Что делать при появлении шишки на голове вследствие удара
Незначительные травмы, вследствие которых появляются припухлости или шишки на голове у ребенка или взрослого человека, чаще всего возникают в результате игры, спорта или падения, при столкновении ткани, покрывающей череп, с твердой поверхностью. После ушиба у человека часто наблюдаются симптомы сотрясения мозга (сонливость, головокружение). Иногда возникают головные боли, усиливающиеся от движения, реже – посттравматическая амнезия. Эти симптомы обычно длятся не более нескольких часов.
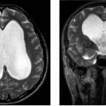
Если появление шишки на голове от удара сопровождается бессознательным состоянием пострадавшего, речь идет о серьезной травме. Она предполагает необходимость обеспечения проходимости дыхательных путей. Такой тип травмы может вызвать кровотечение в полости черепа, сопровождающееся расширением зрачков.
В случае воздействия яркого света зрачки не сужаются. Эти симптомы указывают на отек мозга из-за избыточного давления, вызванного кровотечением.
В некоторых случаях после короткого периода полного сознания пострадавший возвращается в бессознательное состояние, что типично для кровотечения из средней мозговой артерии в височном районе.
Во многих случаях при небольших травмах требуется только первая помощь, но в профилактических целях целесообразно последующее наблюдение в больнице. Тяжелые травмы всегда сопровождаются госпитализацией больного. Эпидуральные и субдуральные гематомы удаляются путем операции.
Иногда шишка на голове после удара не проходит достаточно долго, возникают поздние осложнения, такие как посттравматическая эпилепсия. Сотрясение мозга причиной эпилепсии становится очень редко. Кроме эпилепсии могут возникнуть длительные головные боли, психологические проблемы.
Но, как правило, происходит полное выздоровление.
Опасности удара по голове
Большинство мягких шишек на голове у ребенка и взрослого не вызывают осложнений, но важно знать риски травм для получения полной картины и принятия правильных решений. Наиболее серьезные последствия ушибов головы – отек мозга и черепное кровотечение.
Отек мозга обычно образовывается в течение 24 часов. Случаи с отсутствием бессознательного состояния, как правило, недооцениваются. Предательское чувство безопасности также возникает, когда человек хорошо реагирует после отступления бессознательности.
Мозг, кожа и мягкие ткани головы после травмы ведут себя аналогично другим ушибленным частям тела. Например, уплотнение на вывихнутой лодыжке появляется на следующий день. Но, в отличие от лодыжки, у мозга нет места для отека. Между ним и стенкой черепа находится максимум 0,5 см, а спинномозговая жидкость почти не сжимается. Поэтому отек расширяется за счет мозга, тем самым повреждая его.
То же самое относится к внутричерепному кровотечению, которое может сопровождать шишки на затылке у ребенка и взрослого. Человеку угрожает не потеря крови, а ее проникновение в замкнутое пространство черепа. При кровотечении в череп и мозг симптомы появляются почти сразу, наиболее типичные из них – потеря сознания и неравномерная ширина зрачков.
Ни одно из угрожающих жизни осложнений не может быть обнаружено иначе, чем с помощью рентгенографии или КТ. Состояние здоровья пострадавшего может резко ухудшиться в ближайшие дни.
Непосредственно после травмы нельзя положиться даже на рентгеновское изображение – отек на нем может не показываться. Тяжесть состояния может быть оценена только через несколько дней или даже недель.
Если появилась шишка на голове после удара, что делать, как предотвратить возможные осложнения? Несмотря на хорошее посттравматическое состояние пациента, отсутствие указанных симптомов, амнезии, следующие 24 часа он не должен оставаться без присмотра.
Прежде всего, необходимо обработать рану. Ее надо помазать антибактериальным средством (намазывать рекомендуется периодически, в соответствии с рекомендациями на упаковке мази), при необходимости, прикрыть пострадавшую сторону волосяной части головы повязкой.
После обработки раны, пострадавший должен отдохнуть (как правило, человек, который стукнулся головой, чувствует усталость). Будьте осторожны, у новорожденных и маленьких детей можно спутать сон с потерей сознания. Поэтому периодически пробуждайте пострадавшего, контролируйте его состояние.
Когда с ребенком после травмы головы идти к врачу
Падения среди детей относятся к числу наиболее распространенных травм, обычно не требующих посещения врача. Малыши рождаются «резиновыми»: как правило, они ударяются о пол, и с ними ничего не происходит. Но сильный удар может вызвать перелом или кровотечение. При подозрении на такие травмы требуется медицинское обследование.
С самого рождения важно иметь в виду профилактику. Даже маленьких детей, которые еще не двигаются, не следует оставлять без присмотра на кровати. Младенец может внезапно обнаружить это умение, и риск травмы окажется ближе, чем вы думаете.
Падения младенцев
Если у малыша получилось упасть с высоты, это вызовет большой испуг, естественная реакция на который – плач. Возьмите его на руки, постарайтесь успокоить.
Проверьте на наличие травм, проконтролируйте родничок (мягкое «отверстие» в черепе между макушкой и лбом, служащее для подвижности черепных костей при прохождении через родовые пути во время родов), следите за его реакцией.
Если плач не прекращается, из раны течет кровь, обратитесь к врачу.
