Основные симптомы:
- Боль в глазах
- Боль при повороте головы
- Выпячивание глаз
- Галлюцинации
- Головная боль
- Головокружение
- Нарушение двигательной функции
- Нарушение мелкой моторики
- Нарушение психического состояния
- Нарушение речи
- Невозможность передвигаться самостоятельно
- Паралич голосовых связок
- Паралич конечностей
- Повышенное внутричерепное давление
- Потеря ориентации в пространстве
- Рвота
- Снижение зрения
- Тошнота
- Шаткая походка
Глиома головного мозга – новообразование, формирующееся из разнообразных клеток глии, что в свою очередь представляет собой ткань, покрывающую нейроны и обеспечивающую их адекватную работу. Механизм развития и предрасполагающие факторы, приводящие к формированию подобного новообразования, остаются до конца неизвестными, несмотря на развитие технологий нейрохирургии.
Онлайн консультация по заболеванию «Глиома головного мозга».
Задайте бесплатно вопрос специалистам: Невролог.
- Этиология
- Классификация
- Симптоматика
- Диагностика
- Лечение
- Профилактика и прогноз
Клинические проявления будут несколько отличаться в зависимости от локализации глиомы и её размеров. Наиболее часто симптоматика представлена сильнейшими головными болями и головокружениями, тошнотой, парезами и параличами, понижением остроты зрения и приступами судорог.
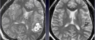
Диагностировать глиому мозга у взрослого или ребёнка можно только при помощи инструментальных процедур, основу которых составляет МРТ. Примечательно то, что лабораторные исследования практически не используются.
Лечение направлено на иссечение образования, что может быть выполнено несколькими методиками, в том числе химиотерапией, лучевой или радиотерапией.
Классификация заболевания
Глиома может быть доброкачественной (1 степень) и злокачественной. Развивается в 4 стадии.
Глиома головного мозга на начальном этапе формирования – это доброкачественная опухоль, а точнее — имеет низкую степень злокачественности (low grade glioma). Легко поддается химиотерапии. Доброкачественные образования чаще располагаются в мозжечке и больших полушариях. Встречаются и у молодых людей.
На последующих стадиях диагностируется злокачественный тип глиомы головного мозга. Последняя степень отличается появлением некроза – мультиформная глиобластома.
Опухоль начинается с поражения зрительного нерва – его глиальные элементы становятся точкой развития. Постепенный рост новообразования разрушает нерв, зрение сильно падает, происходит выпячивание глазного яблока.
Разновидности по локализации глиомы:
- Диффузный тип глиомы ствола головного мозга – образуется в области соединения головного со спинным мозгом. В этой части локализуется множество нервных окончаний, которые отвечают за жизненно важные функции. Такое расположение опасно для жизни. У больного могут нарушаться дыхание, координация, речь, слух. Диффузная глиома чаще диагностируется у детей до 10 лет. Глиома в спинном мозге распространяется очень быстро.
- Глиома хиазмы – такая опухоль располагается на зрительном перекрестке. У пациентов возникает гидроцефалия, нарушается зрение.
Другие виды образования:
- по локализации – выше и ниже мозжечка (супратенториальные и субтенториальные);
- по типу клеток – астроцитома, олигодендроглиома, эпендимома;
- смешанные – нейроэпителиальные, новообразования сосудистого сплетения.
Симптомы
Глиома головного мозга может начать проявлять себя уже на ранней стадии заболевания. В большинстве случаев пациент обращается к врачу с жалобами на неврологические проблемы:
- головная боль, не связанная с изменениями артериального давления, травмами и др.;
- нарушения чувствительности в какой-либо части тела (онемение, чувство жара или холода, ощущение ползающих мурашек);
- парезы мышц лица, которые могут проявляться как асимметрия черт, нечувствительность ограниченного участка на лице и пр.;
- нарушения координации движений и чувства равновесия (это наиболее заметно при попытке сменить положение тела);
- нарушения пространственного восприятия (например, неспособность точно оценить расстояние до предмета, который нужно взять — это часто выглядит как попытка человека схватить воздух);
- повышенная чувствительность к яркому свету, звукам, запахам или неспособность правильно интерпретировать сигналы от органов чувств.
Симптоматика
Глиома головного мозга дает разнообразные симптомы в зависимости от расположения. Характерна общемозговая симптоматика – судороги, выраженные боли, тяжесть в глазах, тошнота. При глиоме зрительного нерва появляются симптомы снижения зрения. При опухоли ствола наблюдаются неврологические отклонения. Глиома дает симптомы нарушения координации, шаткости, изменения речи, снижения чувствительности.
