Not such a simple micro-stroke on the legs: what threatens it in the short and long term
If the blockage or spasm of the artery supplying the brain is partial, and movement along a small branch is blocked, then the signs of cerebral ischemia are short-lived.
Such small forms of acute disturbance of cerebral blood flow (microstroke) can end on their own. In such cases, the patient is not suspected of a vascular accident and does not undergo treatment. Over time, persistent damage to neurons occurs with the development of a typical stroke, loss of vision, memory impairment, psyche and mental activity.
Is it possible to have a mini-stroke on your feet?
If neurological symptoms are not persistent and go away without taking medications or with treatment for hypertension or coronary artery disease, then patients (and even specialists) may not be aware of the micro-stroke that has occurred. This situation is associated either with the small size of the brain lesion, or with good blood supply, which compensates for the lack of oxygen and cell nutrition.
The latter is typical for relatively young people without systemic atherosclerosis.
As a rule, at the time of contacting a doctor, there are no signs of the disease, so in-depth diagnosis is not carried out, and the patient does not receive adequate treatment. If the cause that led to the micro-stroke is not eliminated, then circulatory disorders progress and a severe stroke is formed.
Increased alertness regarding a possible vascular accident should arise if there are risk factors:
- cardiac ischemia;
- obliterating atherosclerosis of the lower extremities;
- arterial hypertension (an increase in diastolic pressure to 100 mm Hg increases the risk of stroke by 2.5 times);
- previous heart attack, stroke or cerebral ischemia attack, cerebral hypertensive crisis;
- excess cholesterol, triglycerides in the blood;
- old age (after 65 years the risk is 6 times higher compared to 50 years old);
- rhythm disturbances, especially atrial fibrillation;
- smoking and diabetes mellitus increase the possibility of vascular complications by 3 times;
- obesity, physical inactivity, metabolic syndrome;
- alcoholism and drug addiction;
- use of hormonal drugs, including contraceptives;
- abnormal structure of the vessels of the brain, carotid and vertebral arteries, compression from the outside;
- autoimmune diseases with damage to the arteries;
- migraine;
- cardiomyopathy, rheumatism, bacterial endocarditis, congenital and acquired heart defects;
- venous thrombosis;
- Takayasu, Horton's, Moyamoya disease, periarteritis nodosa;
- antiphospholipid syndrome.
Signs
As with ischemic stroke, clinical manifestations consist of focal symptoms and general cerebral disorders. Therefore, they can be divided into several groups:
- general cerebral – sudden acute headache or gradually increasing, general weakness, nausea, vomiting, brief episodes (sometimes imperceptible) loss of consciousness;
- vegetative – hot flashes, redness of the upper half of the body, sweating, cold hands and feet, muscle tremors;
- carotid (spasm or blockage in the area of the carotid artery) - decreased sensitivity (numbness) or tingling of the skin of the arms and legs, half of the face, weakness in the arm or leg, speech impairment, short-term blindness in one eye, convulsions;
- vertebral arteries - dizziness, noise in the head, unsteadiness when walking, flashes of light in the eyes, disturbance of the outlines of objects, loss of part of the visual field, double vision, loss of clarity of speech, difficulty swallowing, headache and dizziness may increase when turning (tilting) the head ;
- stem part - severe dizziness, impaired eye movements, loss of vision and hearing, loss of balance, swallowing and sensitivity in a limited area of the face, difficulty pronouncing words;
- medulla oblongata – brief loss of the ability to move (“freezing in one position”);
- temporal lobes – loss of orientation in space and time, inability to reproduce current events.
Sometimes there is a combination of two or more groups of characteristics. Such an attack can last from a few minutes to 8 - 10 hours. The next day the patient feels satisfactory, or severe weakness remains.
Consequences for women and men
Recent studies have found that long-term consequences for patients who have suffered a mini-stroke are not as safe as previously thought, even with complete restoration of the neurological status.
It is interesting that with conventional diagnostics using CT and MRI, no abnormalities were detected after a month, but when stimulating the cerebral cortex with short magnetic pulses, a disturbance in the processes of neuronal excitation and a longer period of inhibition than normal were detected.
