Атрофия мозжечка – дегенеративное и прогрессирующее со временем заболевание малого мозга. Развивается при сосудистых нарушениях, некоторых расстройствах обмена веществ, инфекциях, опухолях нервной системы. Атрофические процессы приводят к нарушению координации движений, речи, параличам.
Функции и строение мозжечка
Головной мозг человека имеет сложную структуру и состоит из нескольких отделов. Одним из них является мозжечок, который также зовется малым мозгом. Данный отдел выполняет широкий спектр функций, необходимых для поддержания работоспособности всего организма.
Основная функция описанной части мозга заключается в двигательной координации и поддержании скелетно-мышечного тонуса. За счет работы мозжечка обеспечивается возможность слаженной работы отдельных мышечных групп, что необходимо для выполнения любых повседневных движений.
Кроме этого, мозжечок принимает непосредственное участие в рефлекторной деятельности организма. Посредством нервных связей он соединен с рецепторами в разных отделах человеческого тела. В случае воздействия определенного раздражителя в мозжечок передается нервный импульс, после чего в коре мозга формируется ответная реакция.
Способность к проведению нервных сигналов является возможной благодаря наличию в мозжечке особых нервных волокон. Развитие атрофии оказывает непосредственное влияние на эти ткани, вследствие чего заболевание сопровождается различными двигательными расстройствами.
Обеспечение мозжечка кровью производится за счет трех групп артерий: передней, верхней и задней. Их функция заключается в бесперебойном питании кислородом и питательными веществами. Кроме этого, определенные компоненты в составе крови обеспечивают местный иммунитет.
Мозжечок представляет собой один из основных отделов мозга, отвечающих за двигательную координацию и множество рефлекторных движений.
Причины атрофии
В целом атрофические процессы в головном мозге, и в частности в мозжечке, могут быть спровоцированы большим количеством причин. В их число входят различные заболевания, воздействие патогенных факторов, генетическая предрасположенность.
При атрофии пораженный орган не получает необходимое количество питательных веществ и кислорода. Из-за этого развиваются необратимые процессы, связанные с прекращением нормального функционирования органа, уменьшением его размеров, общим истощением.
В число возможных причин атрофии мозжечка входят следующие:
- Менингит. При таком заболевании развивается воспалительный процесс в различных отделах головного мозга. Менингит – это инфекционное заболевание, которое, в зависимости от формы, вызвано бактериями или вирусами. Атрофия мозжечка на фоне болезни может развиться из-за длительного воздействия на сосуды, непосредственного влияния бактерий, заражения крови.
- Опухоли. Фактором риска считается наличие у пациента новообразований в области задней части черепной ямки. При росте опухоли увеличивается давление на мозжечок и расположенные в непосредственной близости мозговые отделы. Из-за этого может нарушаться приток крови к органу, что впоследствии провоцирует атрофические изменения.
- Гипертермия. Одной из причин поражения мозжечка является длительное воздействие высокой температуры. Это может быть связано с повышенной температурой тела на фоне какого-либо заболевания либо при тепловых ударах.
- Заболевания сосудов. Нередко атрофия мозжечка возникает на фоне атеросклероза сосудов мозга. Патология связана с уменьшением проходимости сосудов, истощением их стенок и снижением тонуса, вызванного очаговыми отложениями. На фоне атеросклероза развивается кислородный дефицит и ухудшается приток веществ, что, в свою очередь, вызывает атрофические изменения.
- Осложнения после инсульта. Инсульт – резкое нарушение кровообращения головного мозга, вызванное кровоизлияниями, черепными гематомами. Из-за недостатка крови в пораженных участках тканей происходит их отмирание. Атрофия мозжечка выступает в качестве последствия данного процесса.
Описанные выше заболевания оказывают непосредственное влияние на работу мозжечка, вызывая в нем необратимые изменения. Опасность атрофии любых отделов мозга заключается в том, что они состоят преимущественно из нервных тканей, которые практически не восстанавливаются даже после длительного комплексного лечения.