Врачебная помощь также нужна в случае, если у новорожденного шишка сзади на темечке или в другой части головы сопровождается вялостью, рвотой, бессознательностью, выпуклым родничком, мышечными спазмами.
Если с младенцем все в порядке (на первый взгляд), но вы сомневаетесь, обратитесь к педиатру.
Отсутствие плача и реакции – это плохой сигнал. Сначала проверьте жизненно важные признаки ребенка. Аккуратно встряхните или ущипните. При отсутствии реакции проверьте движения грудной клетки, прислушайтесь к его дыханию. При отсутствии или нерегулярности дыхания, проведите реанимацию (если умеете!), вызовите скорую помощь.
Шишка у старшего ребенка
Если ребенок старшего возраста падает с высоты на голову, немедленно осмотрите его. Рану важно мазать антибактериальным средством. Наблюдайте за ним в течение 1-2 суток, ночью проверяйте каждые 2-3 часа. Домашнее лечение не предполагает применения обезболивающих лекарств.
Убирать отёк можно народными методами, например, с помощью холодного компресса. При боли в месте водянистой отечности или в ее окружении, обратитесь к врачу.
Если вы не присутствовали при травме, попробуйте выяснить, как она произошла. Если ребенок кажется вялым, очень уставшим, немедленно идите к врачу.
ЧМТ
Иногда за шишкой может скрываться более серьезная внутренняя травма (сотрясение мозга). При подозрении на сотрясение доставьте ребенка в больницу. Обратите внимание на возможные признаки, такие как:
- потеря сознания;
- амнезия;
- растерянность;
- рвота;
- бледная кожа;
- потливость;
- головная боль;
- вытекание из уха или носа прозрачной или кровянистой жидкости;
- прерывистая речь.
Возможные последствия мозговой травмы:
- нарушения памяти, речи, концентрации, сна;
- головная боль;
- двигательные расстройства;
- нарушения интеллекта.
Профилактика
Поскольку дети чаще всего склонны набивать шишки во время активных игр или занятий спортом, старшим ребятам важно купить шлем, который всегда нужно использовать для езды на велосипеде, скутерах, коньках или лыжах, или другое защитное снаряжение. При поездке в автомобиле на переднем сидении ребенок до 12 лет должен находиться в детском автокресле, а с более старшего возраста – быть пристегнутым ремнем безопасности.
Источник: https://vsepromozg.ru/diagnostika/shishka-na-golove-posle-udara
Признаки теплового удара
Симптоматика на фоне удара зависит от степени тяжести состояния пострадавшего.
Легкая степень
характеризуется:
- появлением слабости;
- снижением работоспособности;
- одышкой;
- тошнотой;
- снижением артериального давления;
- головной болью.
Кожа больного становится влажной, краснеет. Сознание на фоне легкой степени патологии сохраняется.
Средняя степень
тяжести удара проявляется:
- резкой слабостью;
- сухостью и гиперемией кожи;
- головной болью и головокружением;
- одутловатостью лица, отечностью нижних конечностей;
- сильной рвотой;
- повышением температуры тела до 39-40 о С;
- громким дыханием, которое слышно на расстоянии;
- частым сердцебиением, падением давления.
Может появляться спутанность сознания, оглушенность. Иногда наблюдается потеря сознания. В таких моментах важно, чтоб кто-то был с больным рядом, вызвал бригаду врачей и оказал необходимую помощь.
Тяжелая степень
теплового удара характеризуется:
- очень высокой температурой тела (может достигать 41-42 о С);
- головной болью;
- болью в животе;
- неукротимой рвотой.
Появляется бред, галлюцинации, потеря сознания, гипотензия. При осмотре пострадавшего видно, что его кожа красная и сухая, горячая на ощупь.
Важно! Необходимо вовремя отличить тепловой удар от солнечного удара. От этого зависит, что нужно делать и каким образом оказывать помощь больному.
Шишка на голове от удара: симптомы, последствия, первая помощь
Если образовалась шишка на голове от удара, то это говорит о том, что ушиб был достаточно серьезным. Ведь отечность тканей является признаком повреждения кровеносных сосудов.
Часто бывает так, что боль от ушиба уже давно прошла, а шишка никак не спадает. Такой отек болит при нажатии и причиняет человеку физический и моральный дискомфорт.
Как самостоятельно избавиться от шишки на голове? И в каких случаях нужно немедленно идти к врачу? Эти вопросы мы рассмотрим в статье.
Почему появляется шишка
Шишка на голове от удара появляется из-за повреждения мелких сосудов. По своей сути она является разновидностью гематомы. При ударе капилляры разрываются и из них вытекает кровь. При ушибе других частей тела на коже появляется синяк, но припухлости обычно нет. Это связано с тем, что на теле и на конечностях кровь впитывает подкожная клетчатка. Поэтому отек не образуется.
На голове клетчатка отсутствует. Кровь изливается под кожу. При этом жидкость не впитывается, а только накапливается. По этой причине ушиб головы приводит к появлению шишки. Что не исключает и одновременного образования синяка, если удар был достаточно сильным.
Причины
Гематома на голове возникает не при каждом ушибе. Для того чтобы появилась шишка, необходимо достаточно грубое механическое воздействие на кожу. Обычно отек возникает в результате следующих травм:
- Шишки на голове у ребенка от удара чаще всего образуются вследствие падений. Маленькие дети нередко выпадают из колясок. Такие травмы случаются и когда ребенок учится ходить.