It is assumed that such changes persist for life and are the cause of the appearance in patients who have suffered a transient ischemic attack:
- asthenia – weakness, loss of interest in the environment, weakening of memory;
- neurasthenia – increased irritability, anxiety, insomnia, headache;
- depressive states;
- neurocirculatory dystonia;
- dyscirculatory encephalopathy.
Over the course of 5 years after a microstroke, a third of patients develop acute cerebrovascular accident, leading to a permanent neurological defect (loss of speech, paralysis of the limbs, loss of sensitivity, visual impairment).
One consequence, less dangerous for the patient, but quite noticeable for others, is a change in personality traits against the background of a malnutrition of the brain.
The patient becomes extremely uncooperative, loses most social and family contacts, like hypochondriacs, looks for signs of non-existent diseases, and complains of constant pain that cannot be objectively confirmed.
Significant relief of symptoms is observed with neuroprotectors and antidepressants.
What to do if you suspect a microstroke
The first thing that is recommended if you suspect a cerebrovascular accident is to seek emergency medical help.
If the attack occurs against the background of high blood pressure, then it should be gradually reduced, but not allowed to fall below 140/90 mm Hg. Art., as this will lead to an even greater deterioration in the nutrition of brain neurons.
For this purpose, Dibazol, No-spa, Magnesium sulfate is usually used intravenously or intramuscularly.
Before the ambulance arrives, you must:
- take a horizontal position with your head raised;
- apply cold to the head and a warm heating pad to the feet;
- ensure free flow of fresh air;
- You can take an Aspirin tablet or dissolve 10 tablets of 0.1 g of Glycine.
Then, after eliminating the manifestations of a transient cerebrovascular accident, it is imperative to undergo an examination. It includes:
- consultation with an ophthalmologist, neurologist, cardiologist;
- blood tests - general, coagulogram, lipid spectrum, blood sugar;
- Ultrasound with duplex scanning of the vessels of the head and neck;
- rheoencephalography;
- Brain MRI with angiography;
- X-ray or CT scan of the spine (cervical spine);
- ECG;
- Ultrasound of the heart (as recommended by a cardiologist).
Watch the video about the signs of a microstroke, the reasons for its development and consequences:
Treatment and recovery
Patients often undergo treatment on an outpatient basis, since their health remains satisfactory, but given the fact that within a month after the attack it is likely to recur or transform into a stroke, an inpatient course of therapy is considered the most justified.
Medicines can be selected only taking into account diagnostic data, since it is important to eliminate the cause of the micro-stroke. The most common groups of drugs are:
- hypotensive - Prestarium, Arifon;
- antiplatelet agents – Thrombo Ass, Clopidogrel, Curantil;
- anticoagulants (for cardioembolism) – Warfarin, Sinkumar;
- lipid-lowering drugs – Liprimar, Vasilip;
- solutions to improve blood flow - Reopoliglyukin, Glucose, Trisol;
- vasodilators - Cavinton, Sermion, Nimotop, Eufillin;
- neuroprotectors – Semax, Cerebrolysin, Gliatilin, Encephabol.
During the recovery period, patients are prescribed hyperbaric oxygenation, electrophoresis, magnetic therapy on the collar area, radon or pine baths, massage, reflexology, EHF therapy.
If a cholesterol plaque is detected in the carotid artery, which occupies more than 70% of its lumen, surgical treatment is indicated.
Prevention of micro-strokes
To prevent severe cerebrovascular accidents, it is necessary to eliminate or maximally correct the main risk factors for its development. With a persistent increase in blood pressure, lifelong antihypertensive therapy is required. The use of antiplatelet agents and hypocholesterolemic agents is also continued throughout the year.
It is extremely important to give up smoking and alcohol abuse, monitor cholesterol, blood sugar, and blood pressure.
Refusal of contraceptives in tablets, careful use of painkillers, and treatment of concomitant diseases are required.