Атрофию мозжечка могут спровоцировать такие факторы:
- Постоянное употребление алкоголя.
- Заболевания эндокринной системы.
- Черепно-мозговые травмы.
- Наследственная предрасположенность.
- Хроническая интоксикация.
- Длительный прием некоторых препаратов.
Таким образом, атрофия мозжечка – состояние, связанное с острым дефицитом кислорода и питательных веществ, которое может провоцироваться заболеваниями и широким спектром вредоносных факторов.
Мозжечковая атаксия у человека. Как лечиться?
В тех случаях, когда атаксия проявляется как вторичное заболевание, лечение следует начинать с устранения основного недуга. При инфекционно-воспалительных процессах требуется антибактериальная и противовирусная терапия. Если же этиология патологии кроется в сосудистых нарушениях, потребуется нормализация кровообращения. Для этого назначают препараты из категории антикоагулянтов, тромболитики, сосудорасширяющие лекарства, ангиопротекторы.
Полностью избавиться от наследственной формы недуга не удастся. При таком типе заболевания единственной помощью будет метаболическая терапия – применение витаминов группы B, препаратов на основе гинкго билоба, ноотропов.
Обязательным пунктом в процессе лечения является массаж и лечебная физкультура. Правильно подобранный комплекс упражнений позволит нормализовать состояние мышечных тканей, восстановить тонус, скоординировать движения.
Виды атрофии мозжечка
Форма заболевания зависит от целого ряда аспектов, среди которых наиболее существенными считаются причина поражения и его локализация. Атрофические процессы могут протекать неравномерно и в большей степени выражаться в отдельных отделах мозжечка. Это также влияет и на клиническую картину патологии, ввиду чего она нередко является индивидуальной для каждого конкретного пациента.
Основные виды:
Атрофия мозжечкового червя является наиболее распространенной формой заболевания. Червь мозжечка отвечает за проведение информационных сигналов между разными мозговыми отделами и отдельными частями тела. Из-за поражения возникают вестибулярные расстройства, проявляющиеся в нарушениях равновесия, координации движений.
Диффузная атрофия. Развитие атрофических процессов в мозжечке нередко происходит параллельно с аналогичными изменениями в других мозговых отделах. Одновременный недостаток кислорода в нервных тканях мозга называется диффузной атрофией. В подавляющем числе случаев атрофия нескольких мозговых отделов возникает на фоне возрастных изменений. Наиболее распространенными проявлениями данной патологии считаются болезни Альцгеймера и Паркинсона.
Атрофические процессы мозжечковой коры. Атрофия тканей коры мозжечка, как правило, является следствием поражения других отделов органа. Патологический процесс чаще всего переходит с верхней части мозжечкового червя, увеличивая область атрофического поражения. В дальнейшем атрофия может расшириться до мозжечковых олив.
Определение формы заболевания является одним из важных критериев для подбора способа лечения. Однако достаточно часто поставить точный диагноз, даже при выполнении комплексного аппаратного обследования, оказывается невозможно.
В целом существуют различные виды атрофии мозжечка, отличительной особенностью которых является место локализации поражения и характер симптомов.
Когнитивные нарушения
Мозжечок причастен к таким аспектам речи, как подбор глаголов, восприятие временных различий между фонемами, словобразование и беглость речи, а также вербальная рабочая память. Модулируемые мозжечком исполнительные функции включают в себя переключение установок, одновременное выполнение множественных задач и внимание. Степень вовлечения мозжечка в исполнительные функции может зависеть от моторных запросов, автоматизма и скорости, требуемой для выполнения поставленной задачи.