- Взрослые чаще получают шишки при ударе о твердые поверхности. Это происходит при неловких движениях или когда на человека сверху падает какой-либо предмет.
Симптомы
Как отличить гематому от других видов отеков и опухолей? Шишки на голове от удара имеют следующие особенности:
- Гематома всегда образуется исключительно в том месте, которое подверглось механическому воздействию. Например, если человек ушибся макушкой, шишка не может возникнуть в лобной области.
- Размер образования может быть различным. Это зависит от того, насколько сильным был ушиб.
- Цвет шишки может быть разным. Иногда он не отличается от остального цвета кожи, но может быть и синеватым из-за кровоизлияния. Но в области головы не бывает синяков такого яркого цвета, как на других частях тела.
- Кожа вокруг шишки выглядит припухшей.
- При нажатии на шишку ощущается боль.
В среднем отек может держаться от 2 до 7 дней. При усиленном лечении и правильно оказанной первой помощи шишка проходит достаточно быстро.
Особенности ушиба у малышей
Шишка на голове после удара у ребенка – очень распространенное явление. Ведь дети любят подвижный и активный образ жизни. У малышей кожа головы нежная, поэтому гематома может образоваться даже при незначительном ударе.
Однако ушибы головы у детей нередко сопровождаются сотрясением мозга и другими неприятными последствиями. Поэтому нужно обратить внимание на самочувствие малыша. Многие дети сильно плачут при ушибе, но чаще всего это происходит от испуга, а не от боли. Нужно дать малышу успокоиться, а затем присмотреться к его состоянию. При малейших сомнениях следует обращаться к детскому травматологу.
Величина гематомы не всегда говорит об опасности травмы. Например, при ушибах лба всегда образуются огромные шишки. Однако лобная кость самая прочная, и хорошо защищает мозг, поэтому неприятные последствия при ушибах этой области бывают редко.
Холод
Предположим, что у ребенка или взрослого образовалась шишка на голове от удара. Что делать в первую очередь? Спустя несколько минут после ушиба кровь еще продолжает вытекать из лопнувших сосудов, и шишка растет. Если удар был очень сильным, то отек увеличивается прямо на глазах.
Прежде всего нужно прекратить подкожное кровоизлияние. Для этого надо приложить холод к поврежденному месту. Его воздействие поможет сузить сосуды и уменьшить гематому, а также снизить болевые ощущения. Для этой цели подойдут следующие подручные средства:
- Лед. Если травма произошла дома, то можно взять лед из холодильника, положить его в пакет и завернуть в полотенце. Ледяной компресс приложить к месту ушиба. Такую процедуру нужно повторять несколько раз в течение дня. Вместо льда можно использовать продукты из морозильника или бутылку с холодной водой.
- Компресс с холодной водой. Нужно смочить ткань холодной водой и приложить к шишке. Как только компресс согреется, его необходимо заменить. Такую процедуру повторяют несколько раз.
- Если под рукой нет ничего холодного, то помочь может обычное растительное масло. Его надо нанести на вату или бинт и приложить к месту ушиба на полчаса. С помощью такого народного средства можно полностью избежать появления шишки, если удар не был слишком сильным.
Холод необходимо применять в течение первых суток после травмы.
Воздействие тепла
Холод является средством первой помощи при шишках на голове от удара. Чем лечить гематому далее? Многие люди ограничиваются только холодными компрессами в первый день. Однако этого недостаточно. На вторые сутки больное место надо прогреть. Под воздействием тепла отек спадает, и шишка начинает рассасываться.
Можно приложить к ушибу теплое вареное яйцо. Также подойдет поваренная соль, нагретая на сковороде и завернутая в тряпочку. Не следует использовать слишком горячие компрессы, чтобы не обжечь и без того травмированную кожу.
В последующие дни шишку обрабатывают аптечными мазями или народными средствами.
Мази
Чем помазать шишку на голове от удара после оказания первой помощи? В аптеках можно приобрести различные местные средства от ушибов. Рассмотрим некоторые из них:
- “Троксерутин”. Это препарат в форме геля, который способствует рассасыванию отека после ушиба. Средство хорошо впитывается в кожу, но его не рекомендуется наносить на поврежденный эпителий. Обработанное больное место нужно беречь от воздействия ультрафиолета.
- “Троксевазин”. Гель укрепляет стенки поврежденных сосудов и способствует их заживлению. Он уменьшает отек и снимает боль. Шишку надо обрабатывать гелем утром и вечером.
- “Спасатель”. Этот гель купирует воспалительную реакцию и заживляет травмированный участок кожи. Кроме этого, он обладает дезинфицирующими свойствами.
- “Гепариновая мазь”. Средство предназначено для борьбы с тромбозом. Однако оно эффективно и при шишках на голове от удара. Мазь действует как антикоагулянт и способствует рассасыванию гематом.
- “Лиотон 1000”. Этот гель тоже обладает антикоагулянтными свойствами и растворяет кровяную массу под кожей после ушиба.
- “Мирралгин”. Средство представляет собой бальзам на растительной основе. Он улучшает кровообращение в поврежденных тканях, снимает боль и отек. Это безвредное растительное средство особенно показано маленьким детям.