It is necessary to normalize body weight, and devote at least 30 minutes a day to physical activity. You need to reconsider your diet:
- include at least 400 g of vegetables and fruits per day;
- eat boiled fish more often than meat (only low-fat varieties are allowed);
- give up processed foods, margarine, store-bought sauces, canned food, and offal.
Preventive measures also include timely surgical treatment for impaired patency of the cerebral arteries.
We recommend reading the article about spinal cord stroke. From it you will learn about the causes of the disease and its symptoms, classification of spinal cord stroke, methods of diagnosis and treatment, consequences for the patient.
And here is more information about first aid for a stroke.
A microstroke occurs if cerebral blood flow is disrupted briefly and in a small artery . An attack of transient ischemic attack can be brief, eliminated on its own or by taking medications throughout the day. Therefore, signs of cerebral ischemia remain unattended, and the patient continues to lead his normal lifestyle, suffering a micro-stroke on his feet.
If vascular disorders are suspected, it is necessary to undergo a full examination and a preventive medication course; sometimes surgery is required to prevent a stroke.
Source: https://CardioBook.ru/mikroinsult-na-nogax/
Mechanisms of fluid metabolism disorders after stroke
After a stroke, the lower part of the body often swells. This is due to the process of damage to blood vessels during the actual impact. An acute transient disturbance in the blood circulation of the brain provokes a number of sudden changes affecting the legs.
The understanding of metamorphosis lies in the symptoms preceding the impact:
- sudden attacks of weakness - the ongoing increase in the spasmodic state of blood vessels reduces the tone of the walls of the veins and capillaries, a feeling of buzzing in the legs;
- impaired understanding of speech, pronunciation of words - failures in communication pathways occur between parts of the brain, affecting other parts of the brain responsible for the unconscious processes of the body;
- impaired coordination, loss of balance, dizziness - increasing spasm provokes a sharp increase in the speed of movement of water media, synchronization dysfunction in one leg;
- fainting, loss of consciousness - a huge amount of hormones released into the blood provoke synoptic disturbances;
- sharp pain in the head - at the site of spasm, the pressure of fluids on the vessels increases;
- upcoming paralysis of half the face - damage to nervous activity in the area of cerebral hemorrhage, paralysis of the legs is possible.
Consequences of a micro-stroke and a stroke suffered on the legs
In the whirlwind of everyday worries, women forget about the most important thing - taking care of their health. Dizziness, weakness and headaches are often attributed to fatigue.
- Quick navigation through the article:
- Signs of a microstroke in women
- Types of microstrokes
- Causes of spasm
- What can trigger a mini-stroke?
- Who is susceptible to microstroke: risk group
- First aid
- Consequences of brain damage
- Main methods of treatment
- Prevention of micro-stroke
- Reviews
Although these may be signs of a micro-stroke in women suffered on the legs. The disease, despite its prefix “micro,” has serious consequences for the body.
In medicine there is no concept of “ministroke”. With and without the prefix “micro,” the disease refers to damage to the blood vessels of the brain . In the first case, we are talking about damage to small areas or small vessels. However, the patient requires urgent medical attention.
Types of brain strokes
The following types of strokes are distinguished:
- Hemorrhagic. It causes hemorrhage in the brain tissue. The reason is a rupture of a vessel-artery against the background of increased pressure or weakness of the vascular wall. Symptoms develop rapidly: the face turns red, the head hurts unbearably, vomiting may begin, consciousness may become confused, and even limbs on one side of the body may be lost. Paralysis of the legs excludes the ability to move independently.
Ischemic stroke
- Ischemic - cerebral infarction. The risk group is elderly people with atherosclerotic processes in blood vessels. It develops as a result of blockage of the duct by a thrombus or a sharp narrowing of the wall of the vessel feeding the brain tissue. Symptoms of the condition: pain in the head, numbness of the limbs, severe dizziness, weakness to the point of fainting. A cerebral infarction may be accompanied by disturbances in speech, swallowing and a disorder of the visual analyzer.
- Subarachnoid hemorrhage is a rupture of an aneurysm of the vessels of the head. Manifestations: a feeling of a sharp blow to the occipital region, nausea to vomiting, motor agitation and a seizure state with confused consciousness.
