По статистике каждая четвертая женщина становится жертвой домашнего насилия. Но далеко не каждая решается
Эпилептический синдром – это такое состояние, при котором часто повторяется судорожное состояние, которое обычно
Этапы развития пространственного мышления Умение размышлять в пространстве состоит из 5 фаз: Анализ —
Желудочки головного мозга – это своеобразные полости в ткани мозга, которые предназначены для депонирования
Вкус или запах? Мы часто думаем, что ощущаем вкус, на самом же деле мы
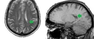
Узнать больше о других заболеваниях на букву «С»: Сдавление головного мозга; Сенильная хорея; Сенситивная
Виды воли, проявление воли В разных ситуациях воля получает разные названия. Ее имена —
Очень часто в средствах массовой информации о стрессе говорится общими фразами. Довольно редко можно
Седалищный нерв является самым крупным в человеческом организме. Именно поэтому любое повреждение нервного окончания
Любое публичное выступление начинается с усердной подготовки: и не важно, каким уровнем «ораторского искусства»