Эти препараты необходимо использовать до полного исчезновения шишки. Лечение может занять различный срок, в зависимости от степени ушиба.
Народные средства
Шишки на голове от удара можно вылечить и с помощью народных средств. Всем известны ранозаживляющие свойства сока алоэ и каланхоэ. Из этих растений можно сделать компресс, который поможет уменьшить отек тканей. Нужно взять лист растения, снять с него верхний слой, положить на больное место, а затем накрыть пленкой и ватой. Компресс держат около 2-3 часов.
Можно использовать листья обычной капусты. Их нужно измельчить и сварить в молоке. Затем выложить массу на салфетку или ткань и приложить к месту ушиба. Компресс держат около 1 часа. Это средство помогает снять отечность.
Шишки на голове от удара у взрослых можно обрабатывать смесью йода и спирта (пропорции 1:1). Это средство особенно полезно при отеках синеватого и розоватого цвета, сопровождающихся выраженным подкожным кровоизлиянием.
Возможные последствия
Следует помнить, что шишка на голове от удара – далеко не всегда безобидное явление. Ведь в черепной коробке расположен головной мозг, множество сосудов и нервных узлов. Повреждение этих анатомических структур может привести к тяжелым последствиям:
- сотрясению головного мозга;
- перелому черепа;
- разрыву мозговых сосудов.
Важно помнить, что серьезные травмы головы нередко приводят к тяжелым сбоям в работе центральной нервной системы. При таких патологиях зачастую требуется длительное лечение. Поэтому каждому следует знать, в каких случаях шишка может быть опасна.
Обращаться к врачу необходимо, если шишка на голове после удара не проходит в течение недели. Если отек не исчезает в течение длительного времени, то это может свидетельствовать о травматизации костной ткани.
Срочно обращаться за медицинской помощью необходимо, если у ребенка или взрослого отмечаются следующие симптомы:
- боль в голове и области шеи;
- головокружение;
- тошнота и рвота;
- ухудшение зрения;
- косоглазие;
- выделение крови или светлой жидкости из носа или ушей;
- нарастание болевого синдрома;
- расстройства речи и сознания;
- боль, усиливающаяся при поворотах головы;
- судорожные приступы;
- кровотечение из раны, которое не прекращается более 10 – 15 минут.
Эти тревожные признаки могут свидетельствовать о тяжелой травме головы. Необходимо уложить больного, вызвать скорую помощь и до приезда врачей контролировать его сознание и дыхание.
Всегда ли шишка связана с ушибом
Мягкая шишка после удара головой не представляет опасности, если при этом не отмечается признаков травматизации мозга или костей черепа. Важно помнить, что гематома от ушиба никогда не имеет твердой структуры. Если шишка выглядит как уплотнение, то, скорее всего, она не связана с ударом.
Очень часто люди связывают опухоли на голове с тем, что они случайно ушиблись. Однако такие шишки могут иметь совсем другое происхождение.
В области лба и волосистой части головы могут возникать следующие образования:
- Атеромы (жировики). Выглядят как шарики, наполненные сальным содержимым. Нагноившиеся жировики могут быть болезненными.
- Гемангиома. Эта опухоль из кровеносных сосудов очень напоминает шишку после ушиба. Однако такое новообразование имеет более интенсивную окраску, чем обычная гематома.
- Фиброма. Опухоль состоит из соединительной ткани и носит доброкачественный характер. При травматизации возможно злокачественное перерождение.
- Лимфаденит. У детей при воспалениях инфекциях часто увеличиваются лимфоузлы. Они выглядят как покрасневшие болезненные шишки. Располагаются обычно на затылке или за ушами.
Не следует связывать появление шишки на голове исключительно с ударом. Многие из вышеперечисленных новообразований нуждаются в хирургическом удалении. Поэтому если вы не уверены, что шишка вызвана именно ушибом, то надо обратиться к специалисту. Только врач может установить точную причину опухоли.
Источник: https://FB.ru/article/400661/shishka-na-golove-ot-udara-simptomyi-posledstviya-pervaya-pomosch
Когда необходима помощь врача
Обращаться к врачу необходимо, если шишка на голове после удара не проходит в течение недели. Если отек не исчезает в течение длительного времени, то это может свидетельствовать о травматизации костной ткани.
Срочно обращаться за медицинской помощью необходимо, если у ребенка или взрослого отмечаются следующие симптомы:
- боль в голове и области шеи;
- головокружение;
- тошнота и рвота;
- ухудшение зрения;
- косоглазие;
- выделение крови или светлой жидкости из носа или ушей;
- нарастание болевого синдрома;
- расстройства речи и сознания;
- боль, усиливающаяся при поворотах головы;
- судорожные приступы;
- кровотечение из раны, которое не прекращается более 10 — 15 минут.
Эти тревожные признаки могут свидетельствовать о тяжелой травме головы. Необходимо уложить больного, вызвать скорую помощь и до приезда врачей контролировать его сознание и дыхание.
Шишка на голове после удара: что делать и как лечить – Сам себе доктор
Возникновение шишки на голове после удара является анатомической особенностью кожи головы. Наличие трабекул между тканями кожи головы сдерживает воспалительный экссудат и кровотечение, образовывая шишки на голове от удара.
