составляют сложную проблему, причем одновременно для нескольких специальностей (в основном, психоневрологического направления). В частности, остается дискутабельным вопрос о соотношении понятий «диссоциативное» и «конверсионное» расстройство (последнее подразумевает бессознательную трансформацию психологических проблем в физиологическую патологию): одни специалисты считают эти понятия синонимами, другие усматривают существенные различия.
Однако и в этиопатогенезе «классических» диссоциативных расстройств роль психологического фактора несомненна (психотравмы, хронические стрессы, сексуальное насилие, пережитые катастрофические ситуации, эмоциональное отвержение со стороны родителей в детстве и т.д.). Кроме того, имеются данные о возможном провоцирующем влиянии таких факторов, как медикаментозная седация при амбулаторных хирургических вмешательствах, суггестивные техники в ходе психотерапевтического курса или зомбирования в тоталитарных сектах, религиозный фанатизм больного со склонностью к трансовым состояниям, систематические интоксикации с поражением ЦНС (алкоголь, наркотики, профессиональные вредности). Согласно современным представлениям, любое диссоциативное расстройство, – в т.ч. судорожный псевдоприпадок, – это экстремальная и не подчиняющаяся сознанию попытка компенсировать какие-либо переживания, которые переработать иным способом центральная нервная система не в состоянии.
С этой точки зрения становится понятным, почему диссоциативные судороги характеризуются той же особенностью, что и прочие этиопатогенетически схожие расстройства, а именно «условной желательностью», т.е. ситуационной обусловленностью. Если не глубинной причиной, то, по крайней мере, пусковым фактором псевдоприпадка всегда становятся обстоятельства или ситуации определенного индивидуально-значимого типа. Например, в детском возрасте психика может подобным образом реагировать на наказание или отказ родителей в удовлетворении каких-либо требований.
Посетите нашу страницу Неврология
Диагностика патологии
Малыш, перенёсший приступ, обязательно должен быть показан детскому неврологу. Симптомы очень напоминают эпилепсию. Без специальных обследований, невозможно сказать, чем именно был вызван припадок.
Таким образом, диагностика основана на исключении других источников конвульсий, таких как эпилепсия, нейроинфекции.
Комплексное обследование включает следующее:
- Анализ крови (биохимию и общий).
- Исследование мочи.
- Спинномозговую пункцию. Данный анализ жидкости позволяет исключить наличие энцефалита, менингита.
- Компьютерную томографию либо ядерно-магнитный резонанс.
- Электроэнцефалограмму.
3.Симптомы и диагностика
Основой клинической картины являются более или менее точно повторяющиеся движения, имитирующие генерализованный эпилептический припадок. Ключевые слова в данном определении – это «более или менее» и «имитирующие», поскольку моторные проявления реального эпи-приступа характеризуются абсолютной стереотипностью, клоничностью судорожных сокращений, в какой бы группе мышц они ни наблюдались.
Это, однако, не означает, что пациент сознательно «притворяется»: механизм конверсионных и/или диссоциативных расстройств значительно сложнее банальной симуляции.
Однако в развитии псевдоприпадка прослеживается некоторая драматичность и театральность; такой припадок обязательно нуждается в «зрителях», никогда не развивается в одиночестве и прекращается в том случае, если на него не обращают внимания. Нередко псевдоконвульсивная моторика сопровождается истерическим смехом, слезами, «обмороком», – хотя в действительности сознание больной не утрачивает и память на период припадка сохраняется.
Важнейшими дифференциально-диагностическими критериями являются зависимость возникновения судорог от конкретных ситуаций, а также отсутствие объективно подтвержденных неврологических синдромов и заболеваний, – равно как и отсутствие наиболее опасных симптомов истинного развернутого эпилептического приступа (западение или прокусывание языка, неконтролируемое падение с риском получить тяжелую травму, непроизвольное мочеиспускание, утрата сознания и корнеальных рефлексов, характерная пена на губах, амнезия периода припадка).