Does a stroke happen that goes unnoticed and is suffered without hospitalization or medical intervention? Why does a patient sometimes ignore such severe symptoms and try to continue normal activities?
Methods for treating swelling of the legs
Treatment that effectively relieves edema is aimed at stimulating the functioning of blood vessels. Since communication between different parts of the bloodstream becomes difficult, individual vessels are in a state of constant lack of tone. This phenomenon provokes the accumulation of fluid in the tissues.
To prevent additional swelling of the limb, two types of manipulations are required:
- massage using ice cubes - the ice cube contains a decoction of a plant substrate (eucalyptus, yarrow, peppermint, oak bark);
- nightly cool compresses - moistened gauze is wrapped around a swollen limb, wrapped in plastic. In the morning after removing the compress, the limb is massaged.
Both methods lead to forced vasoconstriction, additional displacement of moisture from the muscular system. Using this method, the elasticity of the blood vessels is restored and they return to their normal volume. If there is a significant decrease in leg volume and visible improvement, the compresses are stopped and replaced with frequent massages.
Microstroke of the brain
When people talk about a stroke that was not diagnosed in time and was suffered on the legs, they mean a microstroke. This term is not medical, but it reveals the essence of the problem well.
A microstroke is characterized by a disruption of the blood supply to brain tissue due to a violation of the integrity of a small vessel.
The condition is characterized by a rapid course, the symptoms disappear on their own within a day. A person can ignore the situation by drinking analgesics. If you see a doctor, there is a chance for complete rehabilitation. The result of inaction is sad consequences.
Classic symptoms of a microstroke
Pathology is the scourge of the working population of large cities. Chronic stress, poor nutrition, emotional and physical stress make the disease a common cause of weakening of the body, even in young people.
- loss of sensation in the muscles of the face;
- lack of control over facial expressions;
- weakness and numbness of the limbs, more pronounced on one side of the body;
- loss of coordination of movements;
- difficulty walking;
- blurred vision - it is difficult to see an object with both eyes;
- a speech disorder in which conversation becomes slurred and monosyllabic;
- intolerance to bright colors and loud noises;
- attacks of nausea to vomiting;
- thermal manifestations: fever or chills.
- localization of the vessel in which the rupture occurred;
- its caliber;
- the measures that have been taken;
- much depends on the general health and age of the patient.
Violation of facial expressions
If these symptoms go away after using medications or on their own within 24 hours, this is a mini-stroke. If the severity of the condition increases and the symptoms are persistent, then this is a full-fledged stroke.
Consequences of a mini-stroke for health
The severity of the consequences for the body depends on a number of reasons:
Blockage of a blood vessel in the brain
Rupture and blockage of even a small vessel in the head leads to disruption of the nutrition of nerve tissue cells. As a result, they die or are damaged, which leads to neurological problems. The severity of the subsequent condition depends on the location of the damage.
If the blockage occurs in the department responsible for the movement of the leg, then the limb may become numb and paralyzed.
If a rupture or blockage occurs in a vessel that is a continuation of the vessels of the spinal column, then double vision, general weakness and severe dizziness are observed.
Under favorable circumstances, a person may not feel the consequences of a mini-stroke. Sometimes changes take place.
The person becomes whiny, irritable, aggressive, and may fall into hysterics or prolonged depression. Memory and control over emotions suffer.
Such manifestations are not a consequence of a deteriorated character and capriciousness, but the result of the death of nervous tissue cells due to a lack of oxygen and nutritional components of the blood.
The danger of a stroke suffered on the legs lies in its complication - a major ischemic or hemorrhagic acute disorder of cerebral circulation.
Statistics say: in 60% of all cases, within 3 days after a pinpoint hemorrhage, a serious stroke develops, which causes a significant blow to health, including death.
The consequences can be dire: the victim has to relearn how to speak and walk, and in some cases these functions are never restored.
The sick person will not be able to care for himself and will be completely dependent on family and friends.
Micro-stroke: the “little” brother of stroke with dangerous consequences
Despite the harmless prefix “micro,” a disease such as a microstroke still remains a fairly serious reason to reconsider your lifestyle and take a closer look at your own health.
