Современной медицине очень важно бороться с патологиями головного мозга у новорожденных, эта задача чрезвычайно актуальна, поскольку, несмотря на значительное снижение детской смертности во многих, даже развивающихся странах, такая проблема еще существует. Только появление новых методик лечения и профилактики неврологических заболеваний может помочь малышам чувствовать себя более безопасно.
Одним из серьезных поражений структур головного мозга является аноксическая патология головного мозга, присущая в особой степени новорожденным деткам. Аноксическое поражение головного мозга носит исключительно гипоксический характер, вследствие чего нарушается вентиляция, кровообращение, дыхание, тканевый обмен.
Гипоксия – это кислородное голодание головного мозга из-за недостаточности крови и питательных веществ. Даже короткое и не слишком продолжительное по времени кислородное голодание может вызвать нарушение каких-либо процессов в головном мозге. А, учитывая тот факт, что все органы новорожденного малыша еще находятся только на стадии формирования и являются очень хрупкими, непопадание питательных веществ в мозг, замедление кровотока реально может поспособствовать возникновению других серьезных патологий.
Медицина выявила один важный, но ужасный факт – без кислорода и питательных веществ клетки и ткани мозга начинают постепенно отмирать уже после 4 минут.
Что такое органическое поражение мозга?
Органическое поражение головного мозга – целый комплекс заболеваний. К таким относятся следующие болезни:
- ишемический инсульт – нарушение мозгового кровообращения с повреждением ткани мозга в результате образования «бляшек» в сосудах, которые затрудняют поступление питательных веществ и кислорода к мозгу;
- геморрагический инсульт – разрыв сосудов головного мозга, появление гематом;
- сосудистая деменция — расстройство ЦНС (может быть с инсультом или без), появляется в результате сбоев в кровоснабжении мозга;
- дисциркуляторная энцефалопатия – возникновение мелких опухолей в результате недостатка кислорода;
- хроническая ишемическая болезнь — развивается после гипертонии или других заболеваний кровеносной системы;
- резидуально-органическое поражение ЦНС — остаточное явление после родовых травм, со временем симптомы исчезают, но для детей в младенчестве это заболевание очень опасно;
- раннее органическое поражение – процесс отмирания клеток мозга.
Это неполный список заболеваний, которые относятся к ОПМ. Окончательный диагноз ставится врачом-неврологом. Характерные признаки:
- головные боли;
- тошнота;
- рвота;
- гипертония или гипотония;
- проблемы со зрением;
- эпилептические припадки;
- повышенное внутричерепное давление;
- судороги;
- обмороки.
Методы лечения
Методы лечения аноксии и состояний, опасных для жизни, включают восстановление интенсивного притока достаточно оксигенированной крови к отделам мозга. С этой целью устанавливают причину отсутствия притока кислорода и проводят соответствующие мероприятия:
- Удаление инородных тел из дыхательных путей.
- Выведение пациента из опасной зоны распространения углекислого газа или поражения электрическим током.
- Прекращение удушения (ослабление и удаление с шеи деталей одежды – галстука, ворота рубашки, или иных предметов, препятствующих кровотоку).
При необходимости проводится искусственное (при помощи аппаратов) поддержание газообмена и сердечной деятельности. Коррекция кислородной недостаточности легкой формы осуществляется при помощи препаратов антигипоксантов и антиоксидантов.
Антигипоксанты (Амтизол, Бемитил, Мексидол) облегчают реакции организма, который переживает эпизод кислородного голодания, ускоряют процесс восстановления клеток после перенесенной гипоксии. Лечение кислородного голодания у младенцев и взрослых пациентов направлено на устранение причин патологического состояния, проводится с учетом первичной патологии, которая спровоцировала нарушение оксигенации.
Аноксическое поражение тканей мозга связано с недостатком кислорода. Нарушение оксигенации может быть обусловлено разными причинами. Лечение проводится с учетом этиологических факторов и симптомов.
Аноксическое поражение головного мозга – это серьезные повреждения в структурах органа. Патология развивается у детей грудного возраста. Нарушения имеют гипоксический характер. При заболевании наблюдаются нарушения в дыхании, кровообращения и тканевом обмене.
Постановка диагноза
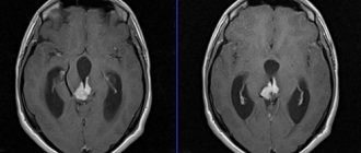
Диагностика при органических очаговых болезнях мозга важна как на самых ранних этапах, так и на более поздних при уже назначенном лечении. Раннее выявление заболевания позволит предпринять меры и назначить препараты, которые смогут остановить его прогрессирование или даже пустить в обратный ход. Важнейшие этапы диагностики:
Очаги органического поражения мозга показаны стрелками
Анамнез позволяет определить продолжительность болезни, ее течение, связь с наследственностью. Неврологический осмотр является обязательным для выявления причин. Томография определяет атрофические очаги, которые и вызывают симптомы.
Диагностика аноксического повреждения мозга
Доктор спрашивает о симптомах и истории болезни, а также выполняет физический осмотр. Возможно, придется обратиться к врачу, который специализируется на проблемах мозга.
Анализы, которые позволяют узнать степень повреждения, и определить часть головного мозга, которая была повреждена:
- Компьютерная томография головы – рентгеновское обследование, в котором используется компьютер, чтобы сделать детальные изображения головного мозга;
- МРТ – тест, который использует магнитные волны, чтобы сделать снимки структур внутри головы;
- Электроэнцефалограмма (ЭЭГ) – тест, который измеряет электрическую активность различных участков мозга;
- ОФЭКТ сканирование – тип компьютерной томографии, которая исследует кровоток и обмен веществ в области мозга;
- Тесты, используемые для оценки зрительного, слухового и сенсорного восприятий.
Диагностика
Чтобы поставить правильный диагноз, обнаружить болезнь головного мозга или нарушения, вызванные черепно-мозговой травмой, проводят комплексную диагностику.
Ультразвуковая допплерография
Методика основана на комплексном использовании ультразвукового анализа и допплерографии. Диагностическое мероприятие абсолютно безопасно, информативно, и позволяет определить уровень движения кровотока, выявить участки с сужением в сосудистых просветах, атеросклеротическими образованиями, аневризмами.
Единственным недостатком ультразвуковой допплерографии выступает труднодоступность. Не в каждой поликлинике и частном кабинете имеется аппарат для диагностики. Среди преимуществ – минимальное количество противопоказаний, к которым относят неспособность нахождения в лежачей позе.
Реоэнцефалография
Принцип действия имеет сходства с электроэнцефалографией. Методика позволяет оценить уровень кровообращения в сосудах головного мозга, исследовать сосудистый тонус. Специальная подготовка к анализу не нужна. Методика безопасная и не имеет противопоказаний к проведению.
Магнитно-резонансная и компьютерная томография
Магнитно-резонансная томография помогает изучить мелкие структуры органа, оценить состояние сосудов, мозгового вещества. Эффективна методика для подтверждения микроинсульта и тромбоза.
Компьютерная томография назначается для выявления воспалительных процессов в головном веществе и оболочках, повышенного внутричерепного давления, кистозных и опухолевидных новообразований, рассеянного склероза.
Допплерография
Изучить гемодинамику, скорость кровотока, функциональность и наполненность сосудов кровью позволяет допплерография. Транскраниальный метод предполагает использование цифрового исследования, с глубиной проникновения лучей до 9 см.
Дуплексное сканирование сосудов назначают для изучения тонуса сосудов, просвета и структуры, выявления деформаций, тромбообразований, атеросклеротических изменений.
Иные методы
Эхоэнцефалография или ультразвуковой анализ головного мозга проводится с помощью специального аппарата – осциллографа. Метод используется для оценки состояния сосудов, активности органа в целом или отдельных его участков.
