В чем разница между КТ и МРТ: особенности диагностики
Человеческий организм избирательно задерживает рентгеновское излучение, и поглощающая способность тканей становится фактором, который влияет на четкость картинки. Лучи фиксируются на пленку или другой носитель – таким образом мы получаем изображение.
Одно из главных отличий МРТ от КТ заключается в способе воздействия на пациента для выявления патологий и заболеваний. Действие магнитно-резонансного метода связано со следующей особенностью устройства нашего организма: наличием в тканях протонов водорода, которые испытывают влияние сильнейшего поля и выделяют энергию, регистрируемую аппаратом в виде послойных изображений. Результатом становится максимально точная визуализация мышц, мозга, связок.
МРТ рекомендуется проводить для подробного исследования тканей и сосудов, суставов и костей. В этих случаях оно помогает:
- определить, есть ли опухоли в данных частях тела;
- обследовать нервы внутри черепной коробки, структуры соединительных тканей мозга;
- изучить состояние оболочек спинного мозга;
- обследовать пациентов, у которых имеются различные степени рассеянного склероза;
- исследовать связки и мышцы;
- изучить состояние поверхности суставов.
Компьютерная томограмма позволяет выявить наличие опухолей, кист, камней в почках или желчном пузыре. Чтобы исследование было наиболее результативным и четким, врачи используют контрастное вещество, которое вводят пациенту посредством инъекции. Попадая в нужный орган, оно как бы подсвечивает его, позволяя детально изучить необходимую область.
КТ назначается, если необходимо:
- изучить дефекты кости или зуба;
- узнать, в какой степени поражены суставы;
- продиагностировать травмы и возможные внутренние кровотечения;
- изучить повреждения головного и спинного мозгов;
- обследовать грудную полость (обнаружить туберкулез или пневмонию);
- проверить мочеполовую систему;
- продиагностировать сосудистые заболевания;
- исследовать полые органы.
Компьютерная томография проводится при помощи рентгеновских лучей.
Чем отличается КТ от МРТ головного мозга? Главное отличие между методиками – принцип, лежащий в их основе.
- Компьютерная томография проводится при помощи рентгеновских лучей. При обычном рентгеновском исследовании они, проходя сквозь ткани, фиксируются на пленке в виде двухмерного изображения. При КТ оно получается объемным, поскольку снимки выполняются с разных углов благодаря кольцеобразному контуру.
- При МРТ действуют не рентгеновские лучи, а электромагнитные волны. Под их воздействием протоны водорода дают тот или иной резонанс, который фиксируется сканером, обрабатывается и выдается в виде объемного снимка.
Таким образом, методики будут отличаться еще и списком противопоказаний. Компьютерная томография – это рентгеновское излучение, а значит, ее нельзя выполнять маленьким детям (до семи лет), а также женщинам в период ожидания ребенка. Противопоказания к МРТ диктует «магнитный» метод исследования. Процедура не проводится, если в организме есть металлические или электронные конструкции – импланты, спицы, кардиостимуляторы, зажимы сосудов и прочие.
Есть еще два существенных различия между методиками:
- Компьютерный томограф не столь чувствителен к движениям пациента. Во время исследования необходимо лежать неподвижно, но требования к этой неподвижности не такие строгие, как при МРТ.
- КТ позволяет в максимально короткие сроки получить снимки – в отличие от МРТ, которая занимает больше времени. Поэтому в экстренных случаях, когда имеет место острое нарушение мозговой деятельности или травма, обычно производится именно КТ.
Оба метода точны, но существуют ситуации, когда применение определенного способа будет более информативным. К тому же существуют некоторые временные и постоянные индивидуальные противопоказания, ограничения в количестве процедур.
Плюсы КТ, МСКТ:
- четкое трехмерное изображение изучаемой области;
- возможность послойного изучения органа;
- безболезненность диагностического метода;
- быстрота проведения исследования — воздействие лучей длится до 10 секунд;
- меньшее излучение, чем при использовании рентгена;
- эффективно для исследования костных, мышечных тканей, выявления кровотечений и опухолей;
- требует меньших финансовых затрат.
Магнитно-резонансная томография также имеет ряд преимуществ, некоторые из них созвучны с достоинствами КТ. Плюсы использования МРТ:
- высокоточная информация на объемном снимке;
- возможность вращения изображения в удобную проекцию;
- послойное исследование органа позволяет точнее изучить детали;
- наилучший способ исследования при неврологических проблемах — более точных аналогов диагностики в этой области медицины нет;
- безопасно для любого возраста (применяют детям от рождения);
- гарантирует безопасность для беременных женщин — не влияет на мать и плод; нет влияния радиационного излучения.
- нет противопоказаний для частого использования, безболезненность проведения;
- возможно сохранения данных в электронном виде (удобно для изучения патологии в динамике);
Несмотря на технологичность процессов, их эффективное применение ограничено некоторыми нюансами. Для того, чтобы выбрать максимально подходящий способ изучения патологии, нужно учесть и недостатки каждого из методов.
Минусы КТ, МСКТ:
- радиационное облучение (что вреднее влияния электромагнитных волн);
- запрещено использовать беременным, детям;
- невозможно получить информацию о работе органов, можно только рассмотреть анатомические изменения в строении.
Недостатки МРТ:
- не подходит для точного исследования полых органов (желчный и мочевой пузыри, сосуды);
- перед процедурой необходимо удалить металлические элементы с одежды;
- обследование занимает длительное время — 30-40 минут;
- не подходит для пациентов с клаустрофобией;
- возможно ограничение по весу — аппараты рассчитаны на массу до 110 кг (немногие модели — до 150 кг);
- запрещено для использования людям с несъемными протезами и имплантированными элементами — штифтами, клипсами, пластинами, кардиостимуляторами;
- для четкости получаемых снимков нужно долго находится в неподвижном состоянии (при диагностике у детей применяют анестезию).
Подготовка и выполнение томографии
Разницы между проведением МРТ, КТ для пациента практически нет. Подготовка тоже не различима. Если будет выполнено обследование с контрастом, то за 6-8 часов до него необходимо отказаться от приема пищи. КТ, МРТ кишечника требуют более тщательной подготовки, в том числе – очистки толстой кишки при помощи клизмы. Перед обследованием органов брюшной полости рекомендуется отказ от пищи, способствующей газообразованию.
