Всем известно, что головной мозг человека — это главный орган не только нервной системы, но и всего организма. Это координатор и регулятор всех процессов жизнедеятельности, он отвечает за наши инстинкты, восприятие внешнего мира и поведение. Головной мозг — очень сложно и тонко организованная структура, малейшие изменения могут приводить к необратимым изменениям. Поэтому крайне опасны любые повреждения этого органа! К одним из наиболее неблагоприятных состояний относится сдавление (компрессия).
Причины
Учитывая тот факт, что сдавление головного мозга является серьёзной патологией, потребуется знать причины её появления. В некоторых случаях человек имеет возможность не допустить данное состояние. Достаточно знать, из-за чего оно может появиться, чтобы можно было на этот процесс повлиять.
Чаще всего причиной сдавления становится образование гематомы в голове. Их всего четыре вида: внутрижелудочковый, субдуральный, эпидуральный, внутримозговой. Спровоцировать гематому может как травма головы, так и разрыв сосуда.
Причиной также может стать перелом черепа, части костей, которые происходят при травме. Поврежденные области могут сдавливать мозг и провоцировать негативные симптомы. Еще может быть разрыв субарахноидальных цистерн, также возникает накопление воздуха в голове по причине того, что произошла травма. Иногда могут к патологии привести такие заболевания, как аденома или глиома.
Существует ещё целый ряд причин, которые приводят к сдавлению мозга человека. Это может быть геморрагический инсульт, абсцесс внутри головы, гидроцефалия. Нередко нарушение возникает при кистах и опухолях головного мозга, которые при росте оказывают давящее воздействие на мозговые ткани.
Людям рекомендуется лечить своевременно различные патологии, а также проходить диагностику. Тогда можно будет предотвратить сдавление головного мозга, либо своевременно принять меры по его устранению.
Диагностика болезни Сдавление головного мозга
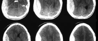
Эпидуральная гематома на компьютерной томограмме имеет вид двояковыпуклой, реже плосковыпуклой зоны повышенной плотности, примыкающей к своду черепа. Гематома имеет ограниченный характер и, как правило, локализуется в пределах одной-двух долей. При венозных источниках кровотечения она может распространяться на значительном протяжении и иметь серповидную форму.
Для субдуральной гематомы на компьютерной томограмме чаще характерно наличие серповидной зоны измененной плотности плосковыпуклой, двояковыпуклой или неправильной формы. Часто субдуральные гематомы распространяются на все полушарие или большую его часть. Внутримозговые гематомы имеют вид круглых или вытянутых зон гомогенного интенсивного повышения плотности с четкими границами. Гематомы формируются как вследствие прямого повреждения сосуда, так и при ангионекрозе в очаге размозжения мозга. Внутрижелудочковые гематомы выявляются зоной интенсивного гомогенного повышения плотности, по своей топике и форме соответствующей тому или иному желудочку мозга.
Внутричерепные кровоизлияния у пострадавших с выраженной анемией могут иметь плотность, одинаковую с плотностью мозга. Для сгустков крови характерна более высокая, чем для жидкой крови, плотность. Они четче дифференцируются от окружающих тканей. Внутричерепные гематомы, содержащие свежую несвернувшуюся кровь, на компьютерной томограмме могут иметь одинаковую с мозгом или даже пониженную плотность, на фоне которой при эпидуральной гематоме может выявляться оттеснение твердой мозговой оболочки.
По мере последующего разжижения содержимого гематом, деградации фибрина в сгустках крови, распада ее пигментов происходит постепенное снижение плотности гематомы, затрудняющее диагностику кровоизлияний, особенно в тех случаях, когда коэффициент абсорбции измененной крови и окружающего мозгового вещества становятся одинаковыми. Затем следует фаза пониженной плотности, в период которой коэффициент абсорбции излившейся крови приближается к плотности цереброспинальной жидкости.
Симптомы
Симптомы сдавления головного мозга могут быть разные, потому как многое зависит от индивидуальных особенностей пациента, а также от тяжести состояния. Признаки способны проявляться сразу после травмы, также они могут возникнуть спустя время.
Например, существует светлый период после ЧМТ, когда пациент ощущает себя значительно лучше. Он может в среднем длиться от получаса до нескольких часов, но после него возникают неприятные симптомы сдавления головного мозга.
Характерные проявления: нарушается сознание, появляется боли в голове, рвота и тошнота, медленный пульс, температура повышается, эпилепсия, не получается двигать глазными яблоками, происходит повышение АД, кружится голова.
Симптоматика может зависеть от причины сдавления, местонахождения образования и его размера, а также от скорости роста. Если у человека возникла патология после травмы головы, то может происходить «светлый промежуток».