Нейросонография проводится для обнаружения патологических состояний у новорожденных и детей раннего возраста. Изучают мозговое вещество, мягкие ткани, сосуды. С помощью нейросонографии можно обнаружить опухоли, аневризмы, иные новообразования.
Краниография – рентген-диагностика, которая позволяет изучить особенности строения черепа, выявить изменения после травмы головы и при развитии мозговой патологии. В большинстве случаев краниографию проводят с использованием контрастного вещества, которое вводят в мозговой желудочек.
Электронейромиография – исследование, позволяющее оценить уровень проходимости нервных импульсов в определенном участке органа.
Позитронно-эмиссионная томография способствует изучению функциональной активности головного мозга. Таким методом удается выявить небольшие опухолевидные новообразования, которые не вызывают выраженную симптоматику.
Диагностика данной патологии мозга
Диагностика аноксического поражения головного мозга у детей предполагает прежде всего проведение магнитно-резонансной и компьютерной томографии. Также может понадобиться электроэнцефалография. По результатам всех этих процедур врач может установить верный диагноз и спрогнозировать дальнейшее протекание недуга.
Лечение, как правило, включает в себя два последовательных этапа. Во-первых, это удаление первопричин заболевания наряду с восстановлением организма. На этом этапе необходимо разобраться с тем, что именно послужило причинами аноксии, чтобы устранить ее. А непосредственно на втором этапе требуется прием витаминов наряду с дыхательными тренировками и приемом сосудистых препаратов в целях восстановления работы сердца и сосудов в том числе.
Возможные исходы
Все возможные последствия и исходы делятся на три пункта:
- Выздоровление. Это возможно, если отсутствуют какие-либо видимые дефекты, а глубина поражения небольшая.
- Нетрудоспособность. Пациент жив, но в большей или меньшей степени теряет способность работать и заботиться о себе.
- Инвалидность. Без посторонней помощи человек не сможет выжить.
- Летальный исход.
Любые последствия зависят от массивности поражения, месторасположения патологического процесса, возраста, этиологического фактора и правильности лечения.
Лечение
Метод терапии повреждения головного мозга зависит от его вида, степени патологических изменений, тяжести общего состояния. Как правило, лечение черепно-мозговой травмы и заболевания органа отличается.
Черепно-мозговая травма
Сразу после получения черепно-мозговой травмы важно оказать правильную первую помощь, что поможет облегчить состояние и улучшить прогноз.
Если отсутствует дыхание и пульс, проводят искусственное дыхание и массаж сердца. Если таковые не изменены, пострадавшего необходимо уложить на бок, что позволяет избежать нарушения дыхательной функции при рвоте.
Если имеется закрытая травма, к месту повреждения прикладывают холодовой компресс для уменьшения боли и отека. При кровотечении из раны на коже ее закрывают марлевым отрезком, после перевязывая голову.
Не рекомендуется до приезда скорой помощи самостоятельно извлекать выступившие из раны костные обломки, иные элементы, ведь в таком случае кровотечение только усилится. К тому же, можно занести инфекцию.
Для коррекции посттравматических нарушений назначают:
- нейропсихологическое лечение, позволяющее восстановить память, внимание, эмоциональный настрой;
- прием медикаментов для нормализации кровотока в головном мозге;
- проведение логопедических сеансов для восстановления речи;
- психотерапевтическое лечение для коррекции эмоционального фона;
- диету с включением в рацион продуктов, нормализующих работу мозга.
Рекомендуется начать восстановительную терапию не позже 3-4 недель со времени получения травмы. Народное лечение в таких случаях не эффективно.
Поражение иной этиологии
Если поражение головного мозга вызвано инфекционным воздействием, назначают прием антибактериальных препаратов, которые чувствительны к возбудителю. Например, при вирусных заболеваниях используют противовирусные средства, при бактериальных – антибактериальные. В комплексе назначают иммуномодуляторы для повышения защитной функции организма.
Если возник геморрагический инсульт, хирургическим путем удаляют гематому. При ишемической форме патологии показано применение противоотечных, ноотропных, антикоагулянтных препаратов.
Психические нарушения корректируют медикаментами (ноотропами, транквилизаторами, антидепрессантами) и немедикаментозными (психотерапией и т.д.) методиками. В большинстве случаев таковые сочетают.
Стоит отметить, что у больных ОЗГМ часто снижается память, поэтому они забывают принимать назначенные врачом лекарства. По этой причине данная ответственность ложится на плечи родственников: им нужно ежедневно следить за выполнением врачебных рекомендаций.
Варианты лечения патологии
Аноксическое поражение головного мозга лечат несколькими способами. Если патологический процесс развивается в острой форме, то срочно нужно обезопасить ребенка от факторов, вызвавших аноксию. Для этого может понадобиться:
- санация дыхательных путей;
- устранение инородных предметов;
- прекращение странгуляции;
- предотвратить воздействие электрического тока.
Также необходимо провести терапевтические методики для поддержки кровообращения и газообмена на оптимальном уровне. Если необходимо, то больного подключают к специальным аппаратам, лишь бы не допустить развития патологических изменений в головном мозге.
Если дыхание сохранилось, то пострадавшего направляют в стационарные условия, притом обеспечив ингаляции кислорода. Если дыхание остановилось, больного инкубируют.
Следующим шагом лечения является нормализация процесса кровообращения, восстановление функций сердца. Чтобы восстановить работу головного мозга, дальнейшее лечение осуществляют с помощью:
Также проводится симптоматическая терапия, целью которой является устранение выраженных проявлений аноксии. Если у больного наблюдаются головные боли, то ему рекомендуют анальгетики. При наличии эпилептических приступов состояние облегчают с помощью антиконвульсантов.
После того как процесс кровообращения в мозге полностью восстановится, назначают физиотерапевтические процедуры, массажи, специальные упражнения, психологическую коррекцию.
Недостаточное поступление кислорода в организм может привести к развитию различных патологических процессов в организме. Аноксию считают одной из центральных проблем в медицине. Наиболее чувствительны к подобному процессу клетки мозга. Возможно, со временем удастся обнаружить методы, которые позволят снизить глубину аноксических поражений центральной нервной системы. Восстановительный период может растянуться на месяцы, и даже годы. В некоторых случаях полностью устранить повреждения не удается.
1. Этиология и патогенез 2. Классификация 3. Клиника 4. Диагностика 5. Методы борьбы с аноксией
Проблемы лечения ребенка с неврологической патологией являются крайне актуальными в наше время. Это связано и с общим падением рождаемости, и с увеличением количества неблагоприятных факторов, провоцирующих поражение нервной системы, и с учащением случаев рождения нездоровых, физиологически незрелых детей.
Крайне часто непосредственными причинами поражения головного мозга служат гипоксически-ишемические процессы в результате недостаточного снабжения нервной ткани кислородом. В МКБ-10 диагноз шифруется в нескольких разделах. Наиболее близкими по патофизиологии являются коды P21.9 (неонатальная аноксия) и G 93.1 (аноксическое поражение головного мозга, не классифицированное в других рубриках).
Аноксическое поражение нервной системы у детей обусловлено отсутствием адекватного кислородоснабжения нейронов. В подобных условиях клетка быстро изменяет свои функциональные свойства и не способна полноценно работать. В последующем нарушается и морфология нейронов. Дефицит кислорода приводит к клеточному некрозу и/или апоптозу и формирует очаги ишемии в веществе головного мозга. Симптомы аноксии головного мозга могут быть крайне тяжелыми и заканчиваться смертельными исходами.
Нейроны начинают отмирать уже после 4 минут острой аноксии. В условиях гипотермии это время удлиняется до 20-30 минут, при высоких температурах снижается до 120 секунд.
Симптоматика
Далеко не все индивиды знают, что такое органическое поражение. Конкретных симптомов у органического поражения мозга нет из-за сложного генеза, они проявляются индивидуально.