Many believe that this disease mainly affects elderly people whose blood vessels are already worn out, but, as doctors say, a microstroke is rapidly making people younger, and in the modern world it often takes by surprise even those who have not yet reached thirty years of age.
It’s just that not everyone is able to recognize the main symptoms of a micro-stroke - headaches, white spots flashing before the eyes, nausea, because they are characteristic not only of this disease.
And many simply do not attach any importance to them and suffer the disease on their legs, which in general is very, very bad, because such behavior creates a high probability of recurrence of micro-strokes in the future.
Source: https://medspina.ru/nevralgiya/insult-perenesennyj-na-nogah-simptomy-posledstviya.html
How is this condition treated?
Some doctors may dismiss the problem with some skepticism, saying that this is rare and that, in most cases, after problems with the blood vessels of the legs (swelling and soreness), a brain stroke rarely occurs.
This is only half true, since such a development of the disease is really rare, but a brain stroke can still occur against the background of atherosclerosis of the vessels of the lower extremities.
The optimal treatment option for blockage of blood vessels in the lower extremities is considered to be a high-precision endoscopic operation, which will quickly relieve swelling, pain and other manifestations of the disease. This technique may also be called minimally invasive or catheter-assisted surgery. Unfortunately, there is no other way to eliminate the blockage of blood vessels in the legs.
Stroke on the legs: symptoms of a microstroke and its consequences – Izvilina
A microstroke is a serious pathology in which the death of brain cells occurs due to a blood clot or a sharp spasm of a small vessel.
In this situation, the lesion is small, so people do not always notice that they have been hit. Symptoms appear immediately, and recovery occurs in a short time.
Moreover, the disease is no less dangerous than a regular stroke, because it also leads to necrosis of brain cells.
Sometimes a stroke may be suffered on the legs, and the citizen may not understand what happened to him. A person needs to know if they have had an attack in order to be more careful about their health. Also, if negative symptoms occur, you should know in what cases you need to consult a doctor.
Main features
It is worth understanding that it is quite difficult to recognize a stroke on your own, because it has rather mild symptoms. Often people suffer from the disease on their feet, and negative manifestations are explained by fatigue and general weakness of the body. It is important to remember that the sooner the pathology is recognized, the faster you can get rid of the negative consequences.
The first symptoms appear after about five minutes have passed since the brain injury . In this case, negative manifestations can last about a day. In this case, the specific manifestations depend on which lobe of the head the blood flow is disrupted.
The main symptoms that are noted in the frontal region of the brain. Firstly, general weakness, uncertainty of movements, a significant decrease in muscle strength. It may seem to a person that he is swaying while walking, and it is difficult to somehow correct the situation.
Speech difficulties that are minor. It can be difficult to find specific words to describe a situation or express any other idea. Sometimes a woman may use incorrect cases and inflections of words.
Change in behavior pattern: the patient may be too cheerful, playful, or, on the contrary, experience fits of rage. She may also suffer from apathy and be indifferent to surrounding events. Problems with smell. Sensitivity to odors may be significantly impaired. In this case, as a rule, only one nostril is affected.
If the parietal lobe is affected, then the following negative changes can be seen:
- Difficulty with reading and writing, which makes it difficult for a woman to carry out usual activities. It also becomes difficult to count numbers, because this ability is lost.
- Sensitivity may be significantly lost, that is, the patient will not be able to determine by touch what an object is, cold or hot, smooth or rough, etc. with her eyes closed.
It also happens that the blow falls on the temporal lobe. Then memory lapses occur. A person may not remember what happened quite recently. A feeling of déjà vu may also often occur.
There is often noise or ringing in the ears. Deafness may appear even though there were no hearing problems before.
Also, often the violation affects only one side, which will be opposite to the area of the violation.
When the occipital lobe is damaged, the following manifestations may occur:
- Vision problems. The field of vision may narrow, and in severe cases this function may be completely lost.