Глиома хиазмы дает сужение периферического зрения, головокружение, шум в ушах. При новообразовании головного мозга практически всегда возникают психические отклонения. Проявляются в нарушении мышления, памяти, поведения.
Очаговые проявления заболевания:
- нарушение чувствительности;
- шум в ушах, снижение слуха;
- дисфункция речи;
- мышечная слабость, что становится фактором параличей и парезов;
- вестибулярная атаксия.
Симптомы глиомы
Симптомы растущей глиомы напрямую зависят от того, какой отдел мозга занимает эта опухоль. Новообразование сдавливает ткани и оболочки, что приводит к возникновению общемозговой симптоматики:
- Сильнейшим головным болям, которые не купируются приемом анальгетиков и спазмолитиков.
- Появлением тяжести в глазных яблоках.
- Тошнотой, возникающей как следствие болей в голове. Пациенты жалуются и на периодическую рвоту, возникающую также на пике приступа.
- Судорогам.
Если глиома сдавливает ликворные пути и желудочки мозга, то развивается гидроцефалия и повышается внутричерепное давление. Помимо общемозговых симптомов глиома влияет и на возникновение очаговых проявлений болезни, это:
- Головокружение.
- Шаткость при обычном движении.
- Нарушение зрения.
- Снижение слуха или шумы в ушах.
- Расстройство речевой функции.
- Снижение чувствительности.
- Понижение силы мышц, что становится причиной парезов и параличей.
У пациентов с глиомой головного мозга выявляются и психические изменения, выражающиеся расстройством всех видов памяти и мышления, определенными нарушениями поведенческой функции.
Стадии развития
Согласно МКБ, степени развития опухоли оценивают по опасности для жизни больного.
Развивается в 4 стадии, для каждой характерны свои проявления:
- I – доброкачественная опухоль с медленным развитием. Имеет благоприятный прогноз при своевременном лечении. Продолжительность жизни – до 10 лет;
- II – медленное, но постоянное развитие опухолевого процесса, начинаются признаки злокачественного новообразования, нарастает неврологическая симптоматика;
- III – злокачественный процесс с прогнозом в 3-5 лет жизни, происходит метастазирование в соседние и отдаленные органы;
- IV – быстрый рост злокачественной опухоли, с прогнозом не более 1 года жизни, неоперабельна.
Диагностика
На начальных этапах заболевания глиома хиазмы и других отделов диагностируется крайне редко, и происходит это случайно. Первая степень почти никак себя не проявляет. Обнаруживается при компьютерной или магнитно-резонансной томографии.
Пациенты могут обращаться к неврологу с жалобами на снижение слуха, постоянное головокружение и другие неврологические симптомы. В таком случае врач назначает исследование мозга, тогда и обнаруживается диффузная глиома и другие ее виды.
Дифференциальная диагностика выполняется со следующими патологиями:
- абсцесс;
- внутримозговая гематома;
- другие опухоли центральной нервной системы;
- последствия ишемического инсульта;
- эпилепсия.
Для оценки заболевания пациент направляется на магнитно-резонансную томографию, которая в полной мере показывает локализацию и особенности поражения мозга. Также больному могут назначить позитронно-эмиссионную томографию, эхоэнцефалографию и другие процедуры.
Перечисленные методы помогают с точностью визуализировать процесс, но определение вида и степени злокачественности не обходится без проведения микроскопического исследования. Анализ тканей возможен при получении их во время операции или путем биопсии.
Стандартные методы лечения
Для терапевтического ведения пациентов с глиомами требуется большая многопрофильная команда медицинских специалистов и медицинских работников. Пациенты, как правило, обращаются в отделение неотложной помощи или направляются лечащим врачом на магнитно-резонансную томографию. МРТ головного мозга пациента будет затем интерпретироваться рентгенологом или нейрорадиологом. После того, как будет поставлен первоначальный диагноз, пациент будет рассмотрен на предмет нейрохирургии для безопасного удаления как можно большей части опухоли (хирургическая резекция). 5-аминолевулиновая кислота (5-ALA) — это препарат, который может быть назначен во время операции, в результате которой опухолевые клетки, особенно злокачественные, флюоресцируют и улучшают степень резекции. После операции невропатолог осмотрит и охарактеризует опухоль под микроскопом.
Терапевтическое ведение зависит от типа глиомы, ее размера и местоположения, а также от конкретных особенностей пациента. Особенно у пациентов, у которых опухоль не может быть полностью удалена, так как она вторгается в мозг в критических зонах или недоступна, за операцией последует химиотерапия и лучевая терапия. Поэтому потребуется сотрудничество радиационных онкологов и медицинских онкологов или нейроонкологов. Примеры химиотерапии глиомы включают темозоломид и ломустин. Эти два лекарства являются частью класса лекарств, известных как алкилирующие агенты. Их терапевтический эффект заключается в повреждении ДНК опухолевых клеток, что приводит к гибели опухолевых клеток. Хорошо очерченные глиомы можно лечить только хирургической резекцией.