Общие изменения: пониженная активность, невозможность концентрировать внимание длительное время, апатия, неряшливость.
Пожилые люди могут забывать имена родственников, день недели, число, нарушается речь. Если нарушение прогрессирует, то больной забывает слова, не может поддержать диалог. Эмоциональное состояние имеет 2 вида: отсутствие каких-либо эмоций или неадекватное, агрессивное поведение. Бывают галлюцинационные приступы.
Симптомы в зависимости от тяжести
У детей резидуально-органические повреждения трудно увидеть невооруженным глазом, но опытный невролог, уже на первом осмотре малыша сможет определить, внешние признаки болезни.
Зачастую это бывает непроизвольное дрожание подбородка и ручек, беспокойной состояние младенца, синдром тонусных нарушений (отсутствие напряжений в мышцах скелета).
А, если поражение тяжелого характера, то оно может проявляться неврологическими симптомами:
- паралич любой конечности;
- нарушение движений глаз;
- рефлекторные сбои;
- потеря зрения.
В некоторых случаях симптоматику можно заметить только пройдя определенные диагностические процедуры. Такая особенность называется немым протеканием болезни.
Общие симптомы резидуально-органического поражения центральной нервной системы:
- безосновательное утомление;
- раздражительность;
- агрессия;
- психическая неустойчивость;
- переменчивое настроение;
- снижение интеллектуальных способностей;
- постоянное душевное волнение;
- заторможенность действий;
- ярко выраженная рассеянность.
Кроме этого, больному свойственны симптомы психического инфантилизма, мозговой дисфункции и нарушения личности. При прогрессировании заболевания, комплекс симптомов может пополняться новыми патологиями, что при отсутствии лечения может привести к инвалидности, а в худшем случае – летальному исходу.
Органическое поражение центральной нервной системы: причины, диагностика и лечение
Всю нервную систему человека можно разделить на центральную и периферическую.
К центральной нервной системе относят спинной и головной мозг. Спинной мозг расположен в позвоночном столбе и представлен в виде тяжа, который начинается от затылочного отверстия и заканчивается в поясничной области. Головной мозг располагается внутри черепа. Органическое поражение центральной нервной системы означает, что головной мозг человека неполноценен. Врачи утверждают, что первую стадию этого заболевания можно обнаружить у 99% людей. Эта стадия не имеет признаков и не нуждается в лечении. Однако 2 стадия – это более тяжелый вид поражения, а вот 3 стадия – тяжелое заболевание с серьезными отклонениями.
Поражение головного мозга может быть врожденным и приобретенным. Врожденные патологии развиваются в случае, если во время беременности женщина:
- употребляла алкоголь, наркотики или курила
- болела гриппом, ОРВИ
- принимали некоторые лекарственные препараты, обладающие токсическим действием
- пережила сильный стресс.
Также к причинам можно отнести наследственную предрасположенность и слишком молодой возраст будущей мамы. Кроме этого органическое поражение головного мозга может возникнуть при неправильном ведении родов и родовой травме.
Приобретенное поражение центральной нервной системы возникает после:
- инсульта
- черепно-мозговых травм
- употребления алкоголя и наркотиков
- инфекционных заболеваний (менингит, менингоэнцефалит)
Кроме этого поражение может возникнуть на фоне аутоиммунных заболеваний и опухолевых процессов в головном мозге.
Симптомы поражения центральной нервной системы:
- быстрая утомляемость
- недержание мочи в дневное время суток
- нарушение координации
- снижение зрения и слуха
- нарушение сна
- быстрая отвлекаемость
- сниженный иммунитет
Детей, с органическим поражение центральной нервной системы, называют умственно отсталыми. У них нарушено нормальное психическое развитие, заторможено активное восприятие, речь, логическое мышление и произвольная память. Для таких детей характерно либо повышенная возбудимость, либо инертность. У них возникают трудности в формировании интересов и общении со сверстниками.
Кроме этого страдает и физическое развитие ребенка. Такие дети имеют неправильную форму черепа, у них нарушена общая и мелкая моторика, возникают трудности в формировании двигательных автоматизмов.
Болезни центральной нервной системы, вызванные органическим поражением мозга:
Олигофрения – заболевание, которое характеризуется задержкой в умственном развитии. Такие дети имеют сниженный интеллект, у них отстает речь, моторика, эмоции. Болезнь чаще врожденная или развивается на первом году жизни. Эти люди способны самостоятельно ухаживать за собой.
Центральная нервная система человека состоит из нейронов и их отростков, когда эти нейроны начинают разрушаться, возникает деменция. Деменция – заболевание, при котором происходит утрата навыков и знаний и невозможность получения новых.
Болезнь носит приобретенный характер и возникает, как симптом многих заболеваний:
- болезнь Альцгеймера – самая частая причина деменции (55 – 60% случаев)
- сосудистая
- алкоголизм
- опухоли головного мозга
- черепно-мозговая травма
Выделяют 3 степени тяжести деменции. При 1 степени больной способен к самообслуживанию, но социальная деятельность уже нарушена. При 2 степени больной требует надзора за собой. При 3 степени больной не понимает, что ему говорят и сам ни чего не говорит. Не способен к самообслуживанию. Нуждается в постоянном контроле.
Характерные клинические проявления
Симптомы поражения головного мозга зависят от того, в какой области органа произошли изменения.
Лобная доля
Если в патологию вовлечена кора лобной доли, нарушается моторная функция, что выражается в развитии следующих симптомов:
- шаткой походки, неустойчивости туловища во время ходьбы;
- мышечной ригидности, трудностей при осуществлении пассивных движений конечностей;
- паралича одной или обеих конечностей на одной стороне туловища;
- паралича головного отдела и двигательной функции глаз;
- нарушения речевой функции, что выражается в трудности с подбором слов во время разговора, а также синонимов, падежей, порядка звуков;
- тонических или клонических судорог пальцев конечностей;
- больших эпилептических или тонико-клонических припадков;
- односторонней потери обоняния.
Возникает и расстройство психики, что характеризуется расторможенностью, беспричинной яростью, безразличием, апатией.
Теменная доля
Если поражена кора теменной доли, возникают нарушения в восприятии и чувствительности, включая:
- тактильную чувствительность;
- потерю способности чтения, письма, счета;
- потерю способности нахождения определенного места и занятия его.
Человек утрачивает способность распознавать знакомые предметы ощупыванием с закрытыми глазами.
Височная доля
При поражении коры височной доли нарушается слуховое восприятие, возникают галлюцинации и судорожный синдром. Кроме того, можно наблюдать следующие симптомы:
- снижение слуховой функции с возникновением полной или частичной глухоты;
- проявление шума в ушах;
- утрата способности понимания языка или музыки;
- кратковременная или долговременная утрата памяти;
- чувство дежавю;
- деменция.
Для поражения височной доли характерно возникновение височной эпилепсии.
Затылочная доля
Повреждение затылочного отдела вызывает нарушение работы зрительного анализатора, что проявляется в:
- полной потере зрительной функции;
- выпадении восприятия одной из половин зрительного поля;
- неспособности распознавать знакомые лица, предмет, цвет.
Могут возникать зрительные иллюзии, когда знакомый объект кажется меньшим или большим по размеру, чем он есть на самом деле.
Мозжечок и ствол
В таком случае патология головного мозга вызывает нарушение координации движений:
- атаксию – шаткость походки, осуществление неуклюжих движений туловищем;
- невозможность координации мелкой моторики в виде тремора;
- невозможность выполнения быстрых повторяющихся движений конечностями, глазами.
При поражении ствола возникают очаговые сенсорные и моторные нарушения.