Первая помощь при травме
Такой вид травматизма чаще встречается у детей (см. Травмы головы у детей). Хорошая микроциркуляция и метаболизм тканей позволяют быстро рассосаться образовавшейся гематоме. Для этого необходимо выполнять некоторые рекомендации.
Что делать, если ударился головой и появилась шишка? Следует приложить к месту ушиба холод.
Для этого можно использовать холодный компресс, обычную металлическую ложку, лед из холодильника, специальную гелевую подушку, холодовой элемент для камеры-морозилки, бутылку с холодной водой, резиновую грелку со льдом или холодной водой. Важно держать холод длительное время, и чем больше был удар, тем дольше должен быть контакт с холодом.
Рекомендация! Периодически делают перерыв, чтобы не переохладить ушибленный участок и не вызвать локальное обморожение.
Что делать, если шишка на голове от удара у ребенка? Как правило, такое последствие травмы головы проходит за 1–2 дня. Боль и припухлость беспокоит только в первый день. Со временем шишка рассасывается, не оставляя после себя никаких изменений.
Шишка у взрослого практически не вызывает дискомфорта, кроме непродолжительного косметического дефекта. А вот дети переносят свою травму намного эмоциональней. Во-первых, они постоянно трогают место удара и тем самым вызывают болевую стимуляцию. Во-вторых, могут неоднократно травмироваться одним и тем же местом.
К какому врачу обращаться, если появилась твердая шишка на голове? Узнайте, кто вам поможет.
Читайте, что делать, если появилась шишка на голове у новорожденного. Выявление причины.
Лечение шишки на голове от удара с применением медикаментов
Место ушиба можно смазывать специальными мазями. Они улучшают лимфо- и кровоток от места повреждения и тем самым помогают шишке быстрее рассосаться. В качестве мазей используют:
- Троксевазин;
- Лиотон-2000;
- Гепариновая мазь;
- Троксерутин;
- Спасатель;
- рекомендуют использовать аптечную Бадягу.
Любые застойные явления на теле поможет убрать магнезия. Готовят компресс следующим образом: складывают марлю в несколько слоев, ампулу магнезии раскрывают и смачивают марлю. Прикладывают на место шишки и сверху прикрывают целлофаном или пергаментной бумагой. Таким образом создается парниковый эффект. Выдерживать компресс необходимо около 5–10 часов.
Как лечить шишку на голове от удара народными средствами
Если шишка на голове после удара не проходит, то на следующий день можно применить следующие компрессы:
- Капустные листы измельчают в мясорубке и немного проваривают в молоке. Далее наносят эту кашицу на марлевую салфетку и прикладывают компрессы на место образования шишки. Компресс должен быть теплый. Время экспозиции — около 1 часа.
- Теплое яйцо обматывают носовым платком и также прикладывают на место ушиба. Такую же процедуру можно провести и с подогретой солью.
- Еще один рецепт как убрать шишку на голове от удара с помощью народных средств – компресс с растительным маслом. Марлю, сложенную в несколько слоев, вымачивают в масле и накладывают на пораженный участок на полчаса. Такое лечение хорошо снимает покраснение и припухлость.
Чем опасны травмы головы
Если удар сильный, то это может вызвать сотрясение головного мозга или другие негативные последствия. На какие жалобы должны обратить внимание родители после удара головой своего ребенка:
- наличие рассечения или любого другого повреждения кожи;
- наличие кровотечения;
- потеря памяти;
- дезориентация в пространстве и нарушение узнавания родственников;
- судорожный синдром, нарушение речи;
- головная боль, которая усиливается при движении головы или глаз;
- расширение зрачков, их разный диаметр (см. Анизокория);
- кровотечение из носа или ушей;
- повышение температуры тела от 37 градусов и выше;
- резкое снижение или повышение артериального давления;
- выраженное головокружение, тошнота и рвота.
Если у ребенка имеется хоть одна из жалоб, необходимо обратиться за медицинской помощью, чтобы предупредить осложнения (см. Сотрясение головного мозга у детей).
Знаете ли вы, почему на затылке формируется затылочный бугор и по каким причинам форма черепа изменяется?
Читайте, каким должно быть питание при сотрясении мозга: полезные продукты в рационе пациента.
Узнайте, почему возникает жировик на голове и как не спутать шишку с атеромой.
Какие заболевания проявляются шишкой на голове
Если шишка на голове от удара не проходит на протяжении 3–4 дней, то необходимо обратиться к врачу для выяснения обстоятельств. Болезни, которые проявляются в виде шишки на голове, несвязанные с ударом:
- Липома – доброкачественная опухоль из жировой ткани, поэтому ее часто называют «жировиком». Образование имеет мягкую консистенцию, оно подвижное, не спаяно с окружающими тканями, имеет медленный рост. Липома имеет разные размеры от 0,5 см в диаметре до нескольких сантиметров. В редких случаях может нагнаиваться, и тогда без оперативного вмешательства не обойтись.
- Гемангиома – доброкачественное образование из кровеносных сосудов. Отличается тем, что появляется с первых дней рождения и имеет красноватый оттенок.
- Лимфаденит – воспаление лимфатического узла. Он может увеличиться на фоне респираторной инфекции или других соматических заболеваний и болезней крови.
- Фиброма – опухоль доброкачественного характера из соединительной ткани.