- Visual impairment. A person may lose the ability to visually recognize objects and even living people. That is, he can look at an object, but at the same time not understand what it is. In more difficult situations, a person does not recognize his acquaintances by sight, but can still remember them by voice or name.
At the same time, other signs are observed that indicate the appearance of a microstroke. These include severe headaches that occur for no apparent reason. However, it cannot be eliminated using conventional medications.
The woman begins to feel chills all over her body, and a sensation of goose bumps appears. In addition, there is increased sensitivity to loud sounds and light. The symmetry of the face is disrupted, it becomes difficult for a person to smile and partially move his lips.
If such symptoms occur, then you should definitely consult a doctor. It is extremely important to make sure that the person is in good health. If you had a mini-stroke, then you will need to be especially careful about your health and undergo the necessary treatment.
How to recognize a microstroke?
A stroke suffered on the legs can also lead to serious complications. It is easier for a person to rehabilitate after it, but professional treatment is still required. In order to see a doctor in time, you will need to know the main signs of an attack.
You can conduct a simple test that will allow you to clearly understand what exactly is happening to a person . What to do:
- You need to smile. The lips will be curved because one half will not rise.
- You should stick out your tongue. The tip, as a rule, deviates to one side.
- Closing your eyes. In this case, one eye will not close tightly.
- Checking coordination of movements. A person should close his eyes and try to keep both arms extended in front of him. During a microstroke, one of them will begin to go down, and when you try to slowly raise both limbs, one will definitely lag.
- Clear speech test. It will be extremely difficult for the patient to pronounce complex words, as well as repeat a long sentence without errors. As a rule, it becomes difficult to pronounce specific letters and pronounce sentences correctly.
If after the test it turns out that a person has had a mini-stroke, you must definitely call the doctors. If this is not done, then your health may worsen significantly. It is extremely important to prevent negative consequences with the help of proper therapy. If measures are not taken, various complications will arise due to the attack.
How does the disease progress?
A characteristic feature of a microstroke is that symptoms can disappear after a certain time. That is why a person gradually becomes better, and the condition returns to normal within a few minutes or hours. The maximum attack can last one day.
Despite the fact that the symptoms disappear, negative changes in the brain still remain. This is due to the fact that there remains damage to the area caused by poor circulation.
A person may complain of the following problems:
- Chronic headaches. They occur constantly, and may even appear every day. However, it is extremely difficult to get rid of them using conventional medications.
- Memory problems. A person may forget some events, especially those that happened the day before. It will also be more difficult to remember new information, and the ability to learn will be lost.
- Dizziness. They appear quite often and are paroxysmal in nature.
- Difficulty in expressing your thoughts. It may be difficult for a person to select synonyms, as well as to characterize actions and objects. It also becomes difficult to pronounce specific words, and stuttering may occur.
- Increased absent-mindedness and problems with concentration. Because of this, performance deteriorates significantly.
If a person experiences the problems described above, then this may indicate a stroke suffered on the legs. Not all people can definitely say whether they had to deal with an attack. After all, it is often confused with ordinary malaise, hypertensive crisis, migraine and alcohol intoxication. At the same time, one cannot ignore negative signs that appeared quite unexpectedly.
Statistics show that people who have had a small vessel stroke in their legs may have a regular stroke within the next three years. It significantly worsens health and in almost all cases leads to disability.
First aid and basic therapy
If a person managed to move on his feet, this does not mean that he does not need outside help. Although the symptoms of the disease pass fairly quickly, they significantly worsen overall health. Not everyone's symptoms go away within a few minutes; in some people they may persist for 24 hours.
If a cerebrovascular accident occurs, it is important to immediately provide first aid to the person in order to improve his condition.
You should adhere to the following advice from doctors:
- It is important to provide a person with peace. It should be placed on a flat surface, with the head higher than the limbs.
- Open the window. The patient must breathe freely, so you should ask all the people around you to leave. This will increase the flow of fresh air to the patient.
- If necessary, you should unbutton the top buttons on your shirt, or cut clothes that are too tight. This is necessary to make it easier to breathe deeply.
- A sick person should not be allowed to move, even if he feels better. After all, such changes can be temporary and deceptive.