Сама процедура томографии проходит в положении лежа. После того, как человека располагают на кушетке, врач покидает помещение. По мере выполнения серии снимков пациента отпускают, а через 20-60 минут выдают ему протокол обследования. Если планируется исследование с контрастированием, контрастное вещество вводят до процедуры внутривенно, капельно, перорально или ректально.
Длительность КТ обычно не превышает 15-20 минут, тогда как МРТ может продолжаться от 10-15 минут до часа.
Заболевания, при которых назначается компьютерная томография:
- Грыжа межпозвоночного диска
- Протрузия
- Остеохондроз
- Переломы костей или позвоночника
- Гематомы и кровотечения
- Остеопороз
- Сколиоз
- Рак легкого
- Пневмония
- Хронический бронхит
- Астма
- Туберкулез любых органов
- Раковые опухоли любой локализации
- Новообразования и участки аутоиммунного тиреоидита щитовидной железы
- Аденома, рак паращитовидной железы
- Аневризмы
- Язва желудка
- Атеросклероз
- Мочекаменная болезнь
Заболевания, при которых назначается магнитно-резонансная томография:
- Опухоли головного мозга
- Рассеянный склероз
- Инсульт
- Воспалительный процесс в мозге
- Аневризмы
- Панкреатит
- Холецистит
- Невриты
- Тромбоз
- Тромбоэмболия
- Атеросклероз
- Водянка головного мозга или брюшной полости
- Болезни связок и хрящей
- Застой желчи
- Абсцессы и флегмоны
- Грыжи и т.д.
Ответить на вопрос, какой из видов томографии лучше, почти невозможно. У них есть свои показания и противопоказания. Разница между КТ, МРТ существует, но по информативности данные методики не уступают одна другой.
Развитие диагностической медицины в настоящее время позволяет установить заболевание или патологию в самой начальной стадии. Это касается даже столь сложной системы человеческого организма, как человеческий мозг. В основе методов исследования головного мозга КТ и МРТ лежит принцип послойного сканирования. В этом и заключается их основное сходство. Выясним, чем же отличается КТ от МРТ головного мозга, а также, что эффективнее и точнее МРТ или КТ.
Отличие МРТ от КТ головного мозга
Если говорить в целом, то между диагностикой головного мозга посредством КТ и МРТ имеется принципиальная разница, заключающаяся в:
- технологии действия прибора;
- степени чувствительности аппарата.
Действие компьютерного томографа основано на рентгеновском излучении, направленном на ткани, дающее представление о физическом состоянии вещества, его плотности. КТ – установка вращается вокруг основной оси – тела пациента, воспроизводя изображение снимаемого органа (в данном случае мозга) в разных проекциях. Полученные в процессе съемки срезы суммируются, перерабатываются на компьютере, и выдается конечный результат, который трактует специалист в данной области.
МРТ отличается тем, что в работе аппарата задействованы довольно мощные магнитные поля. Воздействуя на атомы водорода, они выстраивают эти частицы параллельно направлению магнитного поля. Радиочастотный импульс, продуцируемый прибором, идет перпендикулярно по отношению к магнитному полю, колебания клеток резонируют, и именно это позволяет выстроить многослойные изображения. Современные МР-томографы имеют открытую конструкцию, что особенно важно для пациентов, страдающих клаустрофобией.
Показания к назначению КТ и МРТ головного мозга
Для пациентов, кому назначена процедура исследования головного мозга, очень значим вопрос: что лучше МРТ или КТ? Рассмотрим обе диагностические процедуры с позиции специалиста-медика.
С помощью МРТ лучше изучать мягкие ткани (мышцы, сосуды, мозг, межпозвонковые диски), а КТ эффективнее использовать для исследования плотных тканей (костей).
МРТ предпочтительнее при:
- патологиях оболочек мозга;
- поражениях мягких тканей;
- подозрении на опухоль;
- воспалении мозговой ткани в результате , склероза и т.д.;
- негативных изменениях внутричерепных нервов, гипофиза.
Также МРТ назначается при непереносимости рентгеноконтрастного вещества, которое задействовано в компьютерной томографии. Значительный плюс МРТ заключается в том, что при исследовании отсутствует радиационное излучение. Именно это делает процедуру безопасной для беременных (исключением является первый триместр) и кормящих женщин, а также детей раннего и дошкольного возраста.
В тоже время, МРТ противопоказан лицам, у которых имеются металлические пластины, имплантаты, спирали и т.п.
КТ предоставляет более точную информацию при диагностировании:
Если рассматривать обе процедуры c позиции временных затрат, то обследование КТ одной части тела длится в пределах 10 минут, в то время как МРТ-исследование занимает приблизительно 30 минут.
Есть разница и в стоимости исследований. Компьютерная томография головного мозга стоит заметно дешевле, а плата за магнитно-резонансную томографию, соответственно, выше. Причем, чем совершеннее и дороже МРТ-аппарат, выше качество снимков, тем больше денег необходимо заплатить за процедуру обследования.
Еще всего лишь столетие назад невозможно было заглянуть внутрь человека без проникновения в организм какими-либо инструментами. Врачам приходилось выставлять большую часть диагнозов практически наугад, основываясь только на клинических проявлениях. Вскоре были открыты рентгеновские лучи, что существенно упростило диагностику многих патологий. Но рентген не мог дать полной картины происходящего в организме, так как показывал внутренности только в двухмерной проекции: органы «накладывались» один на другой, и было сложно разобрать, что к чему.
Эти трудности подвигли ученых искать другие пути. Таким образом, были изобретены компьютерная и магнитно-резонансная томографии. Эти методы исследования имеют много плюсов по сравнению с рентгенографией, их все чаще стали применять в современной медицине. Чтобы определить, когда какой метод выбрать, нужно знать, в чем разница между КТ и МРТ. В некоторых случаях можно обойтись только компьютерной томографией, а иногда для получения достоверной информации лучше прибегнуть к использованию МРТ.
Принцип действия
Несмотря на то, что в результате обоих исследований получается трехмерное изображение внутренних органов, между ними имеется существенная разница:
- По степени чувствительности.
- По принципу действия.