С целью исключения органического поражения ЦНС назначают стандартные инструментальные исследования (ЭЭГ, КТ, МРТ и т.п.). Важным и информативным методом уточняющей диагностики выступает экспериментально-психологическое обследование, которое в ряде случаев выявляет определенную личностную деформацию и/или сверхценные для данного больного стимулы, темы, ситуации и другие факторы, связанные с психологической первопричиной и могущие служить триггером для «запуска» диссоциативных конвульсий.
О нашей клинике м. Чистые пруды Страница Мединтерком!
Патофизиология и причины процесса
Эпилептиформный синдром, в отличие от припадков эпилептической природы, не имеет характерных изменений личности. Во многом проявления синдрома зависят от развития текущего основного заболевания.
При излечении от главного заболевания состояние может быть преходящим (как пример, интоксикация организма при алкогольном отравлении, травмах черепно-мозговых).
Причины появления синдрома:
- разной природы пороки развития ЦНС;
- нарушения ЦНС генетического характера;
- врожденные пороки ЦНС;
- родовая травма, гипоксия новорожденных (с реанимацией);
- менингит, энцефалит, гранулемы, абсцессы;
- токсическое воздействие на организм: лекарственными препаратами (их приём или отмена), неорганическими веществами (свинцом, ртутью, угарным газом), органическими веществами (спиртами, альдегидами);
- травма черепно-мозговая;
- проблемы с обращением крови головного мозга;
- метаболические нарушения;
- опухоли;
- наследственные заболевания: наследственная эпилепсия;
- лихорадка;
- криптогенная эпилепсия;
- дегенеративные заболевания головного мозга.
4.Лечение
Базисным, главным элементом лечения диссоциативных судорог, как и других расстройств данной этиопатогенетической группы, является психотерапия. Курс может занять достаточно много времени или же принести быстрый положительный эффект, однако без глубокой психологической диагностики и коррекции лечить псевдоприпадки медикаментозно (например, антипароксизмальными средствами, которые применяются при эпилепсии) совершенно бесполезно. К слову, неэффективность противоэпилептических препаратов служит одним из значимых дифференциально-диагностических критериев и указывает на диссоциативный, а не органический, генез расстройства.
В ходе психотерапевтического лечения могут быть показаны препараты иного действия, – анксиолитики, антидепрессанты, транквилизаторы, – однако они носят сугубо дополнительный, вспомогательный характер; решение об их применении и дозировках, отмене или замене принимает исключительно врач.
Фебрильные судороги, описание и чуть-чуть истории…
Фебрильные судороги были известны еще во времена античности. Еще Гиппократ утверждал, что фебрильные судороги чаше всего возникают у маленьких детей (в первые 7 лет жизни).
Намного реже они могут возникнуть у детей более старшего возраста и у взрослых людей.
В целом, фебрильные судороги являются важной проблемой именно педиатрии. Их актуальность предопределяется потенциальной возможностью постепенно или резко трансформироваться в различного рода доброкачественные эпилептические синдромы.
Кроме того, частые фебрильные судороги могут влиять на нервное и психическое развитие.
Диагноз «фебрильные судороги» зачастую трактуется очень обобщенно — врачи относят к ним все судороги, которые сопровождаются очень высокой температурой тела.
Это может привести к неадекватному лечению опасных нейроинфекций из-за их неустановленного характера, а также к неадекватному прогнозированию самих фебрильных судорог.
В 1905 году немецкий ученый Хохингер предложил термин «случайные судороги», чтобы использовать для конкретизированного обозначения пароксизмов и у детей грудного возраста, которые возникают как следствие повышения температуры.
Получается, что фебрильные судороги не имеют эпилептической природы и отличаются от судорог эпилептического характера.