В такой момент у больного может не наблюдаться нарушение сознания, но при этом ткани мозга поражены. Если сдавление происходит при субдуральной гематоме, то «светлый промежуток» длиться от пяти до семи дней, а потом только возникают неприятные симптомы.
Гематомы внутримозговые бывают редко и, как правило, они не достигают больших объемов. Они могут возникать, если произошел ушиб головы. В этом случае симптомы будут острые, причём они сразу появятся. Внутрижелудочковые гематомы в большинстве случаев не проявляются самостоятельно. Они могут образовываться на фоне внутримозговых нарушений, как только произошла травма головы.
После того, как прошел «светлый промежуток» у пациента чаще всего начинается рвота, и состояние идет в худшую сторону. Могут быть такие симптомы, как: бред, галлюцинации, нарушается сон, а также очень сильная боль в головном мозге.
После всего этого начинается заторможенность, апатия, вялость. Нарушается также сознание, и больной может впасть в кому. Проявляются сбои в сердечной и дыхательной системе, а также в сосудах.
Если возникают негативные проявления, указывающие на сдавление головного мозга, тогда нужно незамедлительно обратиться к врачу. Не следует откладывать визит в больницу на потом, потому как подобное может привести к необратимым последствиям.
Человек может даже обрести инвалидность, либо патология приведёт к летальному исходу. При сдавлении головного мозга нужно своевременно выполнить диагностику и начать терапию.
Диагноз
Диагноз устанавливают на основании данных анамнеза, клин, картины, а также результатов, полученных с помощью инструментальных исследований. При ультразвуковом исследовании мозга (см. Эхоэнцефалография) отмечают смещение срединного эхо-сигнала в здоровую сторону, отсутствие пульсации эхо-сигналов. На ЭЭГ часто можно видеть локальное снижение биоэлектрической активности соответственно патол. очагу и ее дезорганизацию вплоть до плоской кривой при выраженной декомпенсации. Ангиографическая картина указывает как на локализацию и вид патол. процесса, так и на наличие ангиоспазма, признаков гидроцефалии и дислокации мозга (смещения основных стволов мозговых артерий). При хрон. процессе с помощью рентгенографии черепа можно выявить признаки внутричерепной гипертензии, выраженные пальцевидные вдавления, расширенное турецкое седло. Компьютерная томография (см. Томография компьютерная) в большинстве случаев дает точную информацию как о характере и локализации патол. очага, так и о состоянии желудочков мозга и явлениях его дислокации.
Исследование цереброспинальной жидкости не дает точных данных о наличии внутричерепной гематомы; жидкость может быть как бесцветной, так и окрашенной кровью, ликворное давление бывает повышенным, реже нормальным или пониженным. Следует отметить опасность спинномозговой пункции (см.) для диагностики С. г. м., вызванного внутричерепной гематомой, особенно в фазе окклюзии ликворо-проводящих путей, поскольку снижение ликворного давления в под-паутинном пространстве спинного мозга после пункции может привести к возникновению или нарастанию симптомов вклинения мозга.
Диагностика и лечение
Чтобы провести диагностику сдавления головы, используется КТ и МРТ. Заболевание приводит к тому, что жизнь человека находится под угрозой. По этой причине важно незамедлительно провести обследование, чтобы подтвердить наличие нарушения.
Не всегда можно сразу понять, почему произошло сдавление головного мозга, а также насколько сильно оно проявляется. Поэтому нужно в первую очередь необходимо пройти осмотр у врача и предоставить информацию о полученной травме.
Если больной без сознания, то доктор уточняет у близких людей, как это произошло. Для подтверждения болезни необходимо пройти исследования.
МРТ выявляет точное место ушиба и разные нарушения головном мозге. Исследование показывает, какая тяжесть у травмы, и в каком состоянии черепная коробка. Данное обследование считается информативным и при этом безопасным, поэтому его обязательно проводят для пациентов.
Единственный минус заключается в том, что для получения точных результатов придётся потратить от 30 минут до 1,5 часов. Если пациент находится в неадекватном состоянии, тогда от процедуры придётся отказаться, либо задуматься о применении наркоза.
помогает определить, где расположено повреждение. Также находит смещение в голове и отечность. Назначают пройти краниографию, это рентген без контрастного вещества.
Существует и другие методы диагностики, которые выявляют сдавление головного мозга и его причину. Находит и определяет смещение в черепной коробке такой метод исследования, как эхоэнцефалография.
В дополнение человеку могут назначить общий анализ крови, а также осмотр у окулиста и у некоторых других врачей. Всё будет зависеть от состояния пациента, а также от того, на какие симптомы он жалуется.
Самое главное, не запускать патологию, потому как при сдавлении головного мозга нарушается функционирование органа. Чем раньше будет выявлено и устранено заболевание, тем больше шансов на удачный исход.