There is no need to give the person any medications, especially antispasmodics . They can worsen the patient’s condition, so you should not use medications until the ambulance arrives. Self-medication always leads to negative consequences, so it is important to immediately consult a doctor.
After examining the patient, the doctor may prescribe a number of medications. Among them are vasodilators, drugs to improve blood microcirculation, and nootropics. Medications that prevent the formation of blood clots are also prescribed.
Additionally, the doctor can refer you for a massage, classes with a speech therapist, and also prescribe therapeutic exercises. In the future, it is worth eliminating those factors that provoked a mini-stroke.
Such measures will help avoid negative consequences.
Source:
What is the danger of a stroke in the legs?
A stroke on the legs is a negligent attitude towards one’s own health. Even with a common cold, you need to postpone everything, stay in bed, drink a lot of warm liquids and take medications. Otherwise, there is a risk of serious complications and sad consequences. With a stroke, everything is much more serious.
Stroke is a severe disruption of the nutrition of brain tissue that develops due to pathological changes in the vessels of the head. Symptoms develop sharply within 24 hours. The main causes of stroke are a complication of hypertension or atherosclerotic changes in the vessels of the head.
A stroke can be a consequence of stress, physical strain, or overwork. It can develop after a protracted infectious process. With massive hemorrhages, which are accompanied by pathological changes in the functioning of the cardiovascular and respiratory systems, a fatal outcome is real.
Source: https://fiz-disp.ru/razvitie/insult-na-nogah-simptomy-mikroinsulta-i-ego-posledstviya.html
Main methods of treatment
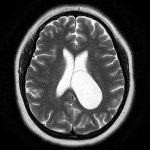
After the patient is admitted to the hospital, a comprehensive examination is prescribed to establish a diagnosis. It is based on brain tomography.
Tomography allows you to accurately determine all changes in the brain
Blood pressure is measured, blood and urine tests are taken. They provide insight into the patient's overall health. Based on these, the doctor prescribes drug therapy.
For a microstroke, only a doctor can prescribe treatment.
Self-medication is unacceptable and dangerous to health
The following medications are usually prescribed:
- vasodilators to improve blood flow;
- means for normalizing microcirculation in blood vessels;
- nootropics to improve brain activity;
- medications that prevent platelets from sticking together and sticking to the walls of blood vessels.
During the recovery period, the patient is advised to undergo massage, physical therapy, classes with a speech therapist, and blood pressure monitoring.
Special exercises will help the body recover faster
To prevent the situation from recurring, the patient should change their lifestyle: get rid of bad habits, follow a diet, spend more time in the fresh air, and avoid stressful situations.
You might be interested to know about this: Fast-acting laxative in tablets
Signs of a microstroke in women suffered on the legs
A microstroke is a serious pathology in which the death of brain cells occurs due to a blood clot or a sharp spasm of a small vessel.
In this situation, the lesion is small, so people do not always notice that they have been hit. Symptoms appear immediately, and recovery occurs in a short time.
Moreover, the disease is no less dangerous than a regular stroke, because it also leads to necrosis of brain cells.
Sometimes a stroke may be suffered on the legs, and the citizen may not understand what happened to him. A person needs to know if they have had an attack in order to be more careful about their health. Also, if negative symptoms occur, you should know in what cases you need to consult a doctor.
Causes of spasm
What can provoke vasospasm, the most common cause of a mini-stroke?
Such factors traditionally include:
- obesity (overweight, overeating, eating foods high in cholesterol);
- bad habits (alcohol abuse, smoking, drug addiction);
- sedentary lifestyle (physical inactivity, sedentary monotonous work);
- heavy physical activity (lifting weights, playing professional sports);
The daily burden of heavy bags is familiar to many women.
- stress (constant tension, overwork);
- climate change (especially when moving from southern to northern latitudes);
- heart surgery;
- poor environmental situation.
Of course, none of these factors is decisive. With proper self-care, you can never encounter signs of a micro-stroke in women suffered on the legs.
Don't miss one of the most useful articles about: Nagging pain in the lower abdomen in women - causes