Содержание
Определение и общие сведения [ править ]
Отсроченная постаноксическая энцефалопатия
Синонимы: синдром отсроченной постгипоксической энцефалопатии
Этиология и патогенез [ править ]
При успешном проведении СЛР (сердечно-лёгочной реанимации) удается восстановить сердечную, иногда одновременно и дыхательную функции (первичное оживление) по меньшей мере у половины пострадавших, однако в дальнейшем сохранение жизни у пациентов наблюдается значительно реже (P. Safar, 1984). Причиной тому служит постреанимационная болезнь (название предложено корифеем русской реаниматологии В. А. Неговским в 1959 г.).
Исход оживления во многом предопределяют условия кровоснабжения мозга в раннем постреанимационном периоде. В первые 15 мин кровоток может превышать исходный в 2-3 раза, через 3-4 ч происходит его падение на 30-50 % в сочетании с возрастанием сосудистого сопротивления в 4 раза. Повторное ухудшение мозгового кровообращения может наступить спустя 2-4 дня или 2-3 нед после СЛР на фоне почти полного восстановления функции ЦНС – синдром отсроченной постгипоксической энцефалопатии
.
Клинические проявления [ править ]
Постгипоксическая энцефалопатия (синдром Лэнца-Эдамса) характеризуется интенционными и акционными миоклониями, иногда в сочетании с дизартрией, тремором и атаксией. В выраженных случаях больной освобождается от миоклонуса только в положении полного расслабления лежа, любые попытки движения приводят к «взрыву» генерализованных миоклоний, лишающих всякой возможности самостоятельного передвижения и самообслуживания.
Аноксическое поражение головного мозга, не классифицированное в других рубриках: Диагностика [ править ]
Дифференциальный диагноз [ править ]
Аноксическое поражение головного мозга, не классифицированное в других рубриках: Лечение [ править ]
Препаратом выбора является клоназепам, причем хороший эффект от данного препарата считают одним из подтверждений диагноза.
Anoxic Brain Damage (Anoxic Brain Injury; Hypoxic Brain Injury)
Механизм повреждения
Одной из всех «не состыковок» болезни является тот факт, что нарушение такого типа относится к невропатологии, но его симптоматика может относиться к другим ответвлениям медицины.
Из-за внешнего фактора у матери появляются сбои при формировании фенотипа клеток, которые отвечают за полноценность перечня функций центральной нервной системы. Вследствие этого появляется задержка развития плода. Именно такой процесс может становиться последним звеном на пути к нарушениям ЦНС.
Касательно спинного мозга (так он тоже входит в ЦНС), соответствующие поражения могут появиться в результате неправильного акушерского пособия или при неаккуратных поворотах головки при выведении ребенка.
Место патологии в МКБ
Каждый случай любого заболевания как функционального расстройства, так и состояния, опасного для жизни, должен быть представлен медицинской статистике, и зашифрован, получив код МКБ – 10 (международной классификации болезней).
А центральная нервная система также может страдать, при этом могут быть твердо установлены поражающие факторы, известен патогенез нарушения, признаки и существует окончательный отдельный диагноз. Поэтому, даже только на основании официальной классификации болезней, можно сделать вывод и создать определение, чем является эта загадочная патология.
Энцефалопатия при отравлении бензином
При сильном отравлении поражается периферическая нервная система (свинцовые полиневриты, параличи).
Для бензиновой интоксикации характерны органические поражения головного мозга. Клинически они проявляются в виде судорожных припадков и повышенной возбудимости. Выявляется задержка психомоторного развития, поражение печени и почек. Сон становится беспокойным, с кошмарными сновидениями. При усилении интоксикации возможны приступы нарколепсии, эпизоды мышечной слабости.
Подобная симптоматика отмечается также при отравлении толуолом и пятновыводителями.
Симптомы аноксического повреждения мозга
Восстановление после аноксического повреждения головного мозга может сопровождаться проблемами и может занять много времени. Шансы на восстановление зависит от того, сколько времени пострадавший был подвергнут отсутствию или низкому обеспечению кислородом. Тяжелое повреждение может привести к коме или вегетативному состоянию. После умеренного аноксического повреждения головного мозга может возникнуть:
- Головная боль;
- Путаница;
- Пониженная концентрация и продолжительность концентрации внимания;
- Колебание настроения и/или изменение психического состояния;
- Неустойчивая потеря сознания;
- Приступы;
- Болезнь Паркинсона, в виде синдрома;
- Патологические подергивания мышц.
Алкогольная энцефалопатия
Токсическая энцефалопатия при алкоголизме является наиболее часто встречающейся формой болезни. Хотя согласно последней международной классификации алкогольную энцефалопатию выделили в самостоятельную болезнь, многие медики по инерции по-прежнему относят её к токсической энцефалопатии.
Развивается хроническая алкогольная энцефалопатия вследствие длительного отравления организма этиловым или метиловым спиртом. В среднем появление первых признаков болезни начинается после трёх лет систематического употребления алкоголя (ежедневные возлияния или длительные запои).
Этиловый и метиловый спирт разрушают клетки головного мозга, нервные связи при этом необратимо утрачиваются. Кроме того, алкогольная интоксикация обуславливает множественные мелкоочаговые кровоизлияния и разрывы капилляров, что приводит к деградации структур головного мозга. Течение болезни осложняется ещё и тем фактом, что большинство пациентов не готовы признать свою зависимость и прекратить поступление яда в организм.
кошмарные сновидения
При отравлении суррогатами алкоголя развивается острое течение болезни. Всего выделяют четыре формы алкогольной токсической энцефалопатии.
- Синдром Гайе-Вернике.
- Алкогольный псевдопаралич.
- Корсаковский психоз.
- Острая митигированная форма болезни.
Отличительными симптомами энцефалопатии при алкоголизме являются:
- нарушение координации, тики, дрожание рук и губ;
- галлюцинации;
- физическая агрессивность.
Профилактика аноксического повреждения мозга
Чтобы снизить риск повреждения головного мозга, необходимо:
- Тщательно пережевывать пищу;
- Учиться плавать;
- Контролировать маленьких детей возде воды;
- Держаться подальше от высоковольтных электрических источников (в том числе предохраняться от удара молнии);
- Избегать химических токсинов и приема наркотиков;
- Проверять приборы для сжигания газа и устройства, вырабатывающие окись углерода, а также установить детекторы угарного газа.
Марганцевая энцефалопатия
Марганец поражает подкорковые центры головного мозга (полосатое тело). Отравление этим металлом характеризуется такими симптомами:
- вялость, сонливость;
- снижение мышечного тонуса;
- тупые боли в руках и ногах;
- нарушения интеллекта (ослабление памяти, потеря способности к письму);
- снижение эмоционального фона.
В тяжёлых случаях отмечаются расширение глазных щелей, гримаса улыбки, неестественный смех или плач, дрожание языка.
Причины аноксического повреждения мозга
Аноксическое повреждение головного мозга может произойти в следующих случаях:
- Насыщенная кислородом кровь не может достичь головного мозга (например, когда тромб предотвращает приток крови к мозгу, или когда кровяное давление слишком низкое, например, во время шока или острой сердечной недостаточности);
- Кровь, которая достигает мозга, не содержит достаточного количества кислорода (например, при заболеваниях легких кровь недостаточно обогащается кислородом);
- Воздействие ядов или других токсинов, которые уменьшают содержание кислорода в крови (например, отравление угарным газом).
Ртутная токсическая энцефалопатия
потливость
Отравление ртутью сопровождается следующими симптомами:
- боли в животе (при поступлении яда через рот) и в области груди;
- голубая кайма на дёснах;
- потливость;
- учащённое сердцебиение;
- сильная слабость;
- бессонница;
Отмечается специфическое дрожание конечностей, которое носит название «ртутный тремор». Психическое состояние больного противоречиво, при эмоциональном подъёме и возбуждении возникают затруднения в принятии самых простых решений.