Когнитивный дефицит после мозжечковых инсультов развивается у 35-100% пациентов. Сам дефицит имеет разнородный характер и может включать в себя нарушения управляющих функций, речи, праксиса, памяти и визуально-пространственной координации. Во многих случаях нарушения бывают умеренными, и со временем состояние пациента улучшается. Более обширные поражения сопровождаются более выраженным когнитивным дефицитом, причем дефицит при инфаркте в бассейне задней нижней мозжечковой артерии, как правило, легче когнитивной дисфункции, обусловленной инфарктом в бассейне верхней или передней нижней мозжечковой артерии. Иссечение опухолей по срединной линии задней черепной ямки у детей в 13% случаев дает синдром задней черепной ямки. Этот синдром характеризуется мутизмом, ротоглоточной диспраксией, нарушением инициации произвольных движений, глазодвигательной апраксией, невоздержанностью, эмоциональной лабильностью, а также изменениями личности ребенка с манифестацией аутизмоподобного синдрома. Несмотря на то что состояние большинства детей улучшается, у некоторых из них дефицит разрешается не полностью. Иссечение опухолей правого полушария мозжечка может привести к нарушению речи и слуховой последовательной памяти, а удаление опухолей левого полушария мозжечка – к нарушению визуальной последовательной памяти. В целом дефект управляющих функций при поражениях мозжечка выражен сильнее, чем дефицит памяти. Важно отметить, что исполнительная дисфункция при дегенеративных поражениях мозжечка может присутствовать даже у пациентов с нормальными результатами общей оценки интеллекта и исследования когнитивных функций у постели больного.
Клиническая картина
Характер симптомов при атрофии мозжечка проявляется по-разному. Признаки болезни часто отличаются интенсивностью, выраженностью, что напрямую зависит от формы и причины патологии, индивидуальных физиологических и возрастных особенностей больного, возможных сопутствующих нарушений.
Для атрофии мозжечка характерные следующие симптомы:
- Двигательные нарушения. Мозжечок является одним из органов, обеспечивающих нормальную двигательную активность человека. Из-за атрофии возникают симптомы, проявляющиеся как при движении, так и в состоянии покоя. К ним относятся утрата равновесия, ухудшение двигательной координации, синдром пьяной походки, ухудшение моторики рук.
- Офтальмоплегия. Данное патологическое состояние связано с поражением нервных тканей, отвечающих за проведение сигналов в глазные мышцы. Такое нарушение, как правило, имеет временный характер.
- Снижение мыслительной активности. Нарушение проходимости нервных импульсов, вызванное атрофией отделов мозжечка, влияет на работу всего мозга. Из-за патологического процесса у больного ухудшается память, способность к логическому и аналитическому мышлению. Также наблюдаются речевые расстройства – сбивчивость или заторможенность речи.
- Нарушения рефлекторной деятельности. Из-за поражения мозжечка у многих пациентов проявляется арефлексия. При таком нарушении у больного может отсутствовать реакция на какой-либо раздражитель, который при отсутствии патологии вызывает рефлекс. Развитие арефлексии связано с нарушением сигнальной проходимости в нервных тканях, вследствие чего ранее сформированная рефлекторная цепь разбивается.
Описанные выше симптомы и проявления атрофии мозжечка считаются наиболее распространенными. Однако в некоторых случаях поражение мозгового отдела может практически не проявляться.
Клиническая картина иногда дополняется следующими проявлениями:
- Тошнота и регулярная рвота.
- Головные боли.
- Непроизвольное мочеиспускание.
- Дрожь в конечностях, глазных веках.
- Нечленораздельная речь.
- Повышенное внутричерепное давление.
Таким образом, у больного атрофией мозжечка могут возникать различные симптомы, характер которых зависит от формы и стадии болезни.
Симптоматика
Для патологии характерен выраженный полиморфизм клинических признаков и отсутствие патогномоничных (специфических, однозначных) симптомов. Часто проявления заболевания схожи с признаками симптоматических форм (развиваются вследствие первичных патологий) церебеллярной атрофии. В 29% случаев симптоматика идентична проявлениям мультисистемной атрофии. Симптомы атрофии мозжечка:
- Боль в области головы, головокружение.
- Тошнота, сопровождающаяся приступами рвоты.