Методы лечения
Родители, столкнувшись с конвульсиями у ребёнка, начинают паниковать. В таком состоянии они просто не способны помочь своему чаду. А кроха нуждается в правильной и адекватной помощи. Поэтому самое первое и главное правило – это успокоиться.
Первая помощь
Если у малыша наблюдается приступ, важно учесть 2 момента:
- Предупредите попадание в дыхательные пути слюны, рвотных масс.
- Защититеребёнка от травматических повреждений во время припадка.
Чтобы облегчить состояние своего чада и обезопасить его от негативных последствий, родителям необходимо придерживаться следующих правил поведения:
- Обязательно вызовите «Скорую помощь».
- Желательно позвать кого-нибудь на помощь.
- Кроху следует перенести на твёрдую поверхность. Исключите соприкосновение с опасными предметами.Ребёнка укладывают на бочок. Личико поворачивают вниз. Эта поза защитит малыша от проникновения различных компонентов в дыхательные пути.
- Обязательно запомните время, когда началсяприступ. Строго контролируйте его продолжительность. Для этого воспользуйтесь часами, поскольку родители, наблюдающие за конвульсиями, часто утрачивают ощущение времени. Следите за проявлениями припадка. Обратите внимание на позу, наличие сознания, расположение конечностей, тела, головы, закатываются ли у ребёнка глаза. Именно эти данные подскажут врачу, в каком лечении нуждается маленький пациент.
- Следите за дыханием. Если кроха напряжён и у него отсутствует дыхание, то сразу после припадка необходимо приступить к искусственному дыханию. Производить эту процедуру пока не прошёлприступ – бесполезно.
- Разденьте малыша и обеспечьте приток свежего воздуха. Откройте окно. Желательно, чтобы температура в комнате соответствовала 20 С.
- Примените физические методы борьбы с гипертермией. Можно растереть водой с уксусом.
- Чтобы снизить температуру воспользуйтесь жаропонижающим препаратом. Однако пить сиропы или глотать таблетки крайне нежелательно и даже опасно. Лучше всего воспользуйтесь свечами «Парацетамол».
- Не оставляйте кроху одного. Вы должны быть рядом и защитить своего младенца от тяжёлых осложнений и травматизма.
Что делать запрещено
Фебрильные судороги у детей выглядят пугающе. Поэтому родители, пытаясь облегчить состояние малыша, нередко прибегают к мероприятиям совершенно ненужным, а подчас и опасным.
Запомните, что делать категорически противопоказано:
- Не пытайтесь удержать дитя силой во время припадка. Это может привести к травматизму.
- Не вставляйте в рот какие-либо предметы, не высовывайте у крохи язык. Это только миф, что во время конвульсий можно проглотить язык. При этом манипуляции со ртом могут окончиться весьма плачевно начиная от повреждения и заканчивая попаданием инородного тела в дыхательные пути. Здесь уже идёт серьёзная угроза для детской жизни.
- Не охлаждайте при помощи холодной ванны. Такое мероприятие способно спровоцировать остановку сердца.
- Во время конвульсий не давайте употреблять лекарства, воду. Это чревато попаданием жидкости в дыхательные пути.
Дополнительное лечение
Фебрильные судороги, продолжающиеся не более 15 минут, и не повторяющиеся, не нуждаются в дополнительных терапевтических мероприятиях.
Но если они длительны и имеют тенденцию к повторению, то маленькому пациенту потребуется введение внутривенной инъекции. Рекомендован противосудорожный препарат, такой как «Фенитоин», «Ввальпроевая кислота», «Фенобарбитал». Это сделает врач, оценив состояние крохи.
Иногда гипертермия и конвульсии могут являться симптоматикой крайне тяжёлых болезней – нейроинфекций (менингит, энцефалит). Но не спешите паниковать, такие заболевания встречаются крайне редко. Если у врача возникнет подозрение, то он может назначить дополнительные обследования или порекомендовать забрать малыша в стационар. Будьте к этому готовы и не противьтесь, ведь на кону здоровье вашего чада.