В дополнение к химиотерапии, лекарства, назначаемые людям с глиомами, могут включать противоэпилептические препараты (если у пациента есть эпилепсия), антикоагулянтные препараты (если развиваются тромбы) и кортикостероиды, чтобы смягчить неврологические симптомы, вызванные накоплением жидкости вокруг опухоль (перитуморальный отек). Для выписывания рецептов и последующего наблюдения за пострадавшими лицами могут потребоваться неврологи и, возможно, другие медицинские специалисты.
Пациентам, возможно, придется пройти реабилитацию после операции, чтобы восстановить функции, затронутые опухолью и операцией. В состав реабилитационных бригад входят многие медицинские работники, в том числе физиотерапевты, эрготерапевты и медсестры. К сожалению, поскольку некоторые подтипы глиом очень агрессивны, пациенты, страдающие от них, могут быть вынуждены проходить паллиативную терапию, где они получат оптимальное лечение для сведения к минимуму симптомов и боли, включая обезболивающие препараты, противоэпилептические и противорвотные средства.
Лечение
Основное лечение глиомы подразумевает проведение нейрохирургической операции, которая имеет свои сложности, так как любые ошибки и неточности приводят к серьезным последствиям, вплоть до летального исхода.
Удаление новообразования выполняется двумя способами:
- радиотерапия – используется на начальных этапах при доброкачественном процессе для профилактики рецидива после проведения традиционной операции;
- эндоскопия – к новообразованию подводятся инструмент и видеокамера, опухоль удаляется. После выполняется химиотерапия. Каждому второму пациенту требуется проведение повторной операции.
Оперативное вмешательство выполняется при операбельном новообразовании на начальных стадиях. Традиционная операция проводится открытым способом, когда череп вскрывается и опухоль удаляется, а здоровые ткани остаются нетронутыми. Этот вариант лечения не дает стопроцентной гарантии выздоровления, высок риск рецидива.
Противопоказания к операции:
- тяжелая стадия злокачественного процесса с метастазированием;
- нестабильное состояние больного;
- присутствие иных злокачественных опухолей в организме;
- особая локализация, не дающая возможность оперировать без нарушения важных отделов.
Помимо традиционной радиотерапии применяют стереотаксическую — позволяет воздействовать непосредственно на очаг, не вовлекая здоровые ткани.
Лучевую терапию применяют как до, так и после операции. Цель — устранить остатки новообразования, и остановить рост злокачественных клеток. Курс лечения длится несколько недель. После лучевой терапии выпадают волосы, больного беспокоят тошнота, потеря аппетита.
Лучевая- и химиотерапия не могут в полной мере заменить операции. Связано это с тем, что в центральной части образования имеется участок, который не поддается воздействию облучения. Тогда процедуры могут только навредить, не оказав эффекта.
Полное удаление новообразования головного мозга – практически невыполнимая задача. Такая вероятность появляется только при 1 степени процесса. Опухоль активно прорастает окружающие ткани, существенно инфильтрируя.
Возможные последствия
Глиома — наиболее распространенная и самая опасная опухоль головного мозга. Расположение опухоли в головном или спинном мозге делает многие методики терапии противопоказанными, что сказывается на прогнозе. Связано это с высоким риском повреждения важных элементов при выполнении хирургической операции.
Глиома относится к тяжелым неизлечимым болезням, продолжительность жизни при которой редко превышает 2 года. По мере роста новообразования происходят необратимые изменения. У больного нарушается зрение, ухудшается слух, появляются невыносимые боли.
Для родных поведение такого человека становится проблемой, учитывая, что происходит сильное поражение головного мозга, влияющее на психические процессы. Больной может начать вести себя необычно, проявляя несвойственные ему черты характера.
Подразделение мозговых опухолей
Всемирная организация здравоохранения, входящая в состав ООН, утвердила классификацию глиальных новообразований, которые разделяются на 4 степени по морфологическим признакам злокачественности ‒ наличие ядерной атипии (аномального развития клеток), фигур митозов, микропролиферации эндотелия (размножение клеток, отделяющих очаг от окружающей ткани) и области некроза (омертвления тканей).
- К I степени относятся нераковые новообразования (не имеющие злокачественного происхождения). В первую группу включают плеоморфную ксантоастроцитому, ювенильную, гигантоклеточную и пилоцитарную астроцитому, развивающихся из медленно делящихся клеток астроцитов. Пилоцитарная астроцитома в редких случаях распространяется на рядом расположенные ткани и достигает больших размеров. Удаляется хирургическим путем.