- Атаксия (нарушение согласованности при сокращении группы мышц), шаткость походки, неустойчивость в вертикальном положении тела.
- Расстройство мелкой моторики.
- Скандированная, замедленная речь.
- Зрительная дисфункция, чаще нистагм.
- Ухудшение когнитивных способностей.
Часто наблюдаются признаки: пирамидный синдром (сочетание центральных парезов и параличей с повышением тонуса мышц и усилением сухожильных рефлексов), бульбарные расстройства, нарушение чувствительности. Прогрессирование патологии приводит к нарушению работы тазовых органов (недержание мочи), развитию деменции и хорея (хореический гиперкинез), который проявляется беспорядочными, нерегулярными, отрывистыми движениями.
Начальная стадия заболевания чаще проявляется нетвердостью, неустойчивостью походки. Первичные симптомы слабо выражены. Патология обычно медленно прогрессирует. До момента значительного расстройства двигательной координации может пройти несколько лет. Позже двигательных нарушений возникают расстройство речи и постуральный тремор (дрожание конечностей при выполнении произвольных движений). У пациентов в позе Ромберга (стоя, стопы сдвинуты вместе, прямые руки вытянуты вперед) наблюдается неустойчивость.
Типично расширение опорной базы (широко расставленные ноги) при ходьбе, затруднение движения на поворотах, ослабление коленных рефлексов. Для заболевания свойственно позднее начало (40-70 лет). В дифференциальной диагностике кортикальной мозжечковой атрофии и оливо-понто-церебеллярной формы большое значение имеет наличие специфического симптома – расстройства чувствительности, не характерного для ОПЦА.
У ребенка младенческого возраста чаще диагностируется врожденная гипоплазия (недоразвитие) мозжечка, которая ассоциируется с генными мутациями. Патология проявляется нистагмом и глазодвигательными нарушениями, дизартрией, умственной отсталостью, гидроцефальным и пирамидным синдромом. Возможно параллельное развитие атрофии зрительных нервов и глухота.
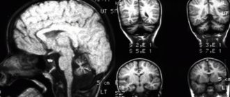
Исследование в формате КТ и МРТ считается наиболее информативным. В ходе нейровизуализации выявляется изменение структурного строения ткани – углубление и расширение борозд, увеличение объема субарахноидального пространства, размеров большой цистерны, расположенной в зоне затылка.
Способы диагностики
Для выявления атрофии мозжечка используется множество методов и средств. Помимо непосредственного подтверждения наличия атрофических процессов, целью диагностики является определение формы заболевания, обнаружение сопутствующих патологий, возможных осложнений, прогнозирование касательно способов терапии.
Для осуществления диагностических процедур пациенту необходимо обратиться за помощью врача невропатолога. Посетить медицинское учреждение нужно при возникновении любых проявлений атрофии, так как своевременно оказанная помощь значительно снижает вероятность серьезных последствий для здоровья больного.
Основные диагностические методы:
- Осмотр и опрос пациента является первичным способом диагностики, который направлен на определение жалоб, признаков болезни. В ходе обследования невропатолог производит проверку нервных реакций больного, отмечает возможные двигательные и речевые нарушения и другие симптомы. Помимо этого, осуществляется изучение анамнеза – истории заболеваний, которые могли выступать в качестве провоцирующего фактора атрофии.
- МРТ считается наиболее достоверным диагностическим методом, так как позволяет выявить даже незначительные атрофические изменения. С помощью этого способа определяются точная локализация, область поражения мозжечка, а также возможные сопутствующие изменения в других отделах головного мозга.
- Компьютерная томография также является весьма достоверным способом диагностики, позволяющим подтвердить диагноз и получить дополнительные сведения о характере болезни. Обычно назначается в случаях, когда МРТ по каким-либо причинам противопоказано.
- Обследование ультразвуком. Данный метод применяется для диагностики обширных поражений головного мозга, вызванных инсультом, травмами, возрастными изменениями. Ультразвуковое исследование позволяет выявить области атрофии и, аналогично с другими аппаратными методами, определить стадию болезни.