Компьютерный томограф работает с использованием рентгеновских лучей. Это целая установка, которая, вращаясь вокруг тела пациента, делает снимки. Все полученные изображения потом суммируются, и их обработкой занимается компьютер.
Отличие МРТ от КТ в принципе работы заключается в том, что здесь уже нет рентгеновских лучей, а на службе у человека состоят магнитные поля. Под их воздействием атомы водорода, имеющиеся в организме пациента, выстраиваются параллельно относительно направления магнитного поля.
Аппарат посылает радиочастотный импульс, который идет перпендикулярно основному магнитному полю. Ткани в организме человека вступают в резонанс, и эти колебания клеток томограф способен распознавать, расшифровывать их и строить многослойные изображения.
КТ: что показывает и чем отличается от МРТ?
Основные достоинства метода компьютерной томографии это:
- доступная стоимость;
- процедура длится от 10 до 30 минут;
- это исследование необходимо для диагностики заболеваний и изменений в костных структурах, при выявлении камней в почках, кальцинат, патологий, травм и переломов.
В каких случая КТ более информативна? Данная процедура чаще всего проводится при:
- выявлении гематом и новообразований, мозговых травм;
- поражении костей черепа, зубов;
- воспалении околоносовых пазух;
- заболеваниях позвоночника;
- изменениях сосудов в результате развития атеросклероза;
- раке легких;
- туберкулезе и т.д
Компьютерная томография отличается от МРТ большей доступностью при высокой информативности обследования отдельных областей и пораженных органов.
Однако у этой процедуры есть и один существенный минус – большая доза рентгеновского излучения. Именно поэтому диагностику методом КТ нельзя проводить беременным. Еще один недостаток – невозможность полноценного сканирования позвоночника: специалист подвергает воздействию прибора только небольшой его участок.
Предлагаем ознакомиться: Корригирующая остеотомия описание особенности выполнения возможные осложнения
Осуществляя обследование при помощи КТ-сканера, врач не может изучить рентгеновскую плотность осматриваемых тканей – именно это изменение свидетельствует о развитии многих серьезных заболеваний, включая онкологию. Однако в ходе магнитно-резонансной томографии специалист тоже вынужден воспринимать лишь визуальное изображение, не получая максимально полноценной клинической картины заболевания.
Чем отличаются оба эти метода?
Для понимания отличий следует разобраться в технике проведения.
Компьютерная томография базируется на рентгеновском излучении
. То есть, КТ сродни рентгену, но томограф обладает иным способом распознавания данных, а также повышенным лучевым воздействием.
Во время КТ выбранную область послойно обрабатывают рентгеновские лучи. Они проходят через ткани, чередуя плотность, и поглощаются этими же тканями. В итоге система получает послойные картинки срезов всего тела. Компьютер обрабатывает эту информацию и выдает трехмерные изображения.
МРТ диагностика характеризуется влиянием ядерно-магнитного резонанса
. Томограф отправляет электромагнитные импульсы, после чего в исследуемом участке возникает эффект, который сканирует и перерабатывает оборудование, выводя затем трехмерное изображение.
Из вышесказанного следует, что МРТ и КТ имеют значительную разницу. К тому же компьютерную томографию нельзя проводить многократно из-за большого лучевого влияния.
Еще одно отличие – время исследования. Если для получения результата с помощью КТ достаточно 10 секунд, то в процессе проведения МРТ человек находится в закрытой «капсуле» от 10 до 40 минут. И важно при этом соблюдать полную неподвижность. Вот почему магнитно-резонансную томографию не проводят людям, страдающим клаустрофобией, а детям нередко вводят наркоз.
Противопоказания для проведения процедур
Каждая из процедур имеет противопоказания, которые могут воспрепятствовать, если вы решите пройти обследование.
Компьютерную томографию не назначают:
- Беременным и женщинам при кормлении грудью
- Детям в раннем возрасте
- В случае частого проведения процедуры
- Если есть гипс в зоне обследования
- При почечной недостаточности. Магнитно-резонансная томография имеет также свои противопоказания:
- Клаустрофобия, шизофрения
- Присутствие у пациента в теле кардиостимулятора, металлических имплантатов, клипс на сосудах, иных предметов из металла
- Беременность в 1 триместре
- Избыточный вес больного (свыше 110 кг)
- Почечная недостаточность (при использовании контрастирующих препаратов).
Обязательно перед прохождением исследования требуется проконсультироваться с доктором.
Аппарат магнитно-резонансной томографии
КТ и МРТ применяют для диагностирования и назначения лечения огромного количества заболеваний. Вам необходимо знать, что назначение конкретного метода обследования зависит от того, какая часть тела человека подлежит исследованию.
Если в каких-либо случаях назначаются для исследования оба метода и дают одинаковый результат, то предпочтительнее по безопасности для здоровья, конечно, МРТ. Однако, цена ее выше.
В любом случае, важно всегда помнить, что здоровье, прежде всего, в ваших руках, и самое важное это своевременно выявить заболевания при помощи любых методов диагностики и приступить к правильному лечению.
ПОДЕЛИТЕСЬ С ДРУЗЬЯМИ И ПРОГОЛОСУЙТЕ
Несмотря на свою результативность, оба прибора имеют противопоказания к применению. Чаще всего пациенты отказываются от компьютерной томографии из-за боязни рентгеновского облучения. При ответе на вопрос о том, что безопаснее, МРТ или КТ, они склоняются к выбору первого исследования.
При детальном рассмотрении можно отметить, что у обоих видов имеются свои противопоказания.
Чем отличается МРТ от КТ, так это своими показаниями к проведению. Компьютерная томография не показана:
- Беременным женщинам (из-за опасности лучевого воздействия на плод).
- Детям раннего возраста.
- Для частого проведения.
- При наличии гипса в области исследования.
- При почечной недостаточности.
- Во время кормления грудью.
имеет также свои противопоказания:
- Клаустрофобия, когда человек боится замкнутых пространств.
- Присутствие в организме кардиостимулятора.
- Первый триместр беременности.
- Большой вес пациента (более 110 килограммов).
- Наличие металлических имплантатов, например, в суставах.
Все перечисленные противопоказания являются абсолютными, но перед проведением процедуры необходимо проконсультироваться с врачом, может, в вашем случае будут еще и особые рекомендации.