Этиология и патогенез
Выделяют целый ряд неблагоприятных факторов, которые способны привести к развитию аноксического поражения нервной системы. Даже минимальные отклонения существенно нарушают работу головного мозга в силу того, что они воздействуют на незрелую нервную ткань. В последующем это может проявиться неврологическим дефицитом, замедлением темпов формирования церебральных зон и центров и задержкой общего развития. Длительная аноксия приводит к летальному исходу или формированию вегетативного состояния.
В качестве первопричин аноксии могут выступать острый тромбоз, удушье, странгуляция, утопление, удар электрического тока, остановка сердца, интоксикация алкоголем или наркотиками, нейроинфекции, а также другие факторы, препятствующие поступлению кислорода в мозг. Отдельно выделяют аноксические поражения нервной системы перинатального периода. Этому способствует:
- патологическое течение беременности (соматические заболевания матери, гестозы, угроза прерывания беременности, симптомы качественного и количественного голодания, интоксикации, общая незрелость беременной женщины и т.д);
- интранатальные (возникшие в родах) повреждающие факторы. Сюда включаются симптомы преждевременной отслойки, предлежания плаценты, обвитие пуповины вокруг шеи плода, узлы пуповины, преждевременные и запоздалые, стремительные и затяжные роды, слабость родовой деятельности;
- постнатальные (послеродовые) нарушения. К ним относятся аспирация мекония, повторные апноэ, пороки сердечно-сосудистой системы, сепсис, гемолитическая болезнь новорожденных.
Все вышеперечисленные провокаторы становятся причиной развития очагов ишемии. Параллельно в качестве компенсаторной реакции повышается проницаемость церебральных сосудов. С одной стороны это снижает церебральную перфузию и усугубляет ишемию, с другой – служит одним из механизмов развития гипоксически-геморрагических поражений. За счет него через измененную сосудистую стенку начинается процесс диапедезного пропитывания эритроцитов. Кроме того, в условиях кислородного голодания утилизация глюкозы идет по анаэробному пути с образованием лактата. При перинатальной аноксии ацидные соединения раздражают пищеварительный и дыхательный центр ствола мозга. В родах это провоцирует преждевременный выход мекония и его аспирация в дыхательные пути ребенка, что способствует еще большей гипоксии.
Морфологически наблюдаются отклонения в виде:
- отёка мозга (фокального или мультифокального);
- ишемических очагов поражения мозговой ткани, базальных ганглиев, таламуса, мозжечка;
- кортикальных и субкортикальных мелкоочаговых некрозов;
- перивентрикулярной лейкомаляции.
Классификация
В зависимости от преимущественного морфологического результата развития нарушений аноксическая патология может проявиться в форме церебральной ишемии, внутричерепных кровоизлияний, имеющих гипоксический генез, и сочетанных нетравматических ишемически-геморрагических поражений центральной нервной системы.
Механизм развития аноксии позволяет классифицировать ее на следующие виды:
- аноксическую, формирующуюся в результате прекращения поступления кислорода через дыхательные пути;
- анемическую, возникающую как следствие массивной кровопотери, сосудистого спазма, тромбоза;
- застойную, являющуюся следствием дисциркуляции мозгового кровообращения;
- обменную – проявление нарушения метаболических процессов.
Кроме того, выделяют острую аноксию, которая развивается внезапно и хроническую форму патологии при постепенном нарастании дефицита кислорода (гипоксию).
Длительность снижения кислородопоступления определяет градацию аноксии на легкую (кислородное голодание до 80 секунд), умеренную (до 120 секунд) и тяжелую (до 240 секунд) формы. Подобное разделение достаточно условно, так как выраженность аноксических проявлений будет зависеть от температуры окружающей среды, возраста пациента и состояния самого организма.
Клиника
Симптомы клинической картины преимущественно определяются причиной возникновения аноксии и длительностью ее воздействия. Острая аноксия проявляется утратой сознания, которое может сопровождаться судорожными пароксизмами. В последствие наблюдается глубокая амнезия. Тяжелая и умеренная формы аноксии провоцируют стойкие неврологические расстройства:
- Параличи и парезы;
- Нарушения чувствительности;
- Когнитивные нарушения;
- Вестибуло-мозжечковый синдром;
- Эпилептические припадки.
Грубые аноксические поражения способны привести к декортикационному синдрому – функциональному отключению коры больших полушарий, и развитию вегетативного состояния.
Аноксическое поражение головного мозга у новорожденных детей
Современной медицине очень важно бороться с патологиями головного мозга у новорожденных, эта задача чрезвычайно актуальна, поскольку, несмотря на значительное снижение детской смертности во многих, даже развивающихся странах, такая проблема еще существует. Только появление новых методик лечения и профилактики неврологических заболеваний может помочь малышам чувствовать себя более безопасно.
Одним из серьезных поражений структур головного мозга является аноксическая патология головного мозга, присущая в особой степени новорожденным деткам. Аноксическое поражение головного мозга носит исключительно гипоксический характер, вследствие чего нарушается вентиляция, кровообращение, дыхание, тканевый обмен.
Гипоксия – это кислородное голодание головного мозга из-за недостаточности крови и питательных веществ. Даже короткое и не слишком продолжительное по времени кислородное голодание может вызвать нарушение каких-либо процессов в головном мозге. А, учитывая тот факт, что все органы новорожденного малыша еще находятся только на стадии формирования и являются очень хрупкими, непопадание питательных веществ в мозг, замедление кровотока реально может поспособствовать возникновению других серьезных патологий.
Медицина выявила один важный, но ужасный факт – без кислорода и питательных веществ клетки и ткани мозга начинают постепенно отмирать уже после 4 минут.
Анатомическая картина
К сожалению, медицина до сих пор не выявила точный механизм возникновения аноксического поражения клеток и тканей. Однако анатомически картина патологии довольна проста: нервные ткани перестают получать кислород в достаточных для них количестве, происходит гипоксически-ишемический процесс, который даже в течение короткого промежутка времени губителен для структур головного мозга.
Иными словами, каждый нейрон недополучает в процессе кровоснабжения нормальное количество кислорода. Нейроны у ребенка еще не так развиты, как у взрослых, соответственно, и взаимосвязь нейронов и головного мозга пока только находится на стадии формирования, она очень слаба. При недостаточном снабжении клетки она перестает нормально функционировать, изменяется внутренне, морфологически. Соответственно, аноксию можно назвать морфологическим дегенеративным процессом, который оказывает на здоровые ткани чрезвычайно пагубное влияние.
Симптомы длительной аноксии и гипоксии очень тяжело переносятся малышом и нередко заканчиваются летальным исходом.
Причины
Единой первопричины аноксического поражения врачи, к несчастью, до сих пор не выявили. Однако существует масса провоцирующих факторов, которые могут предшествовать такому страшному явлению.
Эти факторы препятствуют нормальному кровоснабжению и поступлению достаточного количества кислорода в мозг малыша:
- остановка сердца;
- удушье или утопление;
- интоксикация химическими веществами, иногда оказывает влияние даже грязная экология. Дети очень чувственны к чистоте окружающей среды;
- различные вирусы и нейроинфекции;
- удар и поражение электрическим током;
- хирургическая операция на сердце или на головном мозге;
- кома или клиническая смерть;
- длительная артериальная гипотония (снижение артериального давления).
Так или иначе, все эти факторы влияют напрямую на торможение кровообращения, а, значит, вызывают постепенный некроз тканей.
Однако есть еще и некоторые факторы, которые могут повлиять на возникновение аноксии еще на стадии беременности женщины:
- интоксикация химическими наркотическими отравляющими веществами женщины;
- слишком молодой возраст будущей мамы, ее общая незрелость;
- угрозы прерывания беременности;
- обвитие пуповины вокруг шеи плода, вызывающее удушье;
- вредные привычки мамы – алкоголь, курение;
- преждевременные или запоздавшие роды;
- внутриутробные вирусы и инфекции.
Так что будущим мамам нужно очень внимательно относиться к своему здоровью и образу жизни, ведь в их утробе уже находится ребенок, настолько хрупкий, что требует постоянной заботы.