Диагностика мозжечковой атрофии осуществляется с применением различных аппаратных и неаппаратных методов при появлении ранних признаков заболевания.
К какому врачу обратиться
При появлении малейших признаков патологии следует срочно посетить невропатолога, только своевременное лечение позволит избежать серьезных осложнений, необратимых последствий, существенно ухудшающих качество жизни.
Диагностика и комплексная терапия на ранней стадии патологии обеспечит улучшение кровообращения, устраняет гипоксию нервных тканей. Это остановит атрофический процесс. Своевременная медицинская помощь снизит риск осложнений, патологических изменений в других областях ГМ.
Нейроны, подвергающиеся атрофии, невозможно восстановить.
Терапия
К сожалению, специальных методов, направленных на устранение атрофии мозжечка, не существует. Это связано с тем, что медикаментозные, физиотерапевтические или хирургические способы терапии не способны восстановить нервные ткани, пострадавшие из-за нарушений кровообращения и кислородного голодания. Терапевтические меры сводятся к устранению патологических проявлений, снижению негативных последствий для других отделов мозга и всего организма, предотвращению осложнений.
При тщательной диагностике устанавливается причина заболевания. Ее устранение позволяет добиться положительных изменений в состоянии пациента, особенно если лечение началось на ранней стадии.
Для устранения симптомов могут использоваться следующие препараты:
- «Терален».
- «Алимемазин».
- «Левомепромазин».
- «Тиоридазин».
- «Сонапакс».
Действие таких средств направлено на устранение психотических расстройств, вызванных патологическим процессам мозжечка. В частности, лекарства применяют при маниакально-депрессивных состояниях, неврозах, панических приступах, повышенной тревожности, проблемах со сном.
В зависимости от медикамента, прием может осуществляться перорально (при применении таблеток), внутривенно и внутримышечно (в случае использования соответствующих растворов). Оптимальный способ приема, дозировка и длительность терапевтического курса назначаются невропатологом индивидуально, в соответствии с поставленным диагнозом.
В период терапии крайне важно обеспечить больному тщательный уход. Из-за этого многие специалисты рекомендуют осуществлять начальные этапы лечения в домашних условиях. При этом категорически запрещено самостоятельное лечение и применение нетрадиционных народных методов, так как они могут нанести еще больший вред.
Больному следует регулярно проходить повторные обследования и осмотры у невропатолога. Основная цель вторичной диагностики заключается в контроле эффективности лечения, предоставлении рекомендаций пациенту, коррекции дозировок препаратов.
Таким образом, мозжечковая атрофия не поддается непосредственному терапевтическому воздействию, ввиду чего лечение имеет симптоматический характер.
Несомненно, атрофия мозжечка представляет собой весьма серьезное патологическое состояние, сопровождаемое ухудшением функций и отмиранием тканей данного отдела мозга. Из-за отсутствия специальных методов лечения и высокой вероятности осложнений следует обращать внимание на любые потенциальные признаки болезни и своевременно посещать невропатолога.
Лечение патологии
Как мы упоминали, основной метод лечения — хирургический. Это радикальное иссечение образования. Но если оно произрастает в четвертый желудочек, сложные анатомические структуры, то это затрудняет удаление опухоли мозжечка. Тогда для восстановления нормальной ликвороциркуляции вырезается максимально возможный объем патогенной ткани.
Операции на опухоль мозжечка — это также частичная резекция отверстия затылочных костей, первого шейного позвонка. Данные манипуляции помогают снизить давление образования на мозговой ствол.
Для уменьшения гидроцефалии, при ее резком развитии также показаны шунтирующие мероприятия, вентрикулярное наружное дренирование, пункция мозговых желудочков.
После удаления опухоли ее материю отправляют на гистологический анализ для определения злокачественности, стадии развития.
Дополнительно больному прописывается химио- и лучевая терапия, прием седативных, противорвотных, обезболивающих препаратов.