- Гематома – ограниченное скопление крови при повреждении сосудов. Образовывается полость, в которой собирается кровь. Если крови собралось небольшое количество, то гематома проходит самостоятельно, но если скапливаются целые сгустки крови, то в этом случае необходимо только дренировать гематому.
Чем опасны травмы головы
Если удар сильный, то это может вызвать сотрясение головного мозга или другие негативные последствия. На какие жалобы должны обратить внимание родители после удара головой своего ребенка:
- наличие рассечения или любого другого повреждения кожи;
- наличие кровотечения;
- потеря памяти;
- дезориентация в пространстве и нарушение узнавания родственников;
- судорожный синдром, нарушение речи;
- головная боль, которая усиливается при движении головы или глаз;
- расширение зрачков, их разный диаметр (см. Анизокория);
- кровотечение из носа или ушей;
- повышение температуры тела от 37 градусов и выше;
- резкое снижение или повышение артериального давления;
- выраженное головокружение, тошнота и рвота.
Если у ребенка имеется хоть одна из жалоб, необходимо обратиться за медицинской помощью, чтобы предупредить осложнения (см. Сотрясение головного мозга у детей).
Знаете ли вы, почему на затылке формируется затылочный бугор и по каким причинам форма черепа изменяется?
Читайте, каким должно быть питание при сотрясении мозга: полезные продукты в рационе пациента.
Узнайте, почему возникает жировик на голове и как не спутать шишку с атеромой.
Удар головой: симптомы, последствия, первая помощь
Сильно ударившись головой о твердую поверхность, человек ощущает внезапную боль. Она может чувствоваться не так долго, а вот шишка на голове после удара способна гораздо дольше быть причиной серьезного дискомфорта. Снять отечность и быстрей избавиться от неприятных проявлений помогут проверенные способы народной медицины и эффективные медицинские препараты.
Как на месте ушиба появляется шишка
Симптомы ушиба на разных частях тела могут качественно отличаться. Если удар пришелся не на голову, а на другое место, появится кровоподтек, гематома, но сама поверхность кожи останется ровной. На голове же образуется шишка.
Вообще, при ушибе повреждаются и лопаются кровеносные сосуды. Кровь из них вытекает. На всех частях тела, кроме головы, она впитывается в подкожный слой клетчатки, что и приводит к характерному изменению цвета кожи на ушибленном месте, появлению синяка.
На голове этот слой клетчатки почти отсутствует. Крови из лопнувших сосудов впитываться некуда. Она вытекает прямо в пространство между кожей головы и костями черепа. Появляется шишка на голове.
Чем больше скопилось крови в месте ушиба, тем больше размер шишки.
Действия для уменьшения и снятия последствий удара
Первые необходимые действия после ушиба, предупреждающие разрастание шишки. На первом этапе важно остановить вытекание крови из сосудов. Для этого необходимо добиться их сужения. Причем сделать это нужно как можно быстрей. Поэтому первая помощь заключается в обеспечении воздействия холода на место удара.
Подходящим предметом может быть тряпка, смоченная в холодной воде. Следует прикладывать ее на несколько минут до ее нагревания. По мере надобности необходимо заменять ставшую теплой примочку на холодную.
Можно воспользоваться тем, что есть в холодильнике. Это может быть лед. Можно положить его в полиэтиленовый пакет. Пакет следует обернуть тканью и прикладывать к ушибу. Чтобы не произошло переохлаждения, в результате которого могут возникнуть осложнения и болезнь, необходимо делать прикладывания с временными промежутками.
Кроме льда, в холодильнике могут оказаться какие-либо замороженные пищевые продукты, например, мясо. Его также можно положить в пакет, обернуть тканью или полотенцем и прикладывать к шишке. Если есть бутылка с холодным напитком, она также может пригодиться.
Однако холодные предметы рядом могут не оказаться. Например, может случиться следующая ситуация: мужчина ударился головой, появилась шишка, что делать, если приложить холод нет возможности?
В таком случае может оказать существенную помощь растительное масло. Нужно тщательно пропитать им кусочек марли или ваты и накрыть ушибленное место на 30-35 минут. Появившаяся краснота после такого компресса должна пройти, а шишка может и вовсе не появиться.
Дальнейшие действия при ушибе
Если впервые сутки наиболее правильным и эффективным методом является воздействие холода, то по истечении этого времени действия должны быть направлены на аккуратное прогревание места удара. Тепло поможет избавиться от припухлости, снимет отек, вследствие чего шишка рассосется и исчезнет.
Долго держит тепло нагретая соль. Завернув ее в не очень плотную ткань, нужно держать компресс на больном месте. Вареное яйцо тоже долгое время будет оставаться теплым и его можно использовать для прикладывания.
Капуста
Она является отличным лечебным средством, помогающим справиться с отеком и вздутием после удара. Сначала ее свежие листья следует измельчить. Лучше всего использовать для этого мясорубку.
Получившуюся массу нужно поместить в небольшой объем молока и немного поварить. Затем, следует вынуть капусту на салфетку и получившийся теплый целебный компресс приложить к шишке на 1 час.
Затем поврежденное место нужно промыть.
Чабрец
Это растение обладает заживляющими и снимающими отек свойствами. Другое его название – тимьян ползучий. Его листья свежими нужно прикладывать к месту, где находится шишка на голове после удара. Считается, что целебное растение способствует даже восстановлению памяти, если его отвар применять для протирания головы.