Вредно ли делать процедуру КТ?
Доза получаемого облучения во время КТ небольшая. Тем не менее, можно делать обследование не чаще 2 раз/год – через полгода после предыдущей процедуры. Такое ограничение не является строгим и однозначным: во-первых, оно будет зависеть от масштаба проведенной процедуры и конкретной дозы облучения, которая всегда указывается в протоколе исследования. Во-вторых, при жизненной необходимости КТ тоже может быть выполнено раньше.
Компьютерная томография вредна для беременных женщин, ведь на плод отрицательно воздействуют даже минимальные дозы рентгеновских лучей. Также рентгеновские лучи нежелательны к применению у кормящих матерей, и в таком случае придется прекратить грудное вскармливание как минимум на сутки.
Прочие противопоказания к КТ, преимущественно, касаются обследования с контрастом.Они таковы:
- Почечная недостаточность.
- Патологии щитовидной железы.
- Миеломная болезнь.
- Тяжелые болезни сердца.
- Сахарный диабет.
При массе тела более 200 кг пациент вряд ли сможет разместиться на столе томографа, поэтому по весу тоже имеются ограничения. КТ менее чувствительна к движению, чем МРТ, но при резких болях, психических отклонениях исследование не может быть выполнено качественно.
МРТ: в чем заключается преимущество процедуры
- Опасные для здоровья лучи заменяются радиоволнами. Подобная особенность позволяет проводить диагностику всем пациентам, включая детей и беременных. Вместе с потребностью в ограничениях пропадает и необходимость организации подготовки, необходимой для защиты врачей и обследуемых.
- Четкость изображения зависит от концентрации в тканях и органах протонов водорода. Разница в показателях обеспечивает контрастность и высокое качество трехмерной проекции.
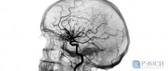
- Магнитно-резонансный метод позволяет визуализировать продольные и поперечные срезы, получая точное изображение сосудов не только головного, но и спинного мозга с определением параметров тока крови.
Подобный способ исследования зарекомендовал себя как один из наиболее эффективных методов, применяемых при диагностике патологических изменений в:
- центральной нервной системе (головном и спинном мозге);
- суставах;
- позвоночнике;
- надпочечниках, печени, селезенке, мочеточнике;
- работе сердца и сосудов.
Одна из главных особенностей МРТ, которую можно с уверенностью назвать достоинством этого метода – высокий уровень мяготканного контрастирования, позволяющий исследовать необходимые области без применения дорогостоящих препаратов и непосредственного введения специального вещества.
Основой для получения детального изображения при проведении магнитно-резонансной томографии являются две главные составляющие:
- мощное магнитное поле;
- радиочастотный импульсы.
Исследование осуществляется следующим образом: пациент попадает в открытый с обеих сторон тоннель специальной установки диаметром от 70 до 80 см, что позволяет ему сохранять горизонтальное положение во время проведения процедуры. Специально для максимального комфорта обследуемого предусмотрены вентиляция и ненавязчивое освещение.
Какие заболевания позволяет выявить КТ?
- болезни бронхов и легких (туберкулез, новообразования, плеврит, абсцесс легких тромбоэмболии , аномалии развития органов грудной клетки)
патологии суставов и костей (остеопороз, артрит , артроз, остеохондроз, опухоли костной и хрящевой ткани), а также травмы — переломы, трещины, вывихи и др.
заболевания позвоночника (воспалительные процессы, опухолевые новообразования, последствия травм)
болезни печени (цирроз, гепатит, гемохроматоз)
заболевания почек и надпочечников, поджелудочной железы, селезенки, поражение абдоминальных лимфатических узлов
патологии сосудов шеи, мозга, верхних и нижних конечностей (варикозная болезнь, тромбоз, аневризмы, пороки сердца , тромбофлебит)
травмы головы, повышение внутричерепного давления, гидроцефалия, инсульт и др.
лор-заболевания.
Помимо диагностики КТ применяют для проведения малоинвазивных операций, биопсии, определения терапии в онкологии и контроля результатов хирургического лечения.
Плюсы магнитно-резонансной томографии
Чтобы разобраться, что лучше – МРТ или КТ, необходимо рассмотреть преимущества каждого вида исследования.
Магнитно-резонансная томография имеет массу положительных сторон:
- Вся полученная информация отличается высокой точностью.
- Это самый информативный метод исследования при поражениях центральной нервной системы.
- Точно диагностирует позвоночные грыжи.
- Является безопасным обследованием для беременных и детей.
- Использовать можно с той частотой, какая вам необходима.
- Абсолютно безболезненна.
- Получаются трехмерные изображения.
- Есть возможность сохранить информацию в памяти компьютера.
- Вероятность получения ошибочной информации практически равна нулю.
- Нет воздействия рентгеновского излучения.
Учитывая особенности прибора и его принцип работы, во время проведения исследования возможны громкие стуки, которых бояться не надо, можно воспользоваться наушниками.
Видео: Какая диагностика МРТ или КТ лучше?
МРТ и КТ головного мозга назначаются при различных патологиях не только центральной нервной системы, но и окружающих тканей и костей черепа. Их используют для проведения неотложной или плановой диагностики при следующих состояниях:
- травматическое поражение костей черепной коробки с подозрением на черепно-мозговую травму;
- наличие симптоматики ишемического поражения центральной нервной системы (параличи, нарушение четкости речи, анизокория, выраженная слабость верхних или нижних конечностей);
- добро- и злокачественные новообразования;
- воспалительные процессы центральной нервной системы (менингиты, энцефалиты);
- дегенеративные изменения головного мозга;
- прирожденные аномалии развития сосудистой системы (аневризмы);
- эндокринологические патологии гипофиза;
- симптоматика повышения давления в системе желудочков центральной нервной системы (гидроцефалия);
- атеросклеротическое поражение сосудов головного мозга;
- нарушение сознания неясного генеза;
- головные боли, которые не поддаются лечению медикаментозной терапией.
Разница между КТ и МРТ в показаниях определяется типом патологии, которая подозревается у пациента.
