Многие мамы задаются вопросом: а когда формируется нервная система у плода? Практически с самого
Причины появления расстройства Основные причины возникновения невроза — психологические факторы, которые длительное время воздействуют
Флуоксетин Fluoxetine Флуоксетин Химическое соединение ИЮПАК (RS)-N-метил-3-фенил-3-[4- (трифторметил)фенокси]пропан-1-амин Брутто-формула C₁₇H₁₈F₃NO Молярная масса 309,3 г/моль
Главная/Здоровье/Травы для чистки сосудов и улучшения мозгового кровообращения Еще несколько лет назад считалось, что
Правильный уход за хлорофитумом Хлорофитум — цветущее растение, но цветение происходит лишь при определённых
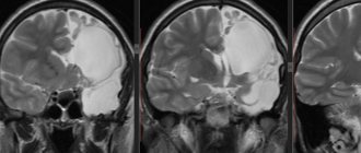
Головной мозг имеет несколько оболочек. Одна из них называется арахноидальной. Пространство под ней (субарахноидальное),
Описание В странах, где на высоком уровне развита медицина, для пациента созданы спокойные, комфортный
Сущность метода и возможности его применения Вызванный потенциал – электрический сигнал, которым нервные клетки
Одно из тяжелых дегенеративных заболеваний, поражающих мозг человека, приводящих к умственному слабоумию (деменции) –
Госпитализм — это целый ряд психологическо-соматических расстройств, которые провоцируются продолжительным нахождением человека в условиях