Полынь
В ситуации ушиба эффективно помогает сок растения. Для его получения траву следует тщательно растереть. Выделившийся сок затем необходимо аккуратно нанести на ушибленное место.
Дубовая кора и цветы маргариток
Из этих составляющих нужно сделать порошок. Его количество должно быть равно одной столовой ложке. Затем необходимо приготовить насыщенный состав, залив порошок стаканом кипятка. Настаивать раствор нужно в течение получаса. Кусок ткани, пропитанный полученной жидкостью, прикладывается к месту ушиба и последствия удара исчезают быстрей.
Гель «Троксевазин»
Средство укрепляет капилляры и сосудистые стенки, оказывает действие против отеков и появившихся воспалений. Шишка на голове смазывается гелем утром и вечером. При этом лечебное средство плавно втирается в кожу до впитывания.
Гель «Троксерутин»
Применяется для снятия отека. Хорошо всасывается через верхний слой кожи. Средство можно наносить только при отсутствии открытых повреждений и ран. Обработанные гелем места следует защищать от попадания на них активных солнечных лучей.
Мазь «Гепариновая»
Средство способствует рассасыванию тромбов и предотвращает образование новых. Уменьшает болевые ощущения. Мазь наносят нетолстым слоем утром, днем и вечером до исчезновения симптомов ушиба.
Гель «Спасатель»
Способствует активному росту клеток и быстрому восстановлению травмированной кожи. Обладает противомикробным действием. Быстро впитывается. Применяется в течение дня 1-2 раза. Наносится тонким слоем.
Когда при ушибе головой следует обратиться к врачу
Если при ушибе симптомами являются только набухание шишки и боль в месте удара, которая постепенно утихает, то обращаться в больницу необязательно, достаточно использовать средства, описанные выше. Но иногда ситуация может быть намного серьезней.
У пострадавшего человека может наблюдаться не только шишка от удара на голове, но и признаки резкого ухудшения состояния в результате сотрясения мозга, внутримозгового кровотечения или перелома костей черепа.
Срочная медицинская помощь при этом совершенно необходима.
Признаками таких особо тяжелых состояний пострадавшего человека являются
- Появление открытых ран и кровотечение из них, которое не останавливается больше 10 минут.
- Ощущение сильной боли в области головы и шеи.
- Усиливающийся характер боли.
- Одновременно с сильными болевыми ощущениями наблюдаются приступы тошноты.
- Из ушей и носа течет кровь или другая жидкость.
- Повышение температуры тела до значения больше 38 градусов.
- Нарушение речи.
- Ощущение, что в глазах «плывет», зрачки разного размера.
- Спутанное сознание.
При данных признаках пострадавшего необходимо как можно скорей доставить в больницу, а до приезда скорой помощи следует обеспечить человеку полный покой и внимательно следить за его дыханием и сознанием.
Шишка от удара на голове может проявиться в меньшей степени или не появиться вовсе. Все зависит от того, насколько быстро будет оценена ситуация и выполнены необходимые действия, позволяющие улучшить состояние пострадавшего человека.
Источник: https://swedmed.ru/shishka/289-golova-udar-delat.html
Сдавливающая повязка
Ее действие в какой-то степени аналогично холоду. Но в этом случае процесс поступления крови к месту ушиба ограничивается механически, то есть путем снижения пропускной способности сосудов.
Использование повязки должно сочетаться с терапией холодом. При сдавливающей повязке ледяные кубики и прочее уже нет необходимости оборачивать в ткань. Достаточно поместить их в полиэтиленовый пакет и по мере нагревания периодически менять для поддержания нужной температуры травмированного участка.
Появление шишки на голове после удара: норма или патология?
Возникновение шишки на голове после удара является анатомической особенностью кожи головы. Наличие трабекул между тканями кожи головы сдерживает воспалительный экссудат и кровотечение, образовывая шишки на голове от удара.
Шишка с медицинской точки зрения
Последствия ушиба головы и других частей тела качественно отличаются. Травмы мягких тканей сопровождаются появлением гематомы, кровоподтека, но поверхность кожи не деформируется. На голове после сильного удара образуется некрасивое вздутие – шишка.
Во время ушиба повреждаются и лопаются кровеносные сосуды. Вытекшая из них кровь впитывается подкожным слоем клетчатки. Это приводит к изменению цвета травмированных тканей. Появляется синяк.
На голове такой жировой прослойки практически нет. Вытекшая кровь накапливается между тканями головы и костями черепа. Образуется выпуклость, получившая название «шишка». Ее размер зависит от количества вытекшей крови.
Шишку на голове образует кровь из разрушенных вследствие удара капилляров.
Первые необходимые действия при тепловом ударе
Сперва нужно оценить состояние пострадавшего. Если человек находится в сознании и его самочувствие не ухудшается, значит, у него легкая степень теплового удара. При легкой степени патологии человека нужно завести в прохладное помещение, если нет возможности – помочь переместиться в тенёк. При отсутствии сознания больного следует перенести в прохладное место.