Когда нельзя назначать КТ
КТ головного мозга использует рентгеновское излучения, соответственно противопоказания к ее назначению общее для этих методов исследования. Поэтому нельзя применять ее при следующих ситуациях:
- беременность пациентки;
- применение метформина при сахарном диабете второго типа;
- наличие декомпенсированной сердечной недостаточности;
- функциональная недостаточность почек (повышения концентрации креатинина и мочевины в плазме крови);
- обострение бронхиальной астмы;
- наличие судорог;
- неспособность пациента находится в неподвижном состоянии;
- аллергия на контраст (при необходимости его использования);
- наличие многочисленной миеломы.
Перед проведением исследования КТ врач в обязательном порядке должен оценить состояние пациента, его сопутствующие патологии и тяжесть состояния. Нельзя слишком часто проводить это исследования из-за отрицательного влияния рентгеновского облучения на организм пациента.
Противопоказания к проведению МРТ
Чем отличается МРТ, если говорить о возможных противопоказаниях? Это исследование имеет их меньшее количество. В общем МРТ головного мозга считается более безопасным исследованием, нежели КТ. Однако это исследование имеет один серьезный недостаток, который ограничивает его использование у некоторой категории пациентов.
Также нельзя назначать при патологиях головного мозга МРТ, если у пациента проводилась имплантация электронных приборов – кардиостимуляторов, имплантатов среднего уха, ферромагнитные аппараты. К противопоказаниям также относят неспособность пациента длительный период времени находиться в неподвижном состоянии, поскольку МРТ проводится более 15 минут. Поэтому детям и пациентам с риском судорог советуется проводить исследование с помощью медикаментозной седации.
Некоторые пациенты, которые страдают клаустрофобией и боязнью закрытых помещений длительное нахождение в томографе также приносит много неприятных ощущений. Поэтому им предпочтительнее отдавать преимущество экспресс-диагностике с помощью КТ.
Кроме того все томографы имеют ограничения касательно максимальной массы пациента (обычно более 150 или 200 кг).
Как подготовиться к проведению КТ или МРТ?
Редко бывает так, что врач просит пациента совершить какие-то действия до того, как начнется компьютерная томография.
Подобное характерно только для некоторых случаев, когда больному необходимо ввести контраст. В такой ситуации специалист может запретить употребялть напитки и пищу в течение нескольких часов.
Если вы решите принять седативные средства перед тем как начать процедуру, то доктор тоже порекомендует вам отказаться от приема пищи или жидкости.
Помните, что от вас зависит то, насколько удобно вы будете ощущать себя во время диагностики. Не стоит надевать обтягивающие и давящие вещи. Если у вас есть слуховой аппарат или вставная челюсть, то вытащите их на несколько минут, пока будет длиться обследование.
Обязательно предупредите медиков о том, что вы принимаете какие-то лекарственные средства или страдает от аллергии на какие-либо компоненты.
Если вы боитесь оставлять своего ребенка в процедурной в одиночестве, то с разрешения персонала и, предварительно облачившись в халат, вы сможете находиться с ним рядом.
По длительности эта диагностика относится к категории кратковременных. Всего через 15 минут всё будет завершено, а вы сможете отправиться домой. Однако, если вам давали успокоительные препараты, лучше не покидать медучреждение, пока их действие не закончится.
Предлагаем ознакомиться: Какие врачи лечат артроз К кому обратиться лучше всего
Вернувшись, старайтесь выпивать как можно больше жидкости несколько дней подряд. Так вы выведете вещества контраста из организма.
Обычно подготовка ни к чему. Но, если вам надо диагностировать заболевание, которое, предположительно, находится в органах брюшной полости, доктор порекомендует отказаться от употребления в пищу продуктов, вызывающих образование газов. Например, овощей, фруктов или мучных изделий.
Не запрещено принять лекарство, если возникли боли и спазмы в желудке, печени и так далее.
В случае выявления проблем в органах малого таза, важна наполненность мочевого пузыря.
Длительность процедуры магнитно-резонансного исследования не превышает получаса. Пациенту надо быть готовым к тому, что он проведет это время, находясь в замкнутом пространстве, слушая несколько громкие постукивания и свист, которые возникают вследствие работы аппарата.
Часто специалисты, чтобы расслабить больного, предлагают ему послушать в этот момент музыку с помощью наушников.
Если и этот метод не поможет, человек всегда сможет прекратить диагностику, нажав на специальную кнопку, которую он будет держать на протяжении всего обследования в своей руке. С помощью такой кнопки разрешено общаться с врачом и говорить ему о своих ощущениях.
Магнитно-резонансная и рентгеновская компьютерная томография
Такие методы исследования среди специалистов считаются самыми информативными. Они отражают реальное состояние здоровья пациента, поэтому КТ-, МРТ- диагностика назначаются чаще других процедур. Выбор конкретной методики зависит от таких факторов:
- обследуемой области;
- особенностей организма пациента;
- мнения врача.
В основе такого диагностического метода находится способность человеческого тела поглощать с различной интенсивностью ионизирующее излучение. Так, ткани с повышенной плотностью впитывают значительно больше лучей, чем те, что с пониженной. По сути, КТ, как и рентгенография, выполняется при помощи рентгеновских лучей и сопровождается облучением. Однако в отличие от первого метода исследование, выводится не двухмерное, а объемное изображение, что упрощает процесс диагностики.
Компьютерная томография – это манипуляция, помогающая увидеть:
- даже самые небольшие патологические изменения во внутренних органах;
- очаги воспаления и их распространение;
- состояние сосудов кровеносной системы и костных тканей;
- новообразования.
Существуют такие виды компьютерной томографии:
- Метод, предусматривающий применение контрастного вещества – чаще при этом используются йодсодержащие препараты. Они доставляются в организм через кровоток, внутривенно. Контрастное вещество помогает увидеть отличия между внутренними органами и определить даже малейшие патологические изменения.
- Исследование, предусматривающие использование 2-х источников излучения. Этот метод предусматривает быстрое сканирование. Он используется для исследования органов, постоянно пребывающих в движении.
- Ангиография – исследование, помогающее детально проверить состояние кровеносной системы. В ходе такой процедуры в артерию или вену вводится окрашивающее вещество, что помогает обнаружить мельчайшее патологическое изменение в строении кровеносных сосудов.
- Мультиспиральная – метод диагностики, при котором съемка производится по спирали. Сама же по себе процедура по продолжительности не превышает 7 минут.
