«Скажешь мне – и я забуду, покажешь мне – и я запомню, дашь мне
20.03.2020 506 Анатомия Автор:ProSpinu Как устроен спинной мозг человека, где находится и как он
Как и полагается качественному транквилизатору, Атаракс обладает отличным успокаивающим эффектом. При наличии симптомов тревоги,
Это лекарство относится к категории антиоксидантных препаратов. С его помощью осуществляют преимущественно терапию неврологических
Туннельный синдром запястья является профессиональным заболеванием людей, которые выполняют монотонные, однотипные движения кистью согласно
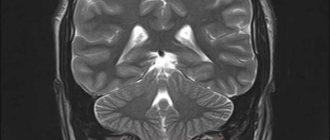
Определение Синдром Арнольда Киари I типа состоит в опущении нижней части мозжечка – миндалин
Предпосылки Биологическая основа ксенофобии В. Р. Дольник указывал на то, что у животных существует
Психиатрия Заболеванию подвержены больше 45 млн человек. Шизофрении имеет свои стадии и виды, а
Эдипов комплекс по Фрейду Это скрытое сексуальное влечение мальчика 3-6 лет к матери и
История выявления заболевания ДЦП был выявлен и изучен в начале 19-го века британским врачом