- К II ст. имеют отношение опухоли с низким уровнем злокачественности, т. е. с единственным признаком ракового преобразования в основном с клеточной атипией. К этой группе относят диффузную астроцитому, располагающуюся в мозговой области лба и висков. К этому виду склонны люди в возрасте от 25 до 40 лет. Диффузная астроцитома в области гистологии подразделяется на фибриллярную, протоплазматическую и гемистоцитарную ‒ самую агрессивную разновидность, прогрессирующую в третью степень.
- К III степени относят анапластическую астроцитому, имеющую 2 признака из 3: ядерную атипию, микропролиферацию эндотелия и фигуры митозов. Исключается процесс омертвления тканей.
- К IV ст. относят мультиформную гиобластому, в процессе развития которой принимают участие все 4 признака, включая область некроза.
Глиомы головного мозга подразделяют еще на 2 подвида в зависимости от месторасположения опухолевидного образования:
- субтенториальные, размещающиеся в одном из полушарий, при крупных размерах опухоли возникает внутричерепное давление, как основной симптом заболевания;
- супратенториальные находятся в задней ямке черепа, где совершаются спинномозговой и венозный оттоки, которые сдавливаются новообразованием и вызывают симптом гипертензии.
Глиомы относятся к одиночным видам опухолей, расположенных в области белого и серого вещества головного или спинного мозга, встречаются у 6 пациентов из 10 имеющих новообразования. Довольно часто обнаруживаются патологические наросты возле центрального канала и стенок желудочков. Изредка образовываются глиомы периферического отдела зрительного анализатора. В единичных случаях образуются в нервах, находящихся за пределами головного или спинного мозга.
Глиоматоз ‒ редкий вид диффузного глиального новообразования, широко проникающего в структуру и поражающего обе доли головного мозга. Точной статистики в процентном соотношении образования глиом в организме человека на сегодняшний день не существует, но известно, что количество онкологических патологий значительно возросло.
Описание глиальных опухолей
Глиома головного мозга по размеру варьируется от 2 до 100 мм в диаметре, имеет округлую форму, в редких случаях – веретенообразную. Глиальное новообразование развивается довольно медленно и может разрастаться на протяжении года, двух и более лет без выпускания метастаз. В исключительных ситуациях возможно противоположное и нехарактерное развитие. Глиомы в разрезе имеют подобие узла с нечеткими контурами от серо-белого до розового оттенка, в редких случаях, темно-красного. Часто даже под микроскопическим прибором сложно отделить опухоль от здоровых тканей, особенно при специфически быстром делении глии ‒ клеток, образующих разрастание новообразования. В единичных случаях глиальная опухоль прорастает через оболочки мозга, серое и белое вещество и проходит в костную систему. К таковым исключениям относят глиоматоз.
Во время диагностики можно увидеть основу глиомы, которая состоит из множества невроглиомных клеток с плазматическими отростками с примесью волокнистой глии. Глиальные новообразования по внутреннему строению разделяют на 3 вида:
- плотные состоят из малого количества клеток с мелкими ядрами, меньшим содержанием протоплазмы и большего численности волокнистой глии;
- мягкие имеют множество клеток с ядрами крупного размера, в основном, неправильной формы и незначительным содержанием волокон, очень похожи на саркому, из-за чего получают название глиопластической саркомы;
- гиганто-клеточные состоят из весьма больших глиозных клеток, в некоторых случаях, содержащих крупитчатость и пятнистость.
Глиому, имеющую желатинообразный отек, именуют миксоглиомой. Ее клетки размещаются в виде колообразного забора или цепевидными рядами, объединяющими сосуды и отростки мозговой оболочки. В зависимости от месторасположения, габаритов и клинических симптомов глиальные клетки и нервные отростки могут самостоятельно дегенерировать либо целостно сохраняться внутри самого новообразования.
Глиома у детей
Диффузная злокачественная глиома ствола головного мозга у детей имеет необратимые последствия, которые приводят к летальному исходу. После операции выживаемость составляет 25%. При доброкачественной глиоме хиазмы у маленьких детей проводится радиохирургия с последующей реабилитацией, которая способна улучшить качество жизни.
При своевременном диагностировании и проведении лечения ребенок проживет больше 5 лет. Если заболевание обнаруживается на последней стадии, попытки борьбы с опухолью становятся бесполезными. Тогда продолжительность жизни не будет превышать 2 года.
Доброкачественные опухоли на начальной стадии успешно оперируются. При злокачественном процессе лечение направлено на улучшение качества жизни и снижение выраженности симптомов. Операция в большинстве случаев помогает улучшить состояние больного.