Симптомы
Аноксическое поражение у новорожденного младенца проходит очень тяжело – даже кратковременная гипоксия может вызвать приступы удушья, судороги, внутренний некроз. К общим симптомам и признакам аноксии относятся:
- эпилептические припадки и судороги;
- непроизвольное дрожание конечностей;
- нарушение чувствительности;
- нарушение работы органов слуха и зрения;
- светобоязнь и повышенная светочувствительность;
- параличи и парезы конечностей;
- приступы удушья, нарушения дыхания;
- нарушения сердечного ритма;
- головные боли.
Диагностика и лечение аноксии
Диагностика аноксического поражения включает в себя процедуры МРТ или КТ, а также электроэнцефалографию. По их результатам врач может поставить верный диагноз и спрогнозировать течение недуга.
Лечение включает в себя два этапа: удаление первопричины заболевания и восстановление организма. На первом этапе нужно разобраться с тем, что послужило причиной аноксии, и уничтожить ее.
Второй этап включает в себя прием витаминов, тренировки с дыханием, прием сосудистых препаратов для восстановления работы сосудов и сердца.
Видео
umozg.ru
Причины возникновения и симптомы ОПМ у детей
В зависимости от причины возникновения, поражения головного мозга могут быть приобретенными или врожденными.
Можно выделить следующие причины приобретенной формы:
- травмы черепа – ушиб, сотрясение, перелом и т.п.;
- заболевания сердечно-сосудистой системы – атеросклероз, инсульт;
- нарушение кровоснабжения мозга;
- инфекционные заболевания: менингит, энцефалит;
- отравление алкоголем или психотропными веществами;
- болезнь Паркинсона или Альцгеймера;
- опухоли;
- васкулит — это заболевание, симптомом которого являются иммунопатологические воспаления сосудов (артерий, капилляров и вен).
Причинами врожденных ОПМ являются:
- отслоение плаценты раньше срока;
- инфекционные заболевания в период беременности;
- беременная мать принимала наркотики, запрещенные лекарственные препараты, курила или пила алкогольные напитки;
- недостаток кислорода у плода;
- тяжелые роды;
- слабые мышцы матки;
- генетические заболевания.
Причины болезни
Причины развития патологии не до конца установлены. Существуют провоцирующие факторы, которые приводят к заболеванию. При влиянии этих факторов наблюдается нарушение кровообращения и поступление крови в мозг в недостаточном количестве.
Патология появляется у пациентов развивается на фоне остановки сердца. Причиной появления болезни является удушье. У новорожденных заболевание появляется после утопления.
Если организм ребенка подвергается воздействию токсических веществ, то это приводит к отравлению. Негативное воздействие на организм ребенка имеет загрязненная окружающая среда. Аноксическое поражение головного мозга появляется при нейроинфекциях и разнообразных поражениях вирусного характера. При поражении разрядом электротока диагностируют развитие болезни.
Если у ребенка диагностировалась клиническая смерть или кома, то это приводит к развитию патологии. Пониженное артериальное давление на протяжение длительного промежутка времени приводит к патологии.
Аноксический тип заболевания возникает на фоне разнообразных провоцирующих факторов, которые поражают головной мозг.
Как лечить?
Лечение заболеваний головного мозга всегда было сложным, так как требуется комбинация разных методов для восстановления нормальной структуры тканей. Терапии поддаются не непосредственные изменения, а симптомы ОПМ или первичное заболевание.
Такие современные технологии, которые доступны человечеству на данный момент, все равно не смогут полностью вылечить ОПМ. Именно поэтому назначенное лечение будет пожизненным.
Медикаментозная терапия
Главный способ лечения – медикаментозный. Применяются следующие лекарства:
- Церебролизин — улучшает деятельность мозга;
- Пентоксифиллин — повышает эластичность сосудов;
- Пирацетам — корректирует психологические нарушения.
Дополнительно назначаются препараты, устраняющие симптомы, например, снотворные (Фенобарбитал), транквилизаторы или антидепрессанты. Для комплексной терапии желательно пользоваться услугами психотерапевта.
Народные средства
Лечение ОПМ носит симптоматический характер, поэтому возможно применение средств народной медицины. Существует большое количество рецептов, но более действенными считаются:
- черничный сок, 200 мл ежедневно — значительно улучшает память;
- отвар коры рябины – 50 г измельченной коры на 200 г кипятка, варить несколько минут, затем настаивать 6 часов, процедить и принимать по 50 г после еды.
Лечение аноксического повреждения мозга
Лечение аноксического повреждения головного мозга зависит от причины. Первоначально могут использоваться барбитураты, чтобы замедлить мозговую активность. Стероиды и другие лекарства могут использоваться, чтобы уменьшить опухание, которое возникает при травмировании мозговой ткани. Это может помочь ограничить степень повреждения мозга. Доктор также назначает чистый кислород, чтобы обеспечить им мозг. Охлаждение мозга может использоваться, чтобы помочь ограничить повреждение головного мозга. Кроме того, гипербарическая обработка кислорода может использоваться в случаях гипоксии из-за вдыхания угарного газа.
Реабилитация
Во время реабилитации пострадавший и его семья будут работать со следующими врачами:
- Физиотерапевт – помогает восстановить двигательные навыки, такие как ходьба;
- Специалист по трудотерапии – работа по улучшению ежедневных навыков, таких как одевание и посещение туалета;
- Логопед – работа над проблемами с речью;
- Невропатолог – советы по поведению и лечение эмоциональных проблем, связанных с травмой.
Восстановление может занять несколько месяцев или даже лет. Во многих случаях полное восстановление никогда не достигается. В общем, чем раньше начинается реабилитация, тем лучше результат.
Прием лекарств
Врач может назначить прием следующих лекарственных средства:
- Противоэпилептические препараты – для лечения текущих припадков;
- Клоназепам (например, Клонопин) – для лечения мышечных судорог.
Реабилитация — все в руках матери и медиков
Реабилитационные мероприятия при данном заболевании, как и при его лечении, должен назначать лечащий врач. Они направлены на устранение сформировавшихся осложнений в соответствии с возрастом больного.
При оставшихся двигательных расстройствах, обычно назначают физические методы воздействия. В первую очередь рекомендуется делать лечебную гимнастику, основная идея которой, будет направлена на «оживление» пораженных областей. Дополнительно физиотерапия снимает отеки нервных тканей и возвращают тонус мышц.
Задержки психического развития устраняют с помощью специальных препаратов, которые обладают ноотропным эффектом. Кроме таблеток также проводят занятия с логопедом.
Для снижения активности эпилепсии используют противосудорожные средства. Дозирование и сам препарат должен выписывать лечащий врач.
Повышенное внутричерепное давление должно устраняться постоянным контролем ликворной жидкости. Назначаются аптечные препараты, которые повышают и ускоряют ее отток.
Очень важно искоренить болезнь при первых тревожных звоночках. Это даст возможность человеку в дальнейшем вести нормальный образ жизни.
Степени и симптомы заболевания
Аноксическое поражение головного мозга имеет три стадии развития, в соответствии с которыми наблюдается развитие симптоматики:
Гипоксические нарушения имеют легкое протекание. У пациентов на этой стадии заболевания повышается нервно-рефлекторная возбудимость. Диагностируется при болезни сниженный мышечный тонус. Рефлексы могут усиливаться или снижаться. Отмечается при патологии дрожь в конечностях.
По истечению недели симптоматика болезни проходит самостоятельно. Наблюдается нормализация состояния ребенка. при заболевании диагностируется отсутствие грубых неврологических нарушений.
При средней тяжести поражения наблюдается выраженная симптоматика. У ребенка угнетается сосательный и другие рефлексы. Заболевание сопровождается снижением или повышением тонуса мышц, посинением кожных покровов, увеличением внутричерепного давления. При болезни на этой стадии диагностируется возникновение вегетативных расстройств.