- Многослойная КТ – проводится при помощи аппарата, в котором детекторы расположены по всей его окружности.
Пытаясь разобраться в том, что эффективнее КТ или МРТ, нельзя упускать из виду преимущества каждого метода. Например, компьютерная томография обладает вот такими достоинствами:
- получение точного и высококачественного изображения определенного отдела либо органа;
- методика показана к использованию лицам, подверженным психическими расстройствами и клаустрофобией;
- высокая скорость сканирования;
- отсутствие наложений на снимках;
- высокая точность, позволяющая обнаружить патологию на начальном этапе ее развития.
Такой метод обследования считается информативным и безопасным. Магнитно-резонансная томография – неинвазивный способ исследования, который основывается на измерении электромагнитных полей. Данный метод преимущественно используется для изучения мягких тканей и диагностики их патологий. Разобраться в том, какое обследование лучше – КТ или МРТ, поможет рассмотрение преимуществ последнего метода. Ключевыми считаются следующие его достоинства:
- получение высококачественного послойного изображения без контрастных препаратов;
- отсутствие лучевого облучения;
- возможность своевременного обнаружения новообразований;
- дает детальную информацию о структуре и о функциональных параметрах исследуемого органа (например, о скорости движения кровотока).
В ходе компьютерной томографии задействованы рентгеновские лучи. Они влияют на исследуемый участок под различными углами. Процедура выглядит следующим образом:
- Попадая на чувствительные датчики, рентгеновские лучи преобразуются в электроимпульсы.
- Осуществляется компьютерная обработка информации.
- Результат на монитор выводится.
Разобраться, чем отличается КТ от МРТ, поможет детальное рассмотрение того, что показывает компьютерная томография. Такая процедура помогает:
- изучить плотность костных тканей;
- выявить наличие камней;
- определить границы распространения опухоли;
- диагностировать врожденные пороки;
- изучить проходимость кровеносных сосудов;
- определить патологические изменения.
Механизм воздействия МРТ основывается на явлении ядерного физического резонанса. Суть его в том, что все клетки организма насыщены водородом, поэтому человеческое тело излучает радиосигналы. Причем, здоровые клетки выделяют одни сигналы, а патологически измененные – другие. Все они компьютером обрабатываются и выводятся в 3D-проекции на монитор.
Пытаясь разобраться в том, что лучше: КТ или МРТ, нелишним будет рассмотрение того, что показывает последняя из них. Данная процедура позволяет выявить:
- поражение мозга;
- протекающие в организме воспалительные процессы;
- новообразования;
- поражения сосудов;
- деформацию суставов;
- изменения в мягких тканях.
Выбрать оптимальный метод исследования может только доктор. Важно помнить, что хотя показания и противопоказания к МРТ и КТ почти сходны, есть у них различия. По этой причине только специалист сможет подобрать оптимальный метод диагностики. Он знает, в чем отличие КТ от МРТ.
Компьютерная томография имеет такие показания:
- патологии легких;
- черепно-мозговые травмы;
- внутренние кровотечения;
- частые обмороки;
- судороги;
- жалобы на боли головные;
- патологии репродуктивной системы;
- нарушения позвоночника и органов таза;
- обследования перед предстоящей операцией.
МРТ помогает выявить:
- повреждения суставов и связок;
- новообразования в жировых и мышечных тканях;
- патологические изменения мозга;
- нарушения в позвоночнике.
Такие методы диагностики не всегда приемлемы. КТ имеет следующие противопоказания:
- беременность (даже небольшая доза излучения опасна для плода);
- возраст меньше 14 лет;
- вес 120 кг и более;
- дисфункция почек;
- декомпрессионный сахарный диабет.
Магнитно-резонансная томография противопоказания имеет такие:
- наличие кардиостимулятора;
- первые месяцы беременности;
- психические заболевания;
- вживленный имплантат инсулинового насоса;
- наличие металлических протезов.
Компьютерная томография – это исследование, в ходе которого используется рентгеновское излучение. По мнению специалистов, безопасная доза – 15 мЗв в год. Однако интенсивность лучевого облучения зависит от применяемого оборудования и области исследования. Например, при томографии головы полученная доза составляет 2 мЗв.
Компьютерная и магнитно-резонансная томография между собой разнятся по механизму проведения процедуры. В отличие от КТ, МРТ не имеет ограничений по частоте выполнения процедур. Однако злоупотреблять этим диагностическим методом тоже не следует. Частота исследований определяется доктором, и зависит она от патологии пациента. Например, для профилактики осложнений при рассеянном склерозе такое исследование назначают раз в 1 или 2 года.
Предлагаем ознакомиться: Лечебная блокада при грыже поясничного отдела позвоночника
О целесообразности сочетания данных диагностических процедур принимает решение доктор. В определенных ситуациях он может решить, что проводить их можно в один день или объяснить пациенту, через сколько после КТ можно делать МРТ. Однако существуют и ограничения на проведение исследовательских процедур.
По своему внешнему виду оба томографа очень похожи. Результат их работы также сводится к получению тонких срезов исследуемых областей на картинке. Без детального изучения очень трудно сказать, чем отличается МРТ от КТ.
К плюсам компьютерной томографии можно отнести следующие факты:
- Получается трехмерное изображение изучаемой области.
- Четкие снимки костной системы.
- Нет болевых ощущений во время процедуры.
- Время всего исследования занимает несколько минут.
- Простота и достоверность информации.
- Томограф дает меньшую дозу излучения, чем рентгеновский аппарат.
- Можно проходить обследование при наличии металлических или электрических устройств в организме.
- Дает правдивую и точную информацию при внутренних кровотечениях, обнаружении опухолей.
- Меньшая стоимость по сравнению с МРТ.
Как видим, компьютерный томограф ничуть не уступает по своим плюсам магнитно-резонансному, поэтому, что лучше – МРТ или КТ, необходимо решать в каждом конкретном случае.
Показания к выполнению томографии
Оценивая, чем отличается КТ от МРТ, нужно знать точные показания к выполнению обеих методик. Дело в том, что одни проблемы организма визуализирует лучше МРТ, другие – КТ. Магнитно-резонансная томография – хороший метод для диагностики состояния мягких тканей, компьютерная томография – для оценки здоровья костей и других твердых структур.