Что делать при тепловом ударе у взрослого и ребёнка далее:
- вызвать скорую помощь;
- снять одежду, оставив на теле только нижнее белье;
- уложить в горизонтальное положение, но если есть рвота – набок, чтоб не произошла аспирация рвотных масс в дыхательные пути;
- охладить тело пострадавшего всеми возможными способами (компрессы, примочки с прохладной водой, душ, прием ванны, взбрызгивание, обтирание, направление вентилятора);
- обильный питьевой режим (запрещено употреблять алкоголь, крепкий чай, кофе);
- при потере сознания на фоне теплового удара дать вдохнуть пары раствора аммиака;
- контролировать показатели пульса, давления, дыхания, при необходимости делать реанимацию.
Симптомы и признаки
Симптомы зависят от степени тяжести ушиба, обширности локализации травмы. Чаще всего обычный ушиб можно определить по таким признакам:
- Боль
в зоне удара; - На месте травмы появляется или припухлость
; - Присутствует ограниченное скопление крови
(синяк); - Возможно кровотечение из носа;
- Наблюдается небольшое местное, а иногда и общее повышение температуры;
- При более тяжелых степенях ушиба могут наблюдаться помрачение, слабость, потеря сознания.
Обратите внимание! Очень важно уделить должное внимание травме, в результате которой наступает тошнота, потеря сознания, рвота, ухудшение зрения и прогрессирующая боль. Такие показание — это сигнал тяжелых повреждений.
Чем отличается ушиб головы от сотрясения
Сотрясение мозга, как правило, возникает в результате травмирования, в том числе его причиной могут стать ушибы 3-4 степени.
В результате сотрясения, человек ощущает симптомы, несвойственные легкому ушибу
, затрагивающему только мягкие ткани:
- во время травмы может произойти легкий обморок и потеря сознания,
- дезориентация на небольшой промежуток времени,
- помимо головной боли, возникает сильное головокружение,
- слышен шум в ушах,
- может быть тошнота, рвота.
Это важно! При сотрясении сложно сконцентрировать взгляд, наблюдается заторможенность реакций и дезориентация в пространстве и времени. Человек бледный, слабый и утомленный, пропадает здоровый аппетит и сон.
Всех этих симптомов не наблюдается при более легких степенях ушиба, они возникают лишь в том случае, когда травма сопровождается сотрясением мозга.
Ушиб головы у детей
Если ребенок ударился лбом и на месте удара появилась шишка или синяк, нужно приложить лед или что-то холодное
. Лобная кость достаточно твердая, поэтому при отсутствии серьезных внешних признаков и проблем с самочувствием, помощь доктора не требуется. Отечность пройдет сама в течении короткого промежутка времени.
Серьезнее стоит отнестись к такой травме у грудничков
, их
обязательно
следует
показать педиатру
. Например, падение ребенка на затылок может иметь плохие последствия. Даже при наличии незначительных внешних признаков (шишке, синяке), ребенок может испытывать слабость и дрожь в ногах. Лучше показать ребенка врачу, травма может спровоцировать появление гематом в головном мозгу, нарушение зрения, сотрясение и т.д.
Медикаменты для избавления от шишки
Гель «Троксевазин»
Средство укрепляет капилляры и сосудистые стенки, оказывает действие против отеков и появившихся воспалений. Шишка на голове смазывается гелем утром и вечером. При этом лечебное средство плавно втирается в кожу до впитывания.
Гель «Троксерутин»
Применяется для снятия отека. Хорошо всасывается через верхний слой кожи. Средство можно наносить только при отсутствии открытых повреждений и ран. Обработанные гелем места следует защищать от попадания на них активных солнечных лучей.
Мазь «Гепариновая»
Средство способствует рассасыванию тромбов и предотвращает образование новых. Уменьшает болевые ощущения. Мазь наносят нетолстым слоем утром, днем и вечером до исчезновения симптомов ушиба.
Гель «Спасатель»
Способствует активному росту клеток и быстрому восстановлению травмированной кожи. Обладает противомикробным действием. Быстро впитывается. Применяется в течение дня 1-2 раза. Наносится тонким слоем.
Механические травмы
Образование шишки на виске может зависеть от нескольких факторов. Всегда нужно обращать внимание на симптомы.
Зачастую шишка под кожей может быть вызвана просто механической травмой, полученной во время удара. Малыши в силу своего возраста хотят изучить весь мир, поэтому появление всевозможных ран на их теле не является редкостью.
Если вокруг шишки образуется синяк – это, практически всегда, говорит о том, что была получена травма. Если же, спустя некоторое время, образование не начинает уменьшаться, родителям необходимо обратиться в медучреждение. Если помимо неприятных ощущений в височной области прибавляется еще и сильная головная боль, не стоит медлить с визитом к врачу.
Первая помощь при ушибе
Первое, что требуется сделать – осмотреть пострадавшего человека.
Если на кожном покрове присутствуют раны
или серьезные ссадины, их нужно и забинтовать.
Если есть гематомы – приложить
что-то
холодное
на 20 минут.
Пусть пострадавший несколько часов полежит в кровати. Не давайте никаких медицинских препаратов.
При наличии серьезных симптомов, которые были указаны выше, стоит вызвать врача. В этом случае уложите человека в максимальной комфортной для него позе, обеспечьте покой.
Это важно! Не давайте пострадавшему уснуть до приезда доктора. Продолжайте контролировать его состояние. В случае потери сознания, аккуратно переложите пострадавшего набок, подогните колени ближе к груди, руки под головой.