Патология сопровождается диареей, запорами. Такой патологический процесс сопровождается брадикардией или тахикардией. У некоторых больных при патологии останавливается дыхание. При возрастании внутричерепного давления диагностируется увеличение беспокойства у малыша. Диагностируется плохой сон, выбухание родничка, дрожание конечностей.
В некоторых случаях наблюдаются судороги. При интенсивном лечении обеспечивается улучшение состояния ребенка. устранить неврологические расстройства невозможно. При ухудшении состояния малыш впадает в кому.
При осложнении беременности наблюдается протекание тяжелых гипоксических нарушений. У женщин диагностируется возникновение отечности, повышения артериального давления, развитие болезней почек. Новорожденная девочка или мальчик имеет признаки задержки в развитии. При тяжелом родовом процессе наблюдается усугубление ситуации.
У малыша после рождения отсутствует дыхание. Диагностируется снижение тонуса и рефлексов, нарушается кровообращение. При этой форме болезни рекомендовано проведение срочной сердечно-легочной реанимации. В противном случае шансы на выживание сводятся к нулю.
Осложнения, последствия и прогноз
Согласно опыту медиков, органическое поражение ЦНС у детей может вызвать такие последствия:
- нарушения психического развития;
- дефекты речи;
- задержку речевого развития;
- отсутствие самоконтроля;
- приступы истерики;
- нарушение нормального развития ГМ;
- посттравматическое стрессовое расстройство;
- приступы эпилепсии;
- вегето-висцериальный синдром;
- невротические расстройства;
- неврастению.
У детей довольно часто такие нарушения сказываются на адаптации к условиям окружающей среды, проявлениями гиперактивности или, напротив, синдромом хронической усталости.
На сегодня диагноз «резидуально-органическое поражение ЦНС» ставится довольно часто. По этой причины медики стараются улучшить свои диагностические и лечебные способности.
Точные характеристики и особенности определенного типа поражения дают возможность просчитать дальнейшее развитие болезни и предупредить его. В лучшем случае можно вовсе снять подозрения на заболевание.
Для определения препарата необходимо обращать внимание на настроение и психологическое состояние ребенка (смех, плач). Выражение лица. Цвет лица – краснота, бледность, синюшность, сыпь. Мимика, телодвижения. Морщинки на коже. Тургор кожи, потоотделение. Язык. Как ребенок сидит, лежит. Какая реакция на молоко и вообще на пищу. Есть ли слюнотечение.
Есть младенцы, похожие на маленьких старичков – Argentum nitricum, Calcarea carbonica, Natrium muriaticum, Opium, Secale. Если у ребенка испуганное выражение лица, мы думаем о Aconitum или Stramonium. Очень сонливый младенец может нуждаться в Cannabis indica или Opium, – когда он спит явно больше, чем обычно положено по возрасту и что является ведущей его характеристикой. Такие дети никогда не просыпаются после сна до конца, никогда не кажутся бодрыми, активными. Крик и плач ребенка может дать ряд ключевых признаков. Ребенок плачет каждый раз, когда его кладут в постель.
В состоянии Borax ребенок плачет каждый раз, когда мама опускает его в постель. Если ребенок плачет, когда его берут на руки и носят, это может быть Bromium или Chamomilla. Но эти препараты подходят и при облегчении состояния от ношения на руках. Пронзительный крик во сне характерен для Borax, Lycopodium, Zincum. Если за пронзительным криком следуют судороги, могут понадобиться Cuprum, Cicuta, Lycopodium.
Если дрожание начинается из области солнечного сплетения и распространяется на все тело, это будет Cicuta. «Мозговой крик», – когда ребенок просыпается, и пронзительно кричит, и вам кажется, что у него что-то случилось с головой. От этого крика у вас идет мороз по коже. Препаратом будет Apis, особенно если крик возникает ночью, сочетается с судорогами и провоцируется купанием в горячей воде. Постоянный крик ребенка симптом боли в ушах. В этом случае необходимо применение Graphites, Psorinum, Mercurius. Отит заставляет ребенка все время кричать, визжать, и ничто не может его успокоить. Это не хныканье и не плач. Это пронзительный постоянный крик. Если ребенок хнычет, скулит, капризничает, думайте о таких гомеопатических препаратах, как Aconitum, Belladonna, Helleborus.
Поиску гомеопатических препаратов также может помочь цвет ушной раковины и запах, исходящий из уха. Выделения из правого уха наводит вас на Mercurius iodatus flavus, Lycopodium, Silica, Thuja или Nitricum acidum. Выделения из левого уха указывают на Graphit, Psorinum, Mercurius iodatus ruber. Выделения с примесью крови из уха могут указывать на Calcarea sulfurica, Mercurius, Psorinium или Silica. Но если из уха вытекает чистая кровь, то конечно надо думать о Phosphorus и Crotalus horridus.
Помните, что у Crotalus horridus имеется множество кровоизлияний в сетчатку. Любые зловонные выделения из уха указывают на Mercurius, Silica, Aurum, Lycopodium, Psorinum. Если у выделений из уха запах рыбы, то в первую очередь надо думать о Graphit., Sanicula aqua и Tellurium. Любые выделения с кислым запахом (например, пот) должны наводить вас на мысль о Sulfur. Sulfur и Calcarea carb. – хорошие л-ва для младенцев, от которых исходит кислый запах. Но основным препаратом в этом случае является Rheum.
Если у младенца тяжелое состояние: высокая температура с диареей и стул очень зловонный, надо думать о Baptisia, Arsenicum album, Mercurius, Sulfur.
Морщинки на коже у младенца. Если имеются слегка извилистые вертикальные морщинки, это указывает на наличие мозговых, менингеальных проблем. В этом случае назначают Helleborus, Stramonium, Chamomilla, Causticum, Lycopodium. Если морщинки появляются в области ушей и скул, то это говорит о патологии органов грудной клетки, глубокой и хронической. Если морщинки располагаются книзу от подбородка, они указывают на проблему с кишечником.
Если видна тонкая линия у края нижнего века, а рядом вторая, и из-за этого кажется, что веко воспалено, то это говорит о предрасположенности к истерии; у этих детей часто возникают бурные эмоциональные вспышки, и им необходимы препараты типа Natrium muriaticum, Ignatia. Это интеллигентные дети, очень взвинченные, нервные, у которых на коже лица заметна какая-то сухость, даже не сухость, а какая-то натянутость кожи, напряженность. Это лицо человека, нервы которого постоянно напряжены. Выражение лица скорее испуганное. Синюшность вокруг губ соответствует Cina. Цианоз лица на фоне патологии органов дыхания – Cuprum, Stramonium, Tabacum.
Если имеется отек вокруг глаз, в области верхнего и нижнего века, дают Apis, Calc., Arsenicum album, Kali arsenicosum. Если отек нижних и верхних век, но сильнее в области нижних век, то это патология почек, дают Apis, Kali carb., Phosphorus, Medorrhinum. Если отек только верхних век в виде свисающего мешочка с водой, то первый препарат K carb., но у грудничков вы этого не увидите. В случаях воспаления краев век дают Clematis, Graphit, Sanicula aqua. Если края век воспалены равномерно, основной препарат Euphrasia. При воспалении мейбомиевых желез, набухающих по краям век (напоминают по виду ячмени) дают Clematis, Staph. При конъюнктивите, покраснении глаз дают Apis, Arg.-n., Euphrasia, Rhus-t., S. Если один глаз очень красный и похож на кусок свежего мяса, из которого сочится кровь, дают Arg.-n. Причем глаз не отекший, но очень красный, словно живую плоть надрезали ножом. Это происходит из-за кровоточивости поверхностных капилляров склеры. Боль незначительная. Черные веки – очень темные – у детей и у взрослых, особенно страдающих расстройствами жкт, указывают на Arsen. Темные круги под глазами – Secale. Синие круги под глазами – Phosphoricum acidum, Sulphuricum acidum, Arsenicum album
Потливость в области шеи и затылочной области (подушка мокрая от пота), особенно во время сна – Calcarea carbonica, Sanicula aqua, Lachesis, Phosphoricum acidum. Обильное потение – Mercur., Na mur., Thuja, China. Младенец обильно потеет, но во время приступа (например, одышка) – все тело сухое. При затрудненном дыхании обычно потливость усиливается, но в данном случае, она, наоборот, исчезает. Большая часть пота выделяется в межприступный период. Препарат при этой картине, которая возникает в основном в связи с бронхиальной астмой у детей, – Sambucus nigra. Это л-во в данном случае для конституционального лечения.