При необходимости обследовать кишечник обычно рекомендуется МРТ, хотя обе методики дадут схожие результаты и должны применяться с введением контрастного вещества. Кишечник – полый орган, и хорошая визуализация его будет возможна при окрашивании стенок контрастным препаратом.
МРТ при обследовании головного мозга – незаменимый метод исследования, позволяющий точно установить ряд патологий мозговых оболочек, собственно мозговой ткани и сосудов, а также нервных сплетений. КТ головы обычно делают для оценки здоровья твердых оболочек, костей черепа, стыка основания черепа и позвоночника, лицевых костей.
Точно ответить, что лучше из двух видов томографии, может врач в зависимости от конкретных показаний. КТ, МРТ будут отличаться предпочтительной областью обследования, хотя во многих случаях они все-таки могут заменить друг друга. Основные показания к КТ:
- Любые заболевания кишечника и желудка
- Патологии легких и почек
- Все заболевания костей, суставов, позвоночника
- Поиск мест повреждений при травме
- Повреждения челюстей и зубов
- Проблемы щитовидной, паращитовидной желез
- Заболевания сосудов
В чем разница между КТ и МРТ: обычно магнитно-резонансную томографию рекомендуют для обследования нервной системы, сосудов, мягких тканей – связок, мышц, внутренних органов, головного мозга. МРТ показана при всех заболеваниях органов брюшной полости и малого таза, забрюшинного пространства, а также гортани и трахеи, лимфатических узлов.
Что безопаснее и информативнее – КТ или МРТ?
Сказать, что какой-то метод информативнее другого, конечно же, нельзя. Они оба прекрасно справляются со своей задачей в различных случаях и ситуациях.
Если подытожить все, о чем мы говорили до этого, можно сделать вывод о том, что компьютерная томография хорошо подходит для исследования костей, мышц, опухолевых образований во внутренних органах, поражениях хрящей и других структур.
Отследить состояние всего организма может и магнитно-резонансная томография. Особенно хорошо она справляется с выявлением запущенных стадий легочных болезней, таких как туберкулез и эмфизема.
Если же брать в расчет безопасность, то, как мы отмечали до этого, во время КТ диагностики на больного воздействуют рентгеновские лучи, однако сейчас аппараты устроены так, что лучевое воздействие становится минимальным и совершенно не травмирующим состояние больного. Причем неважно, ребенок это или взрослый.
Во время МРТ обследования ничто не может повредить здоровью пациента. Оно считается абсолютно безопасным для людей всех возрастов.
Противопоказания
Учитывая, что компьютерная томография – это не что иное, как радиационное излучение, ее не рекомендуют беременным женщинам и в период лактации
.
Магнитно-резонансная томография не проводится в следующих ситуациях:
- присутствие металлических деталей
в организме и на теле человека; - клаустрофобия
; - находящиеся в ткани кардиостимуляторы
и иные электронные приборы; - больные, страдающие нервными патологиями
, которые ввиду болезни не в состоянии находиться в неподвижном состоянии длительное время; - пациенты весом от 150-200 кг
.
Недостатки каждого вида исследования
В настоящее время практически все виды обследований имеют как положительные стороны, так и определенные недостатки. Томографы в этом плане не являются исключением.
К недостаткам МРТ-диагностики можно отнести следующие факты:
- Плохо поддаются исследованию полые органы, например, мочевой и желчный пузырь, легкие.
- Металлические детали в теле человека станут препятствием для проведения процедуры.
- Требуется много времени для проведения исследования.
- Для получения правдивого и точного результата пациенту надо длительное время находиться в неподвижном положении.
Минусы компьютерной томографии следующие:
- Исследование не дает информацию о функциональном состоянии органов и тканей, а только об их строении.
- Вредное воздействие рентгеновских лучей.
- Противопоказано для проведения у беременных и детей.
- Нельзя эту процедуру проводить часто.
Если вам рекомендованы для проведения оба метода исследования, то в этом случае, уже не важно, чем отличается МРТ от КТ.
В чем же разница между МРТ и КТ? Рассмотрим подробнее особенности этих способов диагностики.
Диагностический метод исследования, в основе которого лежит использование рентгеновских лучей. В отличие от привычного рентгеновского снимка, полученное изображение изучаемого органа будет объемным, а не двухмерным. Такой эффект достигается за счет использования кольцеобразного контура, который распределяет рентген-лучи вокруг установленной кушетки с пациентом.
Во время сеанса выполняется ряд изображений внутренних органов под разными углами. Это дает возможность в дальнейшем их скомбинировать и получить обработанное компьютером трехмерное изображение. КТ дает возможность послойно рассмотреть орган — “срезы” на самых точных аппаратах достигают 1 мм. Мультиспиральная или спиральная КТ (МСКТ) — методика включает непрерывное вращение аппарата, что делает снимок более детальным.
Обследование головного мозга
Диагностическая методика, позволяющая получить трехмерное изображение изучаемого органа. В основе способа исследования лежит использование электромагнитных волн. Ядерно-магнитный резонанс влияет на водород в человеческом организме — заставляет его менять положение, эти данные фиксируются аппаратом и оформляются в трехмерную картинку — томограмму.
Отличия диагностических обследований
Магнитно-резонансная томография – это обследование, которое позволяет получить объемные изображения. Достигается такой результат путем пропускания сквозь тело электромагнитных волн. Различные ткани реагируют на прохождение волн по-разному, эти ответы регистрируются специальным устройством, преображаются в трехмерную картинку. Далее изображение выводится на экран компьютера или же печатается на специальном материале.
Чтобы понять, что такое компьютерная томография, нужно знать, как работает рентгенография. Поскольку во время проведения КТ также используются рентгеновские лучи. Но в отличие от обычного рентгена, который дает возможность увидеть внутренности в двухмерном изображении, КТ выдает объемную картинку. Это связано с устройством томографа: лучи подаются со всех сторон. Обследуемый лежит на столе внутри аппарата. Во время обследования врачи получают изображения, которые обрабатываются на компьютере.
Такие методы диагностики позволяют послойно рассмотреть каждый орган, что особенно важно во время определения местонахождения . Так чем тогда отличается МРТ от компьютерной томографии? Одни патологии лучше визуализируются под действием рентгеновских лучей, а для диагностики других более приемлемым будет использование электромагнитных волн.