Инструментальные методы диагностики
Инструментальные методы диагностики должны быть ограничены только самыми экстренными и необходимыми исследованиями. К примеру, свою информативность доказали эхоэнцефалография и люмбальная пункция. Первая может обнаружить масс-эффект со смещением серединного М-эхо, вторая выявит, что повышено ликворное давление, а в цереброспинальной жидкости имеется кровь. Но в настоящее время доступны методы нейровизуализации, поэтому необходимости в подобных исследованиях больше нет. МРТ или КТ головного мозга назначаются пациенту в зависимости от показаний, а иногда проводят оба этих исследования. Спиральную КТ мозга подключают в экстренных ситуациях, что позволяет сократить время диагностики.
Внутричерепное образование, его расположение, вид и размер, оценить дислокацию церебральных структур и диагностировать отек мозга помогает КТ. При помощи перфузионной КТ выявляется церебральная перфузия и кровоток, вторичная ишемия. Участки мозговой ишемии, очаги ушиба и дислокацию мозговых тканей определяют на МРТ головного мозга, которая более чувствительна. Диффузионно-взвешенную МРТ применяют для исследования состояния проводящих путей мозга и установления степени их компрессии.
Первая помощь
Если происходит сдавление головного мозга, может потребоваться оказать человеку первую помощь. Иногда негативные симптомы проявляются сразу, поэтому важно сделать всё для того, чтобы состояние больного не усугубилось.
Как уже говорилось, нередко патология возникает из-за черепно-мозговой травмы. В этой ситуации необходимо будет принять меры ещё до приезда скорой помощи.
Что делать:
- Если пострадавший находится без сознания, либо не может встать, его лучше не трогать. Исключение составляет та ситуация, когда он находится в небезопасном месте. Тогда его следует перенести туда, где ему ничего не будет угрожать.
- Теперь потребуется вызвать скорую помощь, кратко описав ситуацию.
- При сдавлении головного мозга необходимо будет аккуратно положить человека на спину. Когда больной находится без сознания, его голову нужно повернуть немного набок. Это нужно для того, чтобы он не захлебнулся своими рвотными массами.
- По возможности следует приложить к голове что-то холодное.
- Если отсутствует дыхание или сердцебиение, потребуется провести реанимационные мероприятия. Важно правильно уметь делать массаж сердца, а также искусственное дыхание. Возможно, придётся поспрашивать у окружающих людей, имеют ли они подобные навыки.
- Нужно следить за дыханием до тех пор, пока едет скорая помощь. Когда имеется рана, полезно будет наложить на неё асептическую повязку.
- Для того, чтобы перенести пострадавшего человека, обычно используются жесткие носилки.
Как только приедет скорая помощь, врачи смогут сделать вывод по поводу состояния пациента. При сдавлении мозга требуется отправиться в больницу, потому как важно будет сразу пройти диагностику и начать лечение.
Классификация
Сдавление (компрессия) мозга возникает из-за уменьшения размеров внутричерепных полостей из-за их заполнения объемными образованиями. Данный вид патологии условно подразделяют на две формы сдавления:
- ненарастающее;
- нарастающее.
К ненарастающимотносят варианты, когда на мозг оказывают давление костные отломки, образовавшиеся при вдавленном переломе костных структур черепа. Также в этой категории рассматриваются ситуации, если компрессия мозга вызвана давлением иных инородных объектов. Ненарастающее сдавление отличается от иного варианта тем, что сама по себе неестественная структура в мозге не имеет тенденцию к увеличению объемов – ее размер остается статичным. Необходимо помнить, что все ненарастающие образования могут принять нарастающий характер из-за присоединившихся иных церебральных аномалий, вызвав существенное сжатие мозга и смещение его структур. Таким вторичным патологическим механизмом являются характерное образование отека (избыточного накопления жидкости), что вызывает увеличение объема мозга и подъем давления внутри черепа.
К нарастающимотносят все виды гематом во внутричерепном пространстве (образования в веществе или вокруг мозга). Патологические полости жидкой или сгустившийся крови образуются при открытых или закрытых ЧМТ. Гематомы дифференцируют на основании их расположения на виды:
- эпидуральные;
- субдуральные;
- внутримозговые.
Субдуральные гематомы диагностируются, если скопление крови локализировано на узком участке между твердой и паутинной оболочками мозга. Острые субдуральные гематомы – частое следствие травм головы, вызванных падением с высоты или ДТП.