В возрасте 7-9 лет у детей на коже могут появляться белые обесцвеченные пятна, типа витилиго, препарат Sepia. Если эти пятна с рождения и потом они трансформировались в ту или иную форму кожной патологии, то назначают Graphit, Sulfur, Psorinum.
Красный цвет лица характерен для Bell., Ferrum, Chamomilla, Apis, Puls. Истеричные дети (у ребенка эмоциональные вспышки, когда вы не знаете что случилось, чего он хочет, чем его обидели и теряетесь, не зная что делать), когда ребенок полностью выходит из-под контроля, часто нуждаются в Na mur. и Ignatia.
Ребенок плачет, когда его кладут в кровать и перестает плакать, когда его приподнимают и он находится в полусидячем положении, особенно при одышке – Arsenicum album, Calcarea carb, Lach., Spongia. Лучше в положении лежа на животе или от любого вида надавливания на живот – Bell., Coloc., Medor., Stram., Tub. Ребенок лежит, положив руки поверх головы – Puls.
Р-ции на молоко и др.продукты. Если вы видите обильное срыгивание через 10 мин. после начала кормления, это м.б. Aethusa. Ребенка рвет уже свернувшимся молоком, которое уже створожилось. Если вы видите внезапно возникшее отвращение к молоку, то это Lac defloratum, который дает ему возможность снова пить молоко (материнское или коровье).
Жестикуляция – жестикуляция в сочетании с высокой температурой характерна для Hyoscyamus. Эти дети все время жестикулируют, когда играют или что-то делают в компании. Они часто тянут руки к гениталиям. Для Petroleum и Baptisia характерны иные жесты – они теребят постельное белье.
Новое и популярное:
- Себорея у ребенка 5 лет на голове лечение
Себорея кожи у детей или детский себорейный дерматит, равно как и взрослых – дерматологическое заболевание,… - Повышены эозинофилы у грудничка Предназначение эозинофиловПрежде всего следует отметить, что эозинофилы являются одним из девяти видов лейкоцитов – клеток,…
- 8 причин психологического бесплодия В России 15 % семей не могут родить ребенка. По мнению самих акушеров, все большую…
- Лечение кашля компрессами с Димексидом Компресс с Димексидом от кашля – это физиотерапевтическая процедура, которую можно проводить в домашних условиях.…
Код ишемии головного мозга по МКБ-10
Использование Международной классификации болезней (МКБ-10) помогает врачам проще ориентироваться в большом многообразии патологии человеческого организма. Современная медицина способна определять массу диагнозов, которые невозможно запомнить или выучить. Особенно это актуально при сосудистой патологии: различных вариантов серьезных болезней, связанных с острым или хроническим нарушением кровообращения органов и систем, достаточно много. В частности, ишемия головного мозга относится к «Болезням системы кровообращения» (класс IX) и находится в разделе «Цереброваскулярные болезни». Для каждого состояния имеется код, который врач будет использовать при диагностике и лечении.
Классификация острых мозговых ишемий
Сосудистая патология головного мозга, вызванная внезапным и выраженным нарушением артериального кровотока, выделена в отдельную группу МКБ-10. Все варианты мозгового инфаркта разделены на части, каждый из которых обозначает уровень патологии сосудов:
- затруднение кровообращение произошло на уровне сосудов, находящихся вне головного мозга (прецеребральные артерии);
- нарушен церебральный кровоток;
- тромб образовался в мозговых венах.
Коды МКБ-10 от I63.0 до I63.2 обозначают инфаркт мозга, вызванный тромбозом прецеребральных артерий, I63.3 до I63.6 – закупоркой церебральных артерий и вен. Код I64.0 шифрует инсульт, при котором нет кровоизлияния в мозговые структуры.
Эта группа шифров МКБ-10 не включает осложнения и последствия, возникающие вследствие острой ишемической атаки.
Варианты кодирования хронической мозговой ишемии
Все хронические состояния, ведущие к ишемическим изменениям в мозговых структурах, шифруются в подразделе I67. Частыми причинами длительно протекающей недостаточности церебрального кровообращения являются следующие состояния:
- расслаивающая аневризма мозговых артерий (I67.0);
- церебральная аневризма без признаков разрыва (I67.1);
- атеросклеротическое поражение сосудов головного мозга (I67.2);
- энцефалопатия, вызванная сосудистыми причинами (I67.3);
- энцефалопатия, обусловленная артериальной гипертензией (I67.4);
- редко встречающаяся сосудистая патология сонных и церебральных артерий, описанная как болезнь Мойамойа (I67.5);
- воспалительное поражение вен и артерий головного мозга, приводящее к нарушению кровотока (I67.6 — I67.7);
- при сложности выявления основного причинного фактора используются коды I67.8 — I67.9, которые обозначают все неуточненные варианты болезней.
Все виды последствий острой или хронической церебральной ишемии шифруются подразделом I69.
Дополнительные коды для указания причины
Зачастую врачу необходимо не только выделить кодом основное заболевание, но и обозначить дополнительные причинные факторы, которые привели к ишемическим состояниям в голове. Для этого используются шифры из других подразделов:
- артериальная гипотония (I95);
- серьезные болезни сердца (I21, I47);
- закупорка отдельных немозговых артерий (I65);
- различные варианты церебральных кровоизлияний (I60 — I62).
Если необходимо указать осложнения, то врач может использовать кодировку других разделов. В частности, при возникновении выраженных мозговых нарушений по типу деменции, обусловленных сосудистыми причинами, можно использовать шифр F01.
Варианты использования МКБ-10
Основная цель применения МКБ-10 в практике любого врача – возможность выполнения статистического анализа, как в пределах одного лечебного учреждения, так и медициной страны и мира. Кроме этого, международная классификация позволяет всем врачам в мире использовать одинаковые диагнозы, что помогает эффективно и правильно проводить лечение.
При обнаружении острого тромбоза или хронической ишемии сосудов головного мозга врач проводит курс терапии, направленный на полное излечение пациента от патологии прецеребральных или мозговых артерий. При необходимости может быть выполнено хирургическое вмешательство. Если лечение прошло удачно, то при выписке врач укажет диагноз в виде шифра МКБ-10. Код болезни обработает статистическая служба больницы, отправив информацию в информационный медицинский центр региона. Если кроме основного диагноза будут осложнения и последствия, которые потребуют дополнительного обследования и лечения, то врач укажет кодировку этих состояний, используя шифры международной классификации.
Все ишемические состояния головного мозга можно зашифровать, используя МКБ-10. Применяя вариант Международной классификации болезней 10-го пересмотра, врач всегда будет пользоваться диагнозами, применяемыми во всем мире. Это позволит правильно оценивать не только болезнь у человека, но и проводить эффективное лечение, используя современные и высокотехнологичные методы мировой терапии.
Такая опасная патология как дисциркуляторная энцефалопатия по МКБ 10 имеет код «І 67». Данное заболевание относится к категории цереброваскулярных болезней – обобщенной группе патологических состояний головного мозга, которые формируются вследствие патологических трансформаций мозговых сосудов и расстройства нормального кровообращения.