Считается, что применение КТ не всегда оправдано, поскольку происходит облучение. Однако проблему помогает решить СКТ. Чтобы понять, что такое спиральная компьютерная томография (СКТ), нужно представить себе обычный томограф, движения которого будут отличаться от стандартных. Само кольцо вращается вокруг пациента, а кушетка постоянно совершает поступательные движения внутрь аппарата. Такая методика позволяет существенно сократить время действия рентгеновских лучей на организм больного.
Сколько стоят МРТ и КТ?
Нельзя не отметить тот факт, что обе процедуры по стоимости значительно превосходят ультразвуковое исследование или рентген. Именно поэтому их стараются назначить только после проведения остальной диагностики. Все это направлено не только на оптимизацию затрат пациентов, но и еще на то, чтобы получить наиболее полные результаты.
Если говорить о ценах, то они отличаются в зависимости от клиники, её местоположения и объема исследований. Средняя стоимость диагностики одного органа равняется примерно 5 000 рублей. Если захотите обследовать все тело, то приготовьтесь к большим расходам. Это может обойтись вам в 80 000 рублей в среднем.
Вредно ли обследование МРТ?
Данный метод диагностики считается абсолютно безвредным, ведь лучевой нагрузки он не дает совершенно. Но в первом триместре беременности даже МРТ делают только по строгим показаниям, ведь считается, что электромагнитные волны могут спровоцировать неблагополучие в состоянии плода или вызвать повышение тонуса матки.
Прочие противопоказания к проведению МРТ следующие:
- Наличие металлических имплантатов в организме, в особенности, эндопротезов, а также различных электронных устройств (кардиостимуляторов, дефибрилляторов, инсулиновых помп, стентов сосудов)
- Вес пациента более 160-200 кг (в зависимости от конкретной модели томографа)
- Клаустрофобия и психические расстройства
У детей, людей, по состоянию здоровья не способных спокойно лежать во время процедуры, возможно ее выполнение под наркозом или седацией.
Информативность методов
После посещения врача вам будет назначено обследование, которое, по мнению доктора, даст более правдивый и точный результат.
Если вы решили не дожидаться рекомендаций, то стоит знать, в каких случаях какой прибор лучше выбрать.
Если вы не знаете, что точнее – МРТ или КТ, то учтите, что магнитно-резонансная томография даст более точный и информативный результат при наличии следующих патологий:
- Опухоль мозга, инсульт и рассеянный склероз.
- Все патологии спинного мозга.
- Патологии внутричерепных нервов и структур головного мозга.
- Повреждения мышц и сухожилий.
- Опухоли мягких тканей.
Если у вас имеются серьезные нарушения жизненных функций, то стоит дополнительно проконсультироваться с врачом.
Более точную информацию компьютерный томограф даст, если имеются:
- Подозрения на внутричерепные кровоизлияния, травмы.
- Повреждения и заболевания костной ткани.
- Патологии органов дыхания.
- Атеросклеротические поражения сосудов.
- Поражения лицевого скелета, щитовидной железы.
- Отиты и синуситы.
Предоперационное исследование даст точную картину в области предстоящего хирургического вмешательства.
Если вы твердо уверены в предполагаемом диагнозе, то можете и самостоятельно выбрать метод исследования.
| Принципы работы КТ | Разница между низкопольными и высокопольными магнитами |
Когда делать КТ, а когда МРТ?
Выбор, что лучше подойдет для диагностики: МРТ или компьютерная томография, зависит от целей обследования. Использование рентгеновских лучей оправдано в следующих случаях:
- обследование головного мозга на наличие повреждений;
- диагностика сосудистых заболеваний ( , атеросклеротические изменения);
- осмотр органов, входящих в состав мочеполовой системы человека (почки, мочеточники, мочевой пузырь, уретра);
- изучение органов грудной клетки позволяет легко диагностировать туберкулез, пневмонию, прочие заболевания нижних дыхательных путей;
- диагностирование патологии в полых органах (кишечник, желчный пузырь, желудок);
- исследование зубов, костной ткани;
- нахождение повреждений суставов;
- диагностика после травм, обнаружение скрытых, но свежих кровотечений;
- обследование позвоночного столба позволяет увидеть остеопороз, сколиотические изменения, грыжи.
При помощи компьютерной томографии можно обнаружить кисты, опухолевые образования, камни. Также диагностируются анатомические особенности внутренних органов, их повреждения. Для получения более полной информации в некоторых случаях обследование проводят с использованием рентгенконтрастных веществ (см. ).
Узнайте, что такое и когда назначают обследование.
Показания к и процедура проведения обследования.
Какие мифы о для здоровья мешают вам решиться на обследование?
К магнитно-резонансной томографии прибегают в тех случаях, когда нужно детально обследовать мягкие ткани организма, суставы или сердечно-сосудистую систему:
- опухоль мягких тканей;
- обследование мышц, связок;
- обследование больных, перенесших ишемию участка головного мозга (инсульт);
- изучение мозговых оболочек, нервов.
КТ чаще всего назначают для диагностики травм внутренних органов, во время кровотечений, а также для обследования состояния внутренних органов. К МРТ прибегают тогда, кода нужно определить месторасположение опухолевого процесса в организме или провести контрольное обследование в ходе лечения для выявления различных воспалений, грыж, абсцессов.
Основные отличия методов
Несмотря на такое большое количество сходных черт, разница между КТ и МРТ все-таки имеется. Если в нескольких пунктах, то можно сказать следующее:
- Самое главное отличие этих двух методик исследования заключается в их принципе работы. МРТ использует магнитное поле, а КТ – рентгеновское излучение.
- Оба метода можно использовать для диагностирования огромного количества патологий.
- При одинаковом результате можно склониться к выбору МРТ, так как это исследование более безопасно, но стоимость его дороже.
- Каждая процедура имеет свои противопоказания, поэтому их необходимо учитывать перед тем, как сделать окончательный выбор.
Помните, ваше здоровье в ваших руках, и порой совершенно не важно, какой метод диагностики использовать, самое важное – получить точный и правдивый результат и своевременно приступить к лечению.
Метки: компьютерный, магнитныйрезонансный, томография, хорошо
Об авторе: admin4ik
« Предыдущая запись