Хронические субдуральные гематомы обнаруживаются через несколько недель после инцидента и симптоматически проявляться постепенно. Такие виды патологических образований чаще возникают у лиц, злоупотребляющих алкоголем, пожилых пациентов, больных, принимающих антиагреганты или антикоагулянтные препараты. Следует отметить, что многие люди, которым была диагностирована хроническая субдуральная гематома, обнаруживаемые симптомы никак не связывают с имевшей место травмой в неотдаленном прошлом.
Эпидуральные гематомы – это скопление крови в цилиндрическом замкнутом пространстве между костными структурами и твердой оболочкой мозга. Они диагностируются значительно реже, чем образованияв субдуральной области. Массивные и быстро увеличивающиеся в размерах эпидуральные гематомы являются следствием артериального кровотечения, возникающего, если пострадали ветви средней менингеальной артерии. Небольшие венозные эпидуральные гематомы не несут угрозы преждевременной смерти.
Внутримозговые гематомы представляют собой скопления крови внутри самого мозга. В травматических условиях они возникают в результате слияния контузий, которые возникают при внезапном непрямом воздействии на тело.В большинстве случаев не удается точно определить, когда один или несколько контузионных очагов становятся гематомой. Впоследствии у пострадавшего часто фиксируется значительный подъем внутричерепного давления.
Терапия
Как уже говорилось, лечение проходят пациенты в больнице, так как сдавление мозга — опасное заболевание. Устранять причины врачи могут лекарственными препаратами, в редких случаях требуется оперативное вмешательство. При операции происходит удаление образований, гематом и отломков костей в голове.
Как только больной чувствует себя лучше, то назначают гемостатическое и дегидратационное лечение. Также пациент употребляет антибактериальные средства, если имеются гнойные поражения. Крайне важно следить за работой сердца, а также не допускать отёка головного мозга.
Нередко требуется принимать ноотропы и нейропротекторы для того, чтобы можно было восстановить повреждённые мозговые ткани и вернуть их функции. В дополнение человеку назначают успокоительные средства, а также медикаменты против судорог. Всё будет зависить от того, в каком состоянии находится пациент.
Когда осуществляется терапия, врач тщательно следит за внутричерепным давлением и за дыханием пациента. Если не помогает медикаментозное лечение, то проводят хирургическое вмешательство. Используют его в том случае, если яркие симптомы либо эпидуральная гематома превышает полтора сантиметра.
Если произошло, так, что появилась острая гематома, то проводят удаление лишней крови и останавливают кровотечение в головном мозге.
Только нейрохирург сможет точно сказать, потребуется ли оперативное вмешательство. Если можно обойтись без него, тогда оно не осуществляется, потому как может нести угрозу для жизни. В любом случае при сдавлении головного мозга не обойтись без профессиональной помощи.
Прогнозы
При сдавлении головного мозга сложно однозначно сказать, какие именно последствия ждут человека. Всё будет зависеть от того, насколько серьёзная травма, потому как чем хуже состояние, тем выше вероятность летального исхода.
При использовании современных способов лечения есть больше шансов спасти пациента. Но при этом всё-таки выжившие люди в большинстве случаев становятся инвалидами.
Даже после правильной терапии может появиться ряд осложнений. Возможна эпилепсия, серьёзные нарушения речевого аппарата, проблемы с двигательной функцией. Нередко нарушается психика, человек получает различные расстройства, которые сказываются на качестве жизни. По этой причине потом может потребоваться побеседовать с психотерапевтом.
Следует понимать, что сдавление мозга является опасным для жизни и здоровья человека. Если же не осуществлять лечебные меры, тогда практически не будет шансов на успешный исход. В лучшем случае человек получит тяжёлую степень инвалидности, а в худшем наступит летальный исход. Чем раньше произойдёт обращение к врачу, тем будет лучше для пациента. Рекомендуется после любых черепно-мозговых травм провериться в больнице, потому как симптомы не сразу появляются. Профилактика осложнений – лучший способ сохранить своё здоровье в хорошем состоянии.
Дыхание
Есть еще характерные признаки сдавления головного мозга. Ритм дыхания расстраивается. Тахипноэ (учащение) достигает шестидесяти вдохов в минуту, вдох и выдох сопровождаются шумом, возникает дыхание Чейна—Стокса. ЧСС снижается, брадикардия фиксируется на уровне сорока ударов в минуту и ниже, скорость кровотока падает, что ведет к артериальной гипертензии. Все это сопровождается застойной пневмонией, отеком легких. У больного прослушиваются влажные хрипы. Кожные покровы конечностей и лица становятся цианотичными. Температура тела повышается до 41 градуса. Присутствуют менингеальные симптомы. Терминальная стадия характеризуется тахикардией, артериальной гипотонией. Пульс нитевидный, есть эпизоды апноэ (дыхание происходит с задержками), продолжительность которых растет. Ушиб и сдавление головного мозга проявляются и другими признаками.
